• Tel: 858.663.9055
  • SeparatorEmail: info@nsjbio.com
  • Tel: 858.663.9055
  • Email: info@nsjbio.com
Home >> Antibodies >> RKIP Antibody / PEBP1 / PBP

RKIP Antibody / PEBP1 / PBP (RQ4378)

  Catalog No Formulation Size Price (USD)  
Image RQ4378 0.5mg/ml if reconstituted with 0.2ml sterile DI water 100 ug 449
Bulk quote request
Western blot testing of human 1) HeLa, 2) placenta, 3) HepG2, 4) MCF7, 5) mouse testis and 6) mouse brain lysate with RKIP antibody at 0.5ug/ml. Predicted molecular weight ~21 kDa.
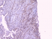
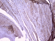
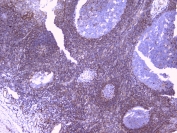
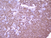
IHC testing of FFPE human pancreatic cancer with RKIP antibody at 1ug/ml. HIER: boil tissue sections in pH6, 10mM citrate buffer, for 10-20 min followed by cooling at RT for 20 min.
IHC testing of FFPE human liver cancer with RKIP antibody at 1ug/ml. HIER: boil tissue sections in pH6, 10mM citrate buffer, for 10-20 min followed by cooling at RT for 20 min.
IHC testing of FFPE human intestinal cancer with RKIP antibody at 1ug/ml. HIER: boil tissue sections in pH6, 10mM citrate buffer, for 10-20 min followed by cooling at RT for 20 min.
IHC testing of FFPE human endometrial carcinoma with RKIP antibody at 1ug/ml. HIER: boil tissue sections in pH6, 10mM citrate buffer, for 10-20 min followed by cooling at RT for 20 min.
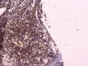
IHC testing of FFPE human sarcoma with RKIP antibody at 1ug/ml. HIER: boil tissue sections in pH6, 10mM citrate buffer, for 10-20 min followed by cooling at RT for 20 min.
IHC testing of FFPE human breast cancer with RKIP antibody at 1ug/ml. HIER: boil tissue sections in pH6, 10mM citrate buffer, for 10-20 min followed by cooling at RT for 20 min.
IHC testing of FFPE human tonsil with RKIP antibody at 1ug/ml. HIER: boil tissue sections in pH6, 10mM citrate buffer, for 10-20 min followed by cooling at RT for 20 min.
IHC testing of FFPE mouse kidney with RKIP antibody at 1ug/ml. HIER: boil tissue sections in pH6, 10mM citrate buffer, for 10-20 min followed by cooling at RT for 20 min.
IHC testing of FFPE mouse brain with RKIP antibody at 1ug/ml. HIER: boil tissue sections in pH6, 10mM citrate buffer, for 10-20 min followed by cooling at RT for 20 min.
Flow cytometry testing of human HepG2 cells with RKIP antibody at 1ug/million cells (blocked with goat sera); Red=cells alone, Green=isotype control, Blue= RKIP antibody.
Western blot testing of human 1) HeLa, 2) MCF7, 3) HepG2, 4) 293T and 5) mouse testis lysate with RKIP antibody at 0.5ug/ml. Predicted molecular weight ~21 kDa.
Availability 1-3 business days
Species Reactivity Human, Mouse
Format Antigen affinity purified
Host Rabbit
Clonality Polyclonal (rabbit origin)
Isotype Rabbit IgG
Purity Antigen affinity purified
Buffer Lyophilized from 1X PBS with 2% Trehalose and 0.025% sodium azide
UniProt P30086
Localization Cytoplasm
Applications Western Blot : 0.5-1ug/ml
Immunohistochemistry (FFPE) : 1-2ug/ml
Flow Cytometry : 1-3ug/million cells
Limitations This RKIP antibody is available for research use only.
Review this product on BioCompare and get a $20 Amazon gift card

Related Products

  • Applications : WB, IHC-P
    Reactivity : Mouse, Rat
  • Applications : WB, IHC, ELISA (peptide)
    Reactivity : Human
    Pred. Reactivity : Cow, Dog, Mouse, Pig, Rat
  • Applications : WB, IHC-P, ELISA (peptide)
    Reactivity : Human, Mouse
    Pred. Reactivity : Cow, Dog, Rat
  • Applications : WB, ELISA (peptide)
    Reactivity : Human
    Pred. Reactivity : Cow, Dog, Mouse, Pig, Rat
  • Applications : IHC-P, WB
    Reactivity : Human
  • Applications : WB, IHC-P
    Reactivity : Human, Mouse

Description

PEBP1 (Phosphatidylethanolamine-binding protein 1), also called PBP, RKIP, inhibits the phosphorylation and activation of MEK by RAF1. PEBP1 is identical to the phosphatidylethanolamine-binding protein (PBP) with a relative molecular mass of 23 kD. The PEBP1 gene is mapped on 12q24.23. PEBP1 coimmunoprecipitates with RAF1 and MEK from cell lysates and colocalizes with RAF1 when examined by confocal microscopy. PEBP1 overexpression interferes with the activation of MEK and ERK, induction of AP1-dependent reporter genes, and transformation elicited by an oncogenically activated RAF1 kinase. PEBP1 expression was rapidly upregulated during induction of chemotherapy-triggered apoptosis in human prostate and breast cancer cell lines, and maximal RKIP expression correlated perfectly with the onset of apoptosis by Chatterjee et al (2004). RKIP depletion decreased the mitotic index, the number of metaphase cells, traversal times from nuclear envelope breakdown to anaphase, and an override of mitotic checkpoints induced by spindle poisons.

Application Notes

Optimal dilution of the RKIP antibody should be determined by the researcher.

Immunogen

Amino acids DHRGKFKVASFRKKYELRAPVAGTCYQAEWDDYVPKLYEQ were used as the immunogen for the RKIP antibody.

Storage

After reconstitution, the RKIP antibody can be stored for up to one month at 4oC. For long-term, aliquot and store at -20oC. Avoid repeated freezing and thawing.

Cross
Bulk Quote Request Form
Name*:
Organization*:
Email*:
Phone Number*:
Catalog No.*:
Comments and Specifics(amount, formulation, etc.)*:
Validation code: Captchapackage Image


Can't read the image? click here to refresh.
    *required field

Your bulk quote request has been submitted successfully!

Please contact us if you have any questions.