• Tel: 858.663.9055
  • SeparatorEmail: info@nsjbio.com
  • Tel: 858.663.9055
  • Email: info@nsjbio.com
Home >> Antibodies >> Retinol dehydrogenase 10 Antibody / RDH10

Retinol dehydrogenase 10 Antibody / RDH10 (RQ7387)

  Catalog No Formulation Size Price (USD)  
Image RQ7387 0.5mg/ml if reconstituted with 0.2ml sterile DI water 100 ug 449
Bulk quote request
Flow cytometry testing of human PC-3 cells with Retinol dehydrogenase 10 antibody at 1ug/million cells (blocked with goat sera); Red=cells alone, Green=isotype control, Blue= Retinol dehydrogenase 10 antibody.
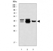
Western blot testing of 1) human HepG2, 2) human A549 and 3) rat liver tissue lysate with Retinol dehydrogenase 10 antibody. Predicted molecular weight ~38 kDa.
Availability 1-3 business days
Species Reactivity Human, Rat
Format Antigen affinity purified
Host Rabbit
Clonality Polyclonal (rabbit origin)
Isotype Rabbit IgG
Purity Antigen affinity purified
Buffer Lyophilized from 1X PBS with 2% Trehalose
UniProt Q8IZV5
Applications Western Blot : 0.5-1ug/ml
Flow Cytometry : 1-3ug/million cells
Direct ELISA : 0.1-0.5ug/ml
Limitations This Retinol dehydrogenase 10 antibody is available for research use only.
Review this product on BioCompare and get a $20 Amazon gift card

Description

The RDH10 gene encodes a retinol dehydrogenase, which converts all-trans-retinol to all-trans-retinal, with preference for NADP as a cofactor. Studies in mice suggest that this protein is essential for synthesis of embryonic retinoic acid and is required for limb, craniofacial, and organ development.

Application Notes

Optimal dilution of the Retinol dehydrogenase 10 antibody should be determined by the researcher.

Immunogen

Recombinant human protein (amino acids M1-I341) was used as the immunogen for the Retinol dehydrogenase 10 antibody.

Storage

After reconstitution, the Retinol dehydrogenase 10 antibody can be stored for up to one month at 4oC. For long-term, aliquot and store at -20oC. Avoid repeated freezing and thawing.

Cross
Bulk Quote Request Form
Name*:
Organization*:
Email*:
Phone Number*:
Catalog No.*:
Comments and Specifics(amount, formulation, etc.)*:
Validation code: Captchapackage Image


Can't read the image? click here to refresh.
    *required field

Your bulk quote request has been submitted successfully!

Please contact us if you have any questions.