• Tel: 858.663.9055
  • SeparatorEmail: info@nsjbio.com
  • Tel: 858.663.9055
  • Email: info@nsjbio.com
Home >> Antibodies >> Regucalcin Antibody

Regucalcin Antibody (RQ4348)

  Catalog No Formulation Size Price (USD)  
Image RQ4348 0.5mg/ml if reconstituted with 0.2ml sterile DI water 100 ug 449
Bulk quote request
Western blot testing of 1) rat liver, 2) mouse liver and 3) human SMMC-7721 lysate with Regucalcin antibody at 0.5ug/ml. Predicted molecular weight ~33 kDa.
IHC testing of FFPE mouse liver tissue with IRF7 antibody at 1ug/ml. Required HIER: steam section in pH6 citrate buffer for 20 min and allow to cool prior to staining.
IHC testing of FFPE rat liver tissue with IRF7 antibody at 1ug/ml. Required HIER: steam section in pH6 citrate buffer for 20 min and allow to cool prior to staining.
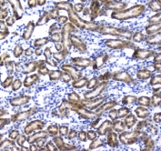
IHC testing of FFPE rat kidney tissue with IRF7 antibody at 1ug/ml. Required HIER: steam section in pH6 citrate buffer for 20 min and allow to cool prior to staining.
Availability 1-3 business days
Species Reactivity Human, Mouse, Rat
Format Antigen affinity purified
Host Rabbit
Clonality Polyclonal (rabbit origin)
Isotype Rabbit IgG
Purity Antigen affinity purified
Buffer Lyophilized from 1X PBS with 2% Trehalose and 0.025% sodium azide
UniProt Q15493
Localization Cytoplasmic, nuclear
Applications Western Blot : 0.5-1ug/ml
IHC (FFPE) : 1-2ug/ml
Limitations This Regucalcin antibody is available for research use only.
Review this product on BioCompare and get a $20 Amazon gift card

Description

Regucalcin is a protein that in humans is encoded by the RGN gene. The protein encoded by this gene is a highly conserved, calcium-binding protein, that is preferentially expressed in the liver and kidney. It may have an important role in calcium homeostasis. Studies in rat indicate that this protein may also play a role in aging, as it shows age-associated down-regulation. This gene is part of a gene cluster on chromosome Xp11.3-Xp11.23.

Application Notes

Optimal dilution of the Regucalcin antibody should be determined by the researcher.

Immunogen

Amino acids YSVDAFDYDLQTGQISNRRSVYKLEKEEQIPD were used as the immunogen for the Regucalcin antibody.

Storage

After reconstitution, the Regucalcin antibody can be stored for up to one month at 4oC. For long-term, aliquot and store at -20oC. Avoid repeated freezing and thawing.

Cross
Bulk Quote Request Form
Name*:
Organization*:
Email*:
Phone Number*:
Catalog No.*:
Comments and Specifics(amount, formulation, etc.)*:
Validation code: Captchapackage Image


Can't read the image? click here to refresh.
    *required field

Your bulk quote request has been submitted successfully!

Please contact us if you have any questions.