• Tel: 858.663.9055
  • SeparatorEmail: info@nsjbio.com
  • Tel: 858.663.9055
  • Email: info@nsjbio.com
Home >> Antibodies >> RGL3 Antibody / Ral guanine nucleotide dissociation stimulator-like 3

RGL3 Antibody / Ral guanine nucleotide dissociation stimulator-like 3 (FY13318)

  Catalog No Formulation Size Price (USD)  
Image FY13318 Adding 0.2 ml of distilled water will yield a concentration of 500 ug/ml 100 ug 449
Bulk quote request
Immunofluorescent staining of RGL3 using anti-RGL3 antibody (red) and anti-Beta Tubulin antibody (green). RGL3 was detected in immunocytochemical section of human HeLa cells. Enzyme antigen retrieval was performed using IHC enzyme antigen retrieval reagent for 15 mins. The cells were blocked with 10% goat serum. And then incubated with 5 ug/ml rabbit anti-RGL3 antibody and mouse anti-Beta Tubulin antibody overnight at 4oC. Cy3 Conjugated Goat Anti-Rabbit IgG and FITC Conjugated Goat Anti-Mouse IgG were used as secondary antibody at 1:500 dilution and incubated for 30 minutes at 37oC. Visualize using a fluorescence microscope and filter sets appropriate for the label used. RGL3 shows nuclear localization in HeLa cells and cytoplasmic localization in human liver cancer tissue. Previous publicly available data suggest nucleoplasmic localization in some human cell lines (e.g., CACO-2, RT-4) and nuclear + cytoplasmic in another (U-2 OS) per proteinatlas.org, but comprehensive localization across cancer types is not yet established for RGL3.
Western blot analysis of RGL3 using anti-RGL3 antibody. Lane 1: human Caco-2 whole cell lysates, Lane 2: human SH-SY5Y whole cell lysates. After electrophoresis, proteins were transferred to a nitrocellulose membrane at 150 mA for 50-90 minutes. Blocked the membrane with 5% non-fat milk/TBS for 1.5 hour at RT. The membrane was incubated with rabbit anti-RGL3 antibody at 0.5 ug/ml overnight at 4oC, then washed with TBS-0.1%Tween 3 times with 5 minutes each and probed with a goat anti-rabbit IgG-HRP secondary antibody at a dilution of 1:5000 for 1.5 hour at RT. The signal was developed using enhanced chemiluminescent. A specific band was detected for RGL3 at approximately 72 kDa. The expected molecular weight of RGL3 is ~78 kDa.
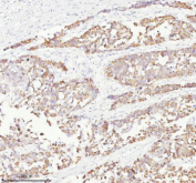
Immunohistochemical staining of RGL3 using anti-RGL3 antibody. RGL3 was detected in a paraffin-embedded section of human liver cancer tissue. Heat mediated antigen retrieval was performed in EDTA buffer (pH 8.0, epitope retrieval solution). The tissue section was blocked with 10% goat serum. The tissue section was then incubated with 2 ug/ml rabbit anti-RGL3 antibody overnight at 4oC. Peroxidase Conjugated Goat Anti-rabbit IgG was used as secondary antibody and incubated for 30 minutes at 37oC. The tissue section was developed using an HRP secondary and DAB substrate.
Immunohistochemical staining of RGL3 using anti-RGL3 antibody. RGL3 was detected in a paraffin-embedded section of human liver cancer tissue. Heat mediated antigen retrieval was performed in EDTA buffer (pH 8.0, epitope retrieval solution). The tissue section was blocked with 10% goat serum. The tissue section was then incubated with 2 ug/ml rabbit anti-RGL3 antibody overnight at 4oC. Peroxidase Conjugated Goat Anti-rabbit IgG was used as secondary antibody and incubated for 30 minutes at 37oC. The tissue section was developed using an HRP secondary and DAB substrate.
Flow Cytometry analysis of SH-SY5Y cells using anti-RGL3 antibody. Overlay histogram showing SH-SY5Y cells stained with (Blue line). To facilitate intracellular staining, cells were fixed with 4% paraformaldehyde and permeabilized with permeabilization buffer. The cells were blocked with 10% normal goat serum. And then incubated with rabbit anti-RGL3 antibody (1 ug/million cells) for 30 min at 20oC. DyLight 488 conjugated goat anti-rabbit IgG (5-10 ug/million cells) was used as secondary antibody for 30 minutes at 20oC. Isotype control antibody (Green line) was rabbit IgG (1 ug/million cells) used under the same conditions. Unlabelled sample (Red line) was also used as a control.
Availability 1-2 days
Species Reactivity Human
Format Lyophilized
Host Rabbit
Clonality Polyclonal (rabbit origin)
Isotype Rabbit IgG
Purity Immunogen affinity purified
Buffer Each vial contains 4 mg Trehalose, 0.9 mg NaCl, 0.2 mg Na2HPO4.
UniProt Q3MIN7
Localization Cytoplasmic, Nuclear
Applications Western Blot : 0.25-0.5ug/ml
Immunohistochemistry : 2-5ug/ml
Immunocytochemistry : 5ug/ml
Immunofluorescence : 5ug/ml
Flow Cytometry : 1-3ug/million cells
ELISA : 0.1-0.5ug/ml
Limitations This RGL3 antibody is available for research use only.
Review this product on BioCompare and get a $20 Amazon gift card

Description

RGL3 antibody recognizes Ral guanine nucleotide dissociation stimulator-like 3, a cytoplasmic guanine nucleotide exchange factor (GEF) encoded by the RGL3 gene on chromosome 19q13.33. RGL3 is a member of the RalGDS-like family of Ras effector proteins that mediate cross-talk between Ras and Ral small GTPase signaling pathways. RGL3 functions as a guanine nucleotide exchange factor that activates RalA and RalB by promoting the exchange of GDP for GTP, thus regulating vesicle trafficking, cytoskeletal organization, and cell proliferation.

RGL3 antibody identifies a multifunctional signaling adaptor that localizes primarily to the cytoplasm and cell membrane, where it interacts with active GTP-bound Ras. Through its Ras-binding domain (RBD) and pleckstrin homology (PH) domain, RGL3 serves as a molecular bridge linking Ras activation to downstream Ral-mediated signaling. This pathway plays critical roles in exocytosis, endocytosis, and integrin-dependent cell migration. Structural analyses reveal that RGL3 possesses distinct domains for Ras and phospholipid interactions, allowing it to coordinate spatial and temporal aspects of Ral signaling.

Functionally, RGL3 participates in pathways controlling cytoskeletal remodeling and membrane trafficking. Activated RGL3 promotes the assembly of Ral effector complexes involved in vesicle tethering and actin reorganization. In epithelial cells, it contributes to junction formation and cell polarity maintenance. The Ral signaling axis, modulated by RGL3, influences diverse cellular functions including autophagy, exosome release, and oncogenic transformation.

RGL3 is transcriptionally regulated by growth factors and mitogenic stimuli, positioning it as an important node in the Ras-MAPK signaling network. Dysregulation of RGL3 expression or activity has been linked to cancer progression, metastasis, and neurological disorders. Overactivation of the Ral GTPase pathway through RGL3 can enhance tumor cell migration and invasion, particularly in pancreatic and lung cancers. Conversely, loss of RGL3 function can impair vesicular transport and disrupt cell adhesion dynamics.

At the pathway level, RGL3 participates in Ras and Ral GTPase signaling cascades, which intersect with PI3K and MAPK pathways to control cell survival and differentiation. Evolutionarily, RGL3 belongs to the RalGDS family of guanine nucleotide exchange factors, sharing homology with RGL1, RGL2, and RalGPS proteins. The protein's regulatory domains ensure precise spatiotemporal activation of Ral GTPases in response to external stimuli.

Immunohistochemical analysis using RGL3 antibody shows cytoplasmic and membrane localization in epithelial and neuronal cells, consistent with its role in Ras-dependent signaling. RGL3 antibody from NSJ Bioreagents is a useful reagent for exploring Ral GTPase activation, vesicle transport, and oncogenic Ras signaling in developmental and cancer models.

Application Notes

Optimal dilution of the RGL3 antibody should be determined by the researcher.

Immunogen

E.coli-derived human RGL3 recombinant protein (Position: Q49-D622) was used as the immunogen for the RGL3 antibody.

Storage

After reconstitution, the RGL3 antibody can be stored for up to one month at 4oC. For long-term, aliquot and store at -20oC. Avoid repeated freezing and thawing.

Cross
Bulk Quote Request Form
Name*:
Organization*:
Email*:
Phone Number*:
Catalog No.*:
Comments and Specifics(amount, formulation, etc.)*:
Validation code: Captchapackage Image


Can't read the image? click here to refresh.
    *required field

Your bulk quote request has been submitted successfully!

Please contact us if you have any questions.