• Tel: 858.663.9055
  • SeparatorEmail: info@nsjbio.com
  • Tel: 858.663.9055
  • Email: info@nsjbio.com
Home >> Antibodies >> RNA Helicase A Antibody / DHX9

RNA Helicase A Antibody / DHX9 (RQ5970)

  Catalog No Formulation Size Price (USD)  
Image RQ5970 0.5mg/ml if reconstituted with 0.2ml sterile DI water 100 ug 449
Bulk quote request
Immunofluorescent staining of FFPE human gastric cancer with RNA Helicase A antibody (green) and DAPI nuclear stain (blue). HIER: steam section in pH8 EDTA for 20 min.
Immunofluorescent staining of FFPE human U-2 OS cells with RNA Helicase A antibody (green) and DAPI nuclear stain (blue). HIER: steam section in pH6 citrate buffer for 20 min.
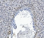
IHC staining of FFPE human lung cancer with RNA Helicase A antibody. HIER: boil tissue sections in pH8 EDTA for 20 min and allow to cool before testing.
IHC staining of FFPE human lung cancer with RNA Helicase A antibody. HIER: boil tissue sections in pH8 EDTA for 20 min and allow to cool before testing.
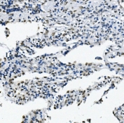
IHC staining of FFPE human renal cancer with RNA Helicase A antibody. HIER: boil tissue sections in pH8 EDTA for 20 min and allow to cool before testing.
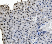
IHC staining of FFPE mouse liver with RNA Helicase A antibody. HIER: boil tissue sections in pH8 EDTA for 20 min and allow to cool before testing.
IHC staining of FFPE mouse liver with RNA Helicase A antibody. HIER: boil tissue sections in pH8 EDTA for 20 min and allow to cool before testing.
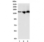
Western blot testing of human 1) HeLa, 2) HEK293, 3) Jurkat, 4) K562, 5) Caco-2, 6) SW620, 7) Raji and 8) A549 lysate with RNA Helicase A antibody. Predicted molecular weight ~140 kDa.
Western blot testing of 1) rat PC-12, 2) mouse brain and 3) mouse RAW264.7 lysate with RNA Helicase A antibody. Predicted molecular weight ~140 kDa.
Flow cytometry testing of fixed and permeabilized human HL60 cells with RNA Helicase A antibody at 1ug/million cells (blocked with goat sera); Red=cells alone, Green=isotype control, Blue= RNA Helicase A antibody.
Immunoprecipitation of RNA Helicase A protein from 500ug of human 293T whole cell lysate with 2ug of RNA Helicase A antibody.
Availability 1-3 business days
Species Reactivity Human, Mouse, Rat
Format Antigen affinity purified
Host Rabbit
Clonality Polyclonal (rabbit origin)
Isotype Rabbit IgG
Purity Affinity purified
Buffer Lyophilized from 1X PBS with 2% Trehalose and 0.025% sodium azide
UniProt Q08211
Localization Nuclear, cytoplasmic
Applications Western Blot : 0.5-1ug/ml
Immunohistochemistry : 1-2ug/ml
Immunofluorescence : 2-4ug/ml
Flow Cytometry : 1-3ug/million cells
Immunoprecipitation : 2ug per 500ug of lysate
Direct ELISA : 0.1-0.5ug/ml
Limitations This RNA Helicase A antibody is available for research use only.
Review this product on BioCompare and get a $20 Amazon gift card

Related Products

Description

RNA Helicase A (DHX9) is an ATP-dependent DExH-box helicase that remodels structured RNA and RNA–DNA hybrids to coordinate transcription, co-transcriptional RNA processing, and nuclear export. Active in both nucleus and cytoplasm, DHX9 resolves R-loops, engages G-quadruplex structures, and modulates ribonucleoprotein assembly, thereby safeguarding genome integrity and ensuring accurate gene expression programs.

Functionally, DHX9 intersects with DNA damage response pathways and innate immune signaling, influencing antiviral defenses and replication stress tolerance. Dysregulated DHX9 expression has been linked to tumor progression and therapeutic response across multiple cancers, where altered RNA metabolism and genome stability contribute to disease phenotypes. Its broad involvement makes DHX9 a key biomarker for studies spanning oncology, virology, and RNA biology.

The RNA Helicase A antibody enables specific detection of endogenous DHX9 in cell and tissue samples, supporting applications such as western blot, immunofluorescence, immunohistochemistry, and immunoprecipitation. Researchers rely on the RNA Helicase A antibody to quantify expression dynamics, map subcellular localization, and probe protein–RNA interactions under physiological or stress conditions. With high specificity and reproducible performance, the RNA Helicase A antibody is a cornerstone reagent for dissecting RNA metabolism, genome maintenance, and host–pathogen interactions.

Application Notes

Optimal dilution of the RNA Helicase A antibody should be determined by the researcher.

Immunogen

Recombinant human protein (amino acids E396-E759) was used as the immunogen for the RNA Helicase A antibody.

Storage

After reconstitution, the RNA Helicase A antibody can be stored for up to one month at 4oC. For long-term, aliquot and store at -20oC. Avoid repeated freezing and thawing.

Cross
Bulk Quote Request Form
Name*:
Organization*:
Email*:
Phone Number*:
Catalog No.*:
Comments and Specifics(amount, formulation, etc.)*:
Validation code: Captchapackage Image


Can't read the image? click here to refresh.
    *required field

Your bulk quote request has been submitted successfully!

Please contact us if you have any questions.