• Tel: 858.663.9055
  • SeparatorEmail: info@nsjbio.com
  • Tel: 858.663.9055
  • Email: info@nsjbio.com
Home >> Antibodies >> RIGI Antibody / DDX58

RIGI Antibody / DDX58 (FY12200)

  Catalog No Formulation Size Price (USD)  
Image FY12200 Adding 0.2 ml of distilled water will yield a concentration of 500 ug/ml 100 ug 449
Bulk quote request
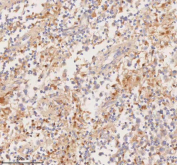
Immunohistochemical staining of RIGI using anti-RIGI antibody. RIGI was detected in a paraffin-embedded section of human appendicitis tissue. Heat mediated antigen retrieval was performed in EDTA buffer (pH 8.0, epitope retrieval solution). The tissue section was blocked with 10% goat serum. The tissue section was then incubated with 2 ug/ml rabbit anti-RIGI antibody overnight at 4oC. Peroxidase Conjugated Goat Anti-rabbit IgG was used as secondary antibody and incubated for 30 minutes at 37oC. The tissue section was developed using an HRP secondary and DAB substrate.
Western blot analysis of RIGI using anti-RIGI antibody. Lane 1: human whole cell lysates, Lane 2: human HepG2 whole cell lysates, Lane 3: human MCF-7 whole cell lysates, Lane 4: human Hela whole cell lysates. After electrophoresis, proteins were transferred to a nitrocellulose membrane at 150 mA for 50-90 minutes. Blocked the membrane with 5% non-fat milk/TBS for 1.5 hour at RT. The membrane was incubated with rabbit anti-RIGI antibody at 0.5 ug/ml overnight at 4oC, then washed with TBS-0.1%Tween 3 times with 5 minutes each and probed with a goat anti-rabbit IgG-HRP secondary antibody at a dilution of 1:5000 for 1.5 hour at RT. The signal was developed using enhanced chemiluminescent. The expected band size for RIGI is at 107 kDa.
Immunohistochemical staining of RIGI using anti-RIGI antibody. RIGI was detected in a paraffin-embedded section of human appendicitis tissue. Heat mediated antigen retrieval was performed in EDTA buffer (pH 8.0, epitope retrieval solution). The tissue section was blocked with 10% goat serum. The tissue section was then incubated with 2 ug/ml rabbit anti-RIGI antibody overnight at 4oC. Peroxidase Conjugated Goat Anti-rabbit IgG was used as secondary antibody and incubated for 30 minutes at 37oC. The tissue section was developed using an HRP secondary and DAB substrate.
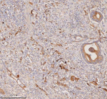
Immunohistochemical staining of RIGI using anti-RIGI antibody. RIGI was detected in a paraffin-embedded section of human cervix squamous cell carcinoma tissue. Heat mediated antigen retrieval was performed in EDTA buffer (pH 8.0, epitope retrieval solution). The tissue section was blocked with 10% goat serum. The tissue section was then incubated with 2 ug/ml rabbit anti-RIGI antibody overnight at 4oC. Peroxidase Conjugated Goat Anti-rabbit IgG was used as secondary antibody and incubated for 30 minutes at 37oC. The tissue section was developed using an HRP secondary and DAB substrate.
Immunohistochemical staining of RIGI using anti-RIGI antibody. RIGI was detected in a paraffin-embedded section of human cervix squamous cell carcinoma tissue. Heat mediated antigen retrieval was performed in EDTA buffer (pH 8.0, epitope retrieval solution). The tissue section was blocked with 10% goat serum. The tissue section was then incubated with 2 ug/ml rabbit anti-RIGI antibody overnight at 4oC. Peroxidase Conjugated Goat Anti-rabbit IgG was used as secondary antibody and incubated for 30 minutes at 37oC. The tissue section was developed using an HRP secondary and DAB substrate.
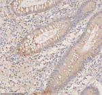
Immunohistochemical staining of RIGI using anti-RIGI antibody. RIGI was detected in a paraffin-embedded section of human rectum adenocarcinoma tissue. Heat mediated antigen retrieval was performed in EDTA buffer (pH 8.0, epitope retrieval solution). The tissue section was blocked with 10% goat serum. The tissue section was then incubated with 2 ug/ml rabbit anti-RIGI antibody overnight at 4oC. Peroxidase Conjugated Goat Anti-rabbit IgG was used as secondary antibody and incubated for 30 minutes at 37oC. The tissue section was developed using an HRP secondary and DAB substrate.
Immunohistochemical staining of RIGI using anti-RIGI antibody. RIGI was detected in a paraffin-embedded section of human rectum adenocarcinoma tissue. Heat mediated antigen retrieval was performed in EDTA buffer (pH 8.0, epitope retrieval solution). The tissue section was blocked with 10% goat serum. The tissue section was then incubated with 2 ug/ml rabbit anti-RIGI antibody overnight at 4oC. Peroxidase Conjugated Goat Anti-rabbit IgG was used as secondary antibody and incubated for 30 minutes at 37oC. The tissue section was developed using an HRP secondary and DAB substrate.
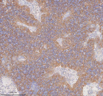
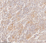
Immunohistochemical staining of RIGI using anti-RIGI antibody. RIGI was detected in a paraffin-embedded section of human spleen tissue. Heat mediated antigen retrieval was performed in EDTA buffer (pH 8.0, epitope retrieval solution). The tissue section was blocked with 10% goat serum. The tissue section was then incubated with 2 ug/ml rabbit anti-RIGI antibody overnight at 4oC. Peroxidase Conjugated Goat Anti-rabbit IgG was used as secondary antibody and incubated for 30 minutes at 37oC. The tissue section was developed using an HRP secondary and DAB substrate.
Immunohistochemical staining of RIGI using anti-RIGI antibody. RIGI was detected in a paraffin-embedded section of human spleen tissue. Heat mediated antigen retrieval was performed in EDTA buffer (pH 8.0, epitope retrieval solution). The tissue section was blocked with 10% goat serum. The tissue section was then incubated with 2 ug/ml rabbit anti-RIGI antibody overnight at 4oC. Peroxidase Conjugated Goat Anti-rabbit IgG was used as secondary antibody and incubated for 30 minutes at 37oC. The tissue section was developed using an HRP secondary and DAB substrate.
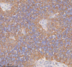
Immunohistochemical staining of RIGI using anti-RIGI antibody. RIGI was detected in a paraffin-embedded section of human testicular seminoma tissue. Heat mediated antigen retrieval was performed in EDTA buffer (pH 8.0, epitope retrieval solution). The tissue section was blocked with 10% goat serum. The tissue section was then incubated with 2 ug/ml rabbit anti-RIGI antibody overnight at 4oC. Peroxidase Conjugated Goat Anti-rabbit IgG was used as secondary antibody and incubated for 30 minutes at 37oC. The tissue section was developed using an HRP secondary and DAB substrate.
Immunohistochemical staining of RIGI using anti-RIGI antibody. RIGI was detected in a paraffin-embedded section of human testicular seminoma tissue. Heat mediated antigen retrieval was performed in EDTA buffer (pH 8.0, epitope retrieval solution). The tissue section was blocked with 10% goat serum. The tissue section was then incubated with 2 ug/ml rabbit anti-RIGI antibody overnight at 4oC. Peroxidase Conjugated Goat Anti-rabbit IgG was used as secondary antibody and incubated for 30 minutes at 37oC. The tissue section was developed using an HRP secondary and DAB substrate.
Flow cytometry analysis of fixed and permeabilized human MCF7 cells with RIGI antibody at 1ug/million cells (blocked with goat sera); Red=cells alone, Green=isotype control, Blue= RIGI antibody.
Availability 1-2 days
Species Reactivity Human
Format Lyophilized
Host Rabbit
Clonality Polyclonal (rabbit origin)
Isotype Rabbit IgG
Purity Immunogen affinity purified
Buffer Each vial contains 4 mg Trehalose, 0.9 mg NaCl, 0.2 mg Na2HPO4.
UniProt O95786
Applications Western Blot : 0.25-0.5ug/ml
Immunohistochemistry : 2-5ug/ml
Flow Cytometry : 1-3ug/million cells
ELISA : 0.1-0.5ug/ml
Limitations This RIGI antibody is available for research use only.
Review this product on BioCompare and get a $20 Amazon gift card

Description

RIGI antibody detects Retinoic acid-inducible gene I protein, encoded by the DDX58 gene on chromosome 9p21. RIGI antibody is widely applied in studies of innate immunity, antiviral defense, and RNA sensing pathways. RIG-I is a cytoplasmic pattern recognition receptor (PRR) belonging to the RIG-I-like receptor (RLR) family, which also includes MDA5 and LGP2. RIG-I detects viral double-stranded RNA with 5'-triphosphate ends and initiates signaling cascades that activate interferon production and antiviral gene expression. Expression is inducible by interferons and viral infection, and is present in a wide range of cell types, especially immune cells and epithelial cells.

Structurally, RIG-I contains two N-terminal caspase activation and recruitment domains (CARDs), a central DExD/H-box helicase domain, and a C-terminal regulatory domain that binds RNA. The CARD domains recruit downstream adaptors, while the helicase and regulatory domains bind viral RNA. Conformational changes upon RNA binding expose the CARDs, enabling signaling activation. Post-translational modifications such as ubiquitination regulate RIG-I activation and turnover.

Functionally, RIG-I is a critical sensor of viral RNA. Upon binding RNA ligands, it interacts with the mitochondrial antiviral signaling protein (MAVS), initiating signaling through TBK1, IKK epsilon, and IRF3/7, leading to type I interferon production. This antiviral program restricts replication of RNA viruses including influenza, vesicular stomatitis virus, and hepatitis C virus. RIG-I also influences adaptive immunity by modulating dendritic cell maturation and antigen presentation. Researchers employ RIGI antibody to study innate immune sensing, interferon biology, and antiviral responses.

Clinically, RIG-I is associated with autoimmune disorders, infectious disease, and cancer. Gain-of-function mutations in DDX58 cause Singleton-Merten syndrome, an autoinflammatory disease with vascular calcification and lupus-like features. Aberrant RIG-I signaling contributes to chronic inflammation and autoimmunity, while defective responses increase susceptibility to viral infections. RIG-I also acts as a tumor suppressor by promoting cell death and interferon responses, but tumors may evade RIG-I signaling. NSJ Bioreagents offers RIGI antibody to support immunology, virology, and oncology research.

Experimentally, RIGI antibody is used in western blotting to detect the ~102 kDa protein, in immunofluorescence to study cytoplasmic localization, and in immunohistochemistry to evaluate expression in infected or immune tissues. Co-immunoprecipitation with RIGI antibody identifies MAVS and signaling partners, enabling dissection of antiviral pathways.

Application Notes

Optimal dilution of the RIGI antibody should be determined by the researcher.

Immunogen

E.coli-derived human DDX58/RIG-1 recombinant protein (Position: K203-K925) was used as the immunogen for the RIGI antibody.

Storage

After reconstitution, the RIGI antibody can be stored for up to one month at 4oC. For long-term, aliquot and store at -20oC. Avoid repeated freezing and thawing.

Cross
Bulk Quote Request Form
Name*:
Organization*:
Email*:
Phone Number*:
Catalog No.*:
Comments and Specifics(amount, formulation, etc.)*:
Validation code: Captchapackage Image


Can't read the image? click here to refresh.
    *required field

Your bulk quote request has been submitted successfully!

Please contact us if you have any questions.