• Tel: 858.663.9055
  • SeparatorEmail: info@nsjbio.com
  • Tel: 858.663.9055
  • Email: info@nsjbio.com
Home >> Antibodies >> RLIM Antibody / RING finger protein LIM domain-interacting

RLIM Antibody / RING finger protein LIM domain-interacting (FY12214)

  Catalog No Formulation Size Price (USD)  
Image FY12214 Adding 0.2 ml of distilled water will yield a concentration of 500 ug/ml 100 ug 449
Bulk quote request
Immunohistochemical staining of RLIM using anti-RLIM antibody. RLIM was detected in a paraffin-embedded section of diffuse large B-cell lymphoma of human intestine tissue. Heat mediated antigen retrieval was performed in EDTA buffer (pH 8.0, epitope retrieval solution). The tissue section was blocked with 10% goat serum. The tissue section was then incubated with 2 ug/ml rabbit anti-RLIM antibody overnight at 4oC. Peroxidase Conjugated Goat Anti-rabbit IgG was used as secondary antibody and incubated for 30 minutes at 37oC. The tissue section was developed using an HRP secondary and DAB substrate.
Western blot analysis of RLIM using anti-RLIM antibody. Lane 1: human Hela whole cell lysates, Lane 2: human SiHa whole cell lysates, Lane 3: rat brain tissue lysates, Lane 4: rat C6 whole cell lysates, Lane 5: mouse brain tissue lysates, Lane 6: mouse NIH/3T3 whole cell lysates. After electrophoresis, proteins were transferred to a nitrocellulose membrane at 150 mA for 50-90 minutes. Blocked the membrane with 5% non-fat milk/TBS for 1.5 hour at RT. The membrane was incubated with rabbit anti-RLIM antibody at 0.5 ug/ml overnight at 4oC, then washed with TBS-0.1%Tween 3 times with 5 minutes each and probed with a goat anti-rabbit IgG-HRP secondary antibody at a dilution of 1:5000 for 1.5 hour at RT. The signal was developed using enhanced chemiluminescent. A specific band was detected for RLIM at approximately 69 kDa. The expected band size for RLIM is at 69 kDa.
Immunohistochemical staining of RLIM using anti-RLIM antibody. RLIM was detected in a paraffin-embedded section of diffuse large B-cell lymphoma of human intestine tissue. Heat mediated antigen retrieval was performed in EDTA buffer (pH 8.0, epitope retrieval solution). The tissue section was blocked with 10% goat serum. The tissue section was then incubated with 2 ug/ml rabbit anti-RLIM antibody overnight at 4oC. Peroxidase Conjugated Goat Anti-rabbit IgG was used as secondary antibody and incubated for 30 minutes at 37oC. The tissue section was developed using an HRP secondary and DAB substrate.
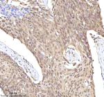
Immunohistochemical staining of RLIM using anti-RLIM antibody. RLIM was detected in a paraffin-embedded section of human esophageal squamous carcinoma tissue. Heat mediated antigen retrieval was performed in EDTA buffer (pH 8.0, epitope retrieval solution). The tissue section was blocked with 10% goat serum. The tissue section was then incubated with 2 ug/ml rabbit anti-RLIM antibody overnight at 4oC. Peroxidase Conjugated Goat Anti-rabbit IgG was used as secondary antibody and incubated for 30 minutes at 37oC. The tissue section was developed using an HRP secondary and DAB substrate.
Immunohistochemical staining of RLIM using anti-RLIM antibody. RLIM was detected in a paraffin-embedded section of human esophageal squamous carcinoma tissue. Heat mediated antigen retrieval was performed in EDTA buffer (pH 8.0, epitope retrieval solution). The tissue section was blocked with 10% goat serum. The tissue section was then incubated with 2 ug/ml rabbit anti-RLIM antibody overnight at 4oC. Peroxidase Conjugated Goat Anti-rabbit IgG was used as secondary antibody and incubated for 30 minutes at 37oC. The tissue section was developed using an HRP secondary and DAB substrate.
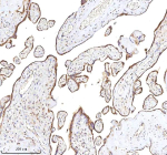
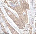
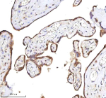
Immunohistochemical staining of RLIM using anti-RLIM antibody. RLIM was detected in a paraffin-embedded section of human placenta tissue. Heat mediated antigen retrieval was performed in EDTA buffer (pH 8.0, epitope retrieval solution). The tissue section was blocked with 10% goat serum. The tissue section was then incubated with 2 ug/ml rabbit anti-RLIM antibody overnight at 4oC. Peroxidase Conjugated Goat Anti-rabbit IgG was used as secondary antibody and incubated for 30 minutes at 37oC. The tissue section was developed using an HRP secondary and DAB substrate.
Immunohistochemical staining of RLIM using anti-RLIM antibody. RLIM was detected in a paraffin-embedded section of human placenta tissue. Heat mediated antigen retrieval was performed in EDTA buffer (pH 8.0, epitope retrieval solution). The tissue section was blocked with 10% goat serum. The tissue section was then incubated with 2 ug/ml rabbit anti-RLIM antibody overnight at 4oC. Peroxidase Conjugated Goat Anti-rabbit IgG was used as secondary antibody and incubated for 30 minutes at 37oC. The tissue section was developed using an HRP secondary and DAB substrate.
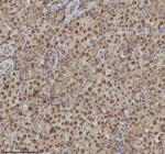
Immunohistochemical staining of RLIM using anti-RLIM antibody. RLIM was detected in a paraffin-embedded section of human testicular seminoma tissue. Heat mediated antigen retrieval was performed in EDTA buffer (pH 8.0, epitope retrieval solution). The tissue section was blocked with 10% goat serum. The tissue section was then incubated with 2 ug/ml rabbit anti-RLIM antibody overnight at 4oC. Peroxidase Conjugated Goat Anti-rabbit IgG was used as secondary antibody and incubated for 30 minutes at 37oC. The tissue section was developed using an HRP secondary and DAB substrate.
Immunohistochemical staining of RLIM using anti-RLIM antibody. RLIM was detected in a paraffin-embedded section of human testicular seminoma tissue. Heat mediated antigen retrieval was performed in EDTA buffer (pH 8.0, epitope retrieval solution). The tissue section was blocked with 10% goat serum. The tissue section was then incubated with 2 ug/ml rabbit anti-RLIM antibody overnight at 4oC. Peroxidase Conjugated Goat Anti-rabbit IgG was used as secondary antibody and incubated for 30 minutes at 37oC. The tissue section was developed using an HRP secondary and DAB substrate.
Immunofluorescent staining of RLIM using anti-RLIM antibody (red). RLIM was detected in a paraffin-embedded section of human esophageal squamous carcinoma tissue. Heat mediated antigen retrieval was performed in EDTA buffer (pH 8.0, epitope retrieval solution). The tissue section was blocked with 10% goat serum. The tissue section was then incubated with 5 ug/ml rabbit anti-RLIM antibody overnight at 4oC. DyLight 550 Conjugated Goat Anti-Rabbit IgG was used as secondary antibody at 1:500 dilution and incubated for 30 minutes at 37oC. The section was counterstained with DAPI nuclear stain (blue). Visualize using a fluorescence microscope and filter sets appropriate for the label used.
Flow cytometry analysis of fixed and permeabilized human HeLa cells with RLIM antibody at 1ug/million cells (blocked with goat sera); Red=cells alone, Green=isotype control, Blue= RLIM antibody.
Availability 1-2 days
Species Reactivity Human, Mouse, Rat
Format Lyophilized
Host Rabbit
Clonality Polyclonal (rabbit origin)
Isotype Rabbit IgG
Purity Immunogen affinity purified
Buffer Each vial contains 4 mg Trehalose, 0.9 mg NaCl, 0.2 mg Na2HPO4.
UniProt Q9NVW2
Localization Nuclear
Applications Western Blot : 0.25-0.5ug/ml
Immunohistochemistry : 2-5ug/ml
Immunofluorescence : 5ug/ml
Flow Cytometry : 1-3ug/million cells
ELISA : 0.1-0.5ug/ml
Limitations This RLIM antibody is available for research use only.
Review this product on BioCompare and get a $20 Amazon gift card

Description

RLIM antibody detects RING finger protein LIM domain-interacting (RLIM), also known as RNF12, encoded by the RLIM gene on chromosome Xq13.2. RLIM antibody is commonly used in studies of ubiquitination, X-chromosome inactivation, and transcriptional regulation. RLIM is an E3 ubiquitin ligase that regulates protein stability, signaling, and developmental processes. It is expressed broadly, with high levels in embryonic tissues and reproductive organs, and is essential for early embryogenesis and sex-specific gene regulation.

Structurally, RLIM is a ~600 amino acid protein containing a C-terminal RING finger domain responsible for ubiquitin ligase activity and N-terminal regions that mediate protein-protein interactions. It interacts with LIM domain transcription factors, modulating their activity and stability. Alternative splicing generates multiple isoforms with differences in subcellular localization and activity. Nuclear and cytoplasmic pools of RLIM allow it to function in both transcriptional regulation and cytoplasmic protein turnover.

Functionally, RLIM acts as an E3 ubiquitin ligase, tagging proteins for proteasomal degradation. It regulates LIM homeodomain transcription factors by modulating their stability, thereby controlling gene expression programs during development. RLIM also plays a crucial role in X-chromosome inactivation by promoting degradation of the transcription factor REX1, enabling proper expression of Xist RNA. Additional roles include regulation of BMP and TGF-b signaling pathways, neuronal differentiation, and germ cell development. Researchers use RLIM antibody to study ubiquitination, transcriptional regulation, and embryonic development.

Clinically, RLIM mutations are associated with intellectual disability, developmental delay, and congenital anomalies, reflecting its importance in brain and body development. As an X-linked gene, mutations often present with sex-specific patterns of inheritance. RLIM dysfunction has been implicated in cancer, where altered ubiquitination affects cell growth and signaling. NSJ Bioreagents provides RLIM antibody for developmental biology, cancer, and molecular signaling research.

Experimentally, RLIM antibody is used in western blotting to detect the ~68 kDa protein, in immunofluorescence to study nuclear and cytoplasmic localization, and in immunohistochemistry to examine expression in embryonic and tumor tissues. Co-immunoprecipitation with RLIM antibody identifies interacting transcription factors and ubiquitination substrates.

Application Notes

Optimal dilution of the RLIM antibody should be determined by the researcher.

Immunogen

E.coli-derived human RLIM recombinant protein (Position: R369-E621) was used as the immunogen for the RLIM antibody.

Storage

After reconstitution, the RLIM antibody can be stored for up to one month at 4oC. For long-term, aliquot and store at -20oC. Avoid repeated freezing and thawing.

Cross
Bulk Quote Request Form
Name*:
Organization*:
Email*:
Phone Number*:
Catalog No.*:
Comments and Specifics(amount, formulation, etc.)*:
Validation code: Captchapackage Image


Can't read the image? click here to refresh.
    *required field

Your bulk quote request has been submitted successfully!

Please contact us if you have any questions.