• Tel: 858.663.9055
  • SeparatorEmail: info@nsjbio.com
  • Tel: 858.663.9055
  • Email: info@nsjbio.com
Home >> Antibodies >> Ribonucleotide Reductase M1 Antibody / RRM1

Ribonucleotide Reductase M1 Antibody / RRM1 (RQ6899)

  Catalog No Formulation Size Price (USD)  
Image RQ6899 0.5mg/ml if reconstituted with 0.2ml sterile DI water 100 ug 449
Bulk quote request
Flow cytometry testing of human U-87 MG cells with Ribonucleotide Reductase M1 antibody at 1ug/million cells (blocked with goat sera); Red=cells alone, Green=isotype control, Blue= Ribonucleotide Reductase M1 antibody.
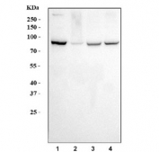
Western blot testing of human 1) HeLa, 2) A549, 3) T-47D and 4) K562 cell lysate with Ribonucleotide Reductase M1 antibody. Predicted molecular weight ~90 kDa.
Availability 1-3 business days
Species Reactivity Human
Format Antigen affinity purified
Host Rabbit
Clonality Polyclonal (rabbit origin)
Isotype Rabbit IgG
Purity Antigen affinity purified
Buffer Lyophilized from 1X PBS with 2% Trehalose
UniProt P23921
Applications Western Blot : 1-2ug/ml
Flow Cytometry : 1-3ug/million cells
Direct ELISA : 0.1-0.5ug/ml
Limitations This Ribonucleotide Reductase M1 antibody is available for research use only.
Review this product on BioCompare and get a $20 Amazon gift card

Related Products

Description

Ribonucleoside-diphosphate reductase large subunit is an enzyme that in humans is encoded by the RRM1 gene. This gene encodes the large and catalytic subunit of ribonucleotide reductase, an enzyme essential for the conversion of ribonucleotides into deoxyribonucleotides. A pool of available deoxyribonucleotides is important for DNA replication during S phase of the cell cycle as well as multiple DNA repair processes. Alternative splicing results in multiple transcript variants.

Application Notes

Optimal dilution of the Ribonucleotide Reductase M1 antibody should be determined by the researcher.

Immunogen

Recombinant human protein (amino acids D129-Q730) was used as the immunogen for the Ribonucleotide Reductase M1 antibody.

Storage

After reconstitution, the Ribonucleotide Reductase M1 antibody can be stored for up to one month at 4oC. For long-term, aliquot and store at -20oC. Avoid repeated freezing and thawing.

Cross
Bulk Quote Request Form
Name*:
Organization*:
Email*:
Phone Number*:
Catalog No.*:
Comments and Specifics(amount, formulation, etc.)*:
Validation code: Captchapackage Image


Can't read the image? click here to refresh.
    *required field

Your bulk quote request has been submitted successfully!

Please contact us if you have any questions.