• Tel: 858.663.9055
  • SeparatorEmail: info@nsjbio.com
  • Tel: 858.663.9055
  • Email: info@nsjbio.com
Home >> Antibodies >> Ribonuclease 3 Antibody / RNASE3 / Eosinophil cationic protein

Ribonuclease 3 Antibody / RNASE3 / Eosinophil cationic protein (RQ4467)

  Catalog No Formulation Size Price (USD)  
Image RQ4467 0.5mg/ml if reconstituted with 0.2ml sterile DI water 100 ug 449
Bulk quote request
Western blot testing of 1) human Jurkat, 2) rat liver and 3) mouse liver lysate with Ribonuclease 3 antibody at 0.5ug/ml. Predicted molecular weight ~18 kDa.
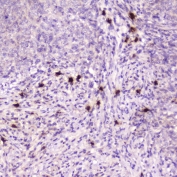
IHC testing of FFPE human ovarian cancer with Ribonuclease 3 antibody at 2ug/ml. HIER: boil tissue sections in pH6, 10mM citrate buffer, for 10-20 min followed by cooling at RT for 20 min.
IHC testing of FFPE human sarcoma with Ribonuclease 3 antibody at 2ug/ml. HIER: boil tissue sections in pH6, 10mM citrate buffer, for 10-20 min followed by cooling at RT for 20 min.
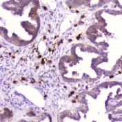
IHC testing of FFPE mouse small intestine with Ribonuclease 3 antibody at 2ug/ml. HIER: boil tissue sections in pH6, 10mM citrate buffer, for 10-20 min followed by cooling at RT for 20 min.
Availability 1-3 business days
Species Reactivity Human, Mouse, Rat
Format Antigen affinity purified
Host Rabbit
Clonality Polyclonal (rabbit origin)
Isotype Rabbit IgG
Purity Antigen affinity
Buffer Lyophilized from 1X PBS with 2% Trehalose and 0.025% sodium azide
UniProt P12724
Localization Cytoplasmic
Applications Western Blot : 0.5-1ug/ml
Immunohistochemistry (FFPE) : 1-2ug/ml
Direct ELISA : 0.1-0.5ug/ml (human recombinant protein)
Limitations This Ribonuclease 3 antibody is available for research use only.
Review this product on BioCompare and get a $20 Amazon gift card

Related Products

Description

Ribonuclease 3 antibody recognizes Ribonuclease 3, also known as RNASE3 and commonly referred to as Eosinophil cationic protein. This secreted ribonuclease is encoded by the RNASE3 gene located on chromosome 14q11.2 and is a member of the pancreatic ribonuclease family. RNASE3 is highly expressed in eosinophil granules and released during activation, degranulation, and inflammatory responses. The protein plays significant roles in host defense, immune regulation, and tissue remodeling. Its cationic nature allows strong binding to microbial membranes, extracellular matrix components, and nucleic acids in inflammatory environments.

Eosinophil cationic protein exerts broad antimicrobial activity, acting against bacteria, parasites, and selected viruses. It disrupts microbial membranes through its positively charged regions and can modulate host immune responses by influencing cytokine signaling, dendritic cell activation, and macrophage polarization. RNASE3 also participates in airway inflammation, allergic responses, and conditions linked to eosinophil activation. Elevated levels of RNASE3 are frequently detected in asthma, chronic rhinosinusitis, atopic dermatitis, parasitic infections, and eosinophil-associated gastrointestinal disorders.

At the subcellular level, RNASE3 is stored in the specific granules of eosinophils and co-localizes with proteins such as major basic protein, eosinophil peroxidase, and eosinophil-derived neurotoxin. Upon activation, eosinophils release RNASE3 into the extracellular space where it interacts with cellular membranes, matrix proteins, and inflammatory mediators. The protein is also detectable in plasma, airway secretions, and tissues undergoing eosinophilic infiltration. Isoform variation arises from alternative processing events that may influence secretion dynamics and extracellular stability. In addition to immune cells, low level expression has been observed in selected epithelial and endothelial tissues under inflammatory or stress conditions.

RNASE3 contributes to multiple physiological and pathological pathways. It participates in innate immune defense through antimicrobial activity, helps regulate tissue repair processes, and modulates epithelial barrier responses. Its cytotoxic effects can contribute to tissue injury in certain contexts, including airway hyperreactivity and chronic inflammatory disease. RNASE3 interacts with extracellular matrix components and can influence fibroblast activity, adding relevance to fibrosis related research. During development, eosinophil granule proteins including RNASE3 become prominent as the immune system matures and gains full antimicrobial capability.

This Ribonuclease 3 antibody is suitable for detecting RNASE3 expression in research focused on eosinophil biology, innate immunity, allergic inflammation, airway disease, parasitic infections, and immune mediated tissue remodeling. It can support studies investigating eosinophil activation states, granule protein release, and immune signaling pathways contributing to inflammatory conditions. NSJ Bioreagents includes this reagent as part of its immunology and inflammation antibody collection.

Application Notes

Optimal dilution of the Ribonuclease 3 antibody should be determined by the researcher.

Immunogen

Human recombinant protein (amino acids R28-I160) was used as the immunogen for the Ribonuclease 3 antibody.

Storage

After reconstitution, the Ribonuclease 3 antibody can be stored for up to one month at 4oC. For long-term, aliquot and store at -20oC. Avoid repeated freezing and thawing.

Cross
Bulk Quote Request Form
Name*:
Organization*:
Email*:
Phone Number*:
Catalog No.*:
Comments and Specifics(amount, formulation, etc.)*:
Validation code: Captchapackage Image


Can't read the image? click here to refresh.
    *required field

Your bulk quote request has been submitted successfully!

Please contact us if you have any questions.