• Tel: 858.663.9055
  • SeparatorEmail: info@nsjbio.com
  • Tel: 858.663.9055
  • Email: info@nsjbio.com
Home >> Antibodies >> RET Proto-Oncogene Antibody / Colorectal Cancer Marker

RET Proto-Oncogene Antibody / Colorectal Cancer Marker [clone r3F8] (V5986)

  Catalog No Formulation Size Price (USD)  
Image V5986-100UG 0.2 mg/ml in 1X PBS with 0.05% BSA, 0.05% sodium azide 100 ug 559
Image
V5986-20UG 0.2 mg/ml in 1X PBS with 0.05% BSA, 0.05% sodium azide 20 ug 259
Image
V5986SAF-100UG 1 mg/ml in 1X PBS; BSA free, sodium azide free 100 ug 559
Microvalidated Recmousemono
Bulk quote request
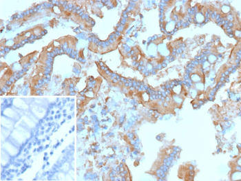
Immunohistochemistry analysis of RET Proto-Oncogene/Colorectal Cancer Marker antibody (clone r3F8) in human colon carcinoma tissue. FFPE human colon carcinoma shows membranous and cytoplasmic HRP-DAB brown staining in malignant epithelial cells lining glandular structures, consistent with RET expression. Staining highlights tumor cell membranes with additional cytoplasmic signal, while surrounding stromal elements demonstrate comparatively weaker reactivity. Nuclei are counterstained blue. The inset image represents a secondary antibody negative control in which PBS was used in place of the primary antibody and shows absence of specific staining. Heat induced epitope retrieval was performed by heating tissue sections in 10 mM Tris with 1 mM EDTA, pH 9.0, at 95oC for 45 minutes followed by cooling at room temperature for 20 minutes prior to immunostaining.
SDS-PAGE Analysis of Purified RET Proto-Oncogene/Colorectal Cancer Marker antibody (r3F8). Confirmation of Purity and Integrity of Antibody.
Species Reactivity Human
Format Purified
Host Mouse
Clonality Recombinant Mouse Monoclonal
Isotype Mouse IgG1, kappa
Clone Name r3F8
UniProt P07949
Localization Cytoplasmic, nuclear, cell surface
Applications Immunohistochemistry (FFPE) : 1-2ug/ml
Limitations This RET Proto-Oncogene/Colorectal Cancer Marker antibody is available for research use only.
Review this product on BioCompare and get a $20 Amazon gift card

Related Products

Description

RET Proto-Oncogene antibody, also known as Colorectal Cancer Marker antibody, recognizes RET, a receptor tyrosine kinase encoded by the human RET gene on chromosome 10q11.21. RET is a transmembrane protein that mediates signaling in response to glial cell line-derived neurotrophic factor family ligands through association with GFR alpha co-receptors. The receptor contains extracellular cadherin-like domains, a single-pass transmembrane region, and an intracellular tyrosine kinase domain that undergoes autophosphorylation upon activation. RET Proto-Oncogene antibody targets a protein primarily localized to the plasma membrane with additional cytoplasmic distribution following receptor internalization.

Activation of RET initiates downstream signaling cascades including MAPK, PI3K-AKT, and STAT pathways, regulating cellular proliferation, survival, migration, and differentiation. While RET signaling is essential for neural crest development, kidney morphogenesis, and enteric nervous system formation, aberrant RET activation contributes to oncogenesis. Germline and somatic RET alterations are well established in thyroid carcinomas and lung cancers. Increasing evidence also supports a role for RET pathway activation in subsets of colorectal carcinoma, where receptor tyrosine kinase signaling contributes to tumor progression and therapeutic resistance.

In colorectal cancer, dysregulated receptor tyrosine kinase networks influence tumor growth, invasion, and response to targeted therapies. RET expression in colorectal carcinoma tissue has been investigated as a potential biomarker and therapeutic target, particularly in tumors exhibiting altered kinase signaling profiles. Membranous and cytoplasmic RET expression may reflect active or dysregulated receptor signaling within malignant epithelial cells.

RET Proto-Oncogene antibody is suitable for detecting RET expression in studies of solid tumor biology and kinase-driven malignancies. Recombinant monoclonal clone r3F8 is generated using defined expression systems to promote consistency and reproducibility in research applications. A Colorectal Cancer Marker antibody such as clone r3F8 supports investigation of RET signaling dynamics, tumor-associated expression patterns, and receptor tyrosine kinase involvement in colorectal carcinoma.

Application Notes

1. Optimal dilution of the RET Proto-Oncogene/Colorectal Cancer Marker antibody should be determined by the researcher.

2. This RET Proto-Oncogene/Colorectal Cancer Marker antibody is recombinantly produced by expression in CHO cells.

Immunogen

Prokaryotic recombinant fusion protein corresponding to the extreme C-terminal cytoplasmic region of the human ret oncoprotein was used as the immunogen for the RET Proto-Oncogene/Colorectal Cancer Marker antibody.

Storage

RET Proto-Oncogene/Colorectal Cancer Marker antibody with sodium azide - store at 2 to 8oC; antibody without sodium azide - store at -20 to -80oC.

Cross
Bulk Quote Request Form
Name*:
Organization*:
Email*:
Phone Number*:
Catalog No.*:
Comments and Specifics(amount, formulation, etc.)*:
Validation code: Captchapackage Image


Can't read the image? click here to refresh.
    *required field

Your bulk quote request has been submitted successfully!

Please contact us if you have any questions.