• Tel: 858.663.9055
  • SeparatorEmail: info@nsjbio.com
  • Tel: 858.663.9055
  • Email: info@nsjbio.com
Home >> Antibodies >> Retinal guanylyl cyclase 1 Antibody / GUCY2D

Retinal guanylyl cyclase 1 Antibody / GUCY2D (F54602)

  Catalog No Formulation Size Price (USD)  
Image F54602-0.4ML In 1X PBS, pH 7.4, with 0.09% sodium azide 0.4 ml 439
Image
F54602-0.08ML In 1X PBS, pH 7.4, with 0.09% sodium azide 0.08 ml 205
Bulk quote request
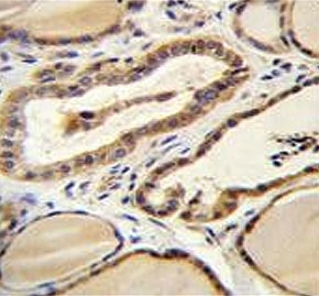
IHC testing of FFPE human thyroid tissue with Retinal guanylyl cyclase 1 antibody. HIER: steam section in pH6 citrate buffer for 20 min and allow to cool prior to staining.
Western blot testing of rat eyeball tissue lysate with Retinal guanylyl cyclase 1 antibody. Predicted molecular weight ~120 kDa.
Western blot testing of human Ramos cell lysate with Retinal guanylyl cyclase 1 antibody. Predicted molecular weight ~120 kDa.
Flow cytometry testing of fixed and permeabilized human HeLa cells with Retinal guanylyl cyclase 1 antibody; Blue=isotype control, Green= Retinal guanylyl cyclase 1 antibody.
Availability 1-3 business days
Species Reactivity Human, Rat
Format Purified
Host Rabbit
Clonality Polyclonal (rabbit origin)
Isotype Rabbit Ig
Purity Antigen affinity purified
UniProt Q02846
Localization Cytoplasmic
Applications Western Blot : 1:500-1:2000
Immunohistochemistry (FFPE) : 1:25
Flow Cytometry : 1:25 (1x10e6 cells)
Limitations This Retinal guanylyl cyclase 1 antibody is available for research use only.
Review this product on BioCompare and get a $20 Amazon gift card

Related Products

Description

This gene encodes a retina-specific guanylate cyclase, which is a member of the membrane guanylyl cyclase family. Like other membrane guanylyl cyclases, this enzyme has a hydrophobic amino-terminal signal sequence followed by a large extracellular domain, a single membrane spanning domain, a kinase homology domain, and a guanylyl cyclase catalytic domain. In contrast to other membrane guanylyl cyclases, this enzyme is not activated by natriuretic peptides. Mutations in this gene result in Leber congenital amaurosis and cone-rod dystrophy-6 diseases. [provided by RefSeq].

Application Notes

The stated application concentrations are suggested starting points. Titration of the Retinal guanylyl cyclase 1 antibody may be required due to differences in protocols and secondary/substrate sensitivity.

Immunogen

A portion of amino acids 540-570 from the human protein was used as the immunogen for the Retinal guanylyl cyclase 1 antibody.

Storage

Aliquot the Retinal guanylyl cyclase 1 antibody and store frozen at -20oC or colder. Avoid repeated freeze-thaw cycles.

Cross
Bulk Quote Request Form
Name*:
Organization*:
Email*:
Phone Number*:
Catalog No.*:
Comments and Specifics(amount, formulation, etc.)*:
Validation code: Captchapackage Image


Can't read the image? click here to refresh.
    *required field

Your bulk quote request has been submitted successfully!

Please contact us if you have any questions.