• Tel: 858.663.9055
  • SeparatorEmail: info@nsjbio.com
  • Tel: 858.663.9055
  • Email: info@nsjbio.com
Home >> Antibodies >> RETSAT Antibody / All-trans-retinol 13,14-reductase

RETSAT Antibody / All-trans-retinol 13,14-reductase (RQ7777)

  Catalog No Formulation Size Price (USD)  
Image RQ7777 0.5mg/ml if reconstituted with 0.2ml sterile DI water 100 ug 449
Bulk quote request
Flow cytometry testing of human HepG2 cells with RETSAT antibody at 1ug/million cells (blocked with goat sera); Red=cells alone, Green=isotype control, Blue= RETSAT antibody.
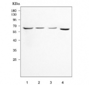
Western blot testing of 1) human HepG2, 2) human HUH-7, 3) human HCCT and 4) rat liver tissue lysate with RETSAT antibody. Predicted molecular weight ~67 kDa.
Availability 1-3 business days
Species Reactivity Human, Rat
Format Antigen affinity purified
Host Rabbit
Clonality Polyclonal (rabbit origin)
Isotype Rabbit IgG
Purity Antigen affinity purified
Buffer Lyophilized from 1X PBS with 2% Trehalose
UniProt Q6NUM9
Applications Western Blot : 0.5-1ug/ml
Flow Cytometry : 1-3ug/million cells
Direct ELISA : 0.1-0.5ug/ml
Limitations This RETSAT antibody is available for research use only.
Review this product on BioCompare and get a $20 Amazon gift card

Description

In enzymology, an all-trans-retinol 13,14-reductase is an enzyme, encoded by the RETSAT gene. Predicted to enable all-trans-retinol 13,14-reductase activity. Predicted to be involved in retinol metabolic process. Located in membrane.

Application Notes

Optimal dilution of the RETSAT antibody should be determined by the researcher.

Immunogen

E. coli-derived recombinant human protein (amino acids E35-K597) was used as the immunogen for the RETSAT antibody.

Storage

After reconstitution, the RETSAT antibody can be stored for up to one month at 4oC. For long-term, aliquot and store at -20oC. Avoid repeated freezing and thawing.

Cross
Bulk Quote Request Form
Name*:
Organization*:
Email*:
Phone Number*:
Catalog No.*:
Comments and Specifics(amount, formulation, etc.)*:
Validation code: Captchapackage Image


Can't read the image? click here to refresh.
    *required field

Your bulk quote request has been submitted successfully!

Please contact us if you have any questions.