• Tel: 858.663.9055
  • SeparatorEmail: info@nsjbio.com
  • Tel: 858.663.9055
  • Email: info@nsjbio.com
Home >> Antibodies >> ZAP70 Antibody / Immunological Synapse Signaling Antibody

ZAP70 Antibody / Immunological Synapse Signaling Antibody [clone ZAP70/6492R] (V9598)

  Catalog No Formulation Size Price (USD)  
Image V9598-100UG 0.2 mg/ml in 1X PBS with 0.1 mg/ml BSA (US sourced), 0.05% sodium azide 100 ug 559
Image
V9598-20UG 0.2 mg/ml in 1X PBS with 0.1 mg/ml BSA (US sourced), 0.05% sodium azide 20 ug 259
Image
V9598SAF-100UG 1 mg/ml in 1X PBS; BSA free, sodium azide free 100 ug 559
Microvalidated Recrabbitmono
Bulk quote request
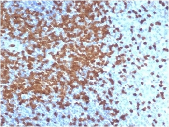
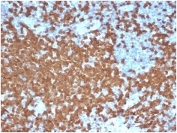
ZAP70 Antibody / Immunological Synapse Signaling Antibody. Immunohistochemistry analysis of formalin-fixed, paraffin-embedded human tonsil tissue using ZAP70 Antibody / Immunological Synapse Signaling Antibody (clone ZAP70/6492R). Antigen retrieval was performed by boiling sections in pH 9 Tris-EDTA buffer for 20 minutes followed by cooling. Cytoplasmic HRP-DAB brown staining is observed in dense lymphoid cell populations within tonsillar follicles and interfollicular regions, consistent with Zeta-chain-associated protein kinase 70 (ZAP70) expression in T lymphocytes. The staining pattern highlights areas of active cell-cell interaction where immunological synapse formation occurs, supporting the role of ZAP70 in spatially organized signaling at T-cell activation interfaces within lymphoid tissue architecture.
ZAP70 Antibody / Immunological Synapse Signaling Antibody. Immunohistochemistry analysis of formalin-fixed, paraffin-embedded human tonsil tissue using ZAP70 Antibody / Immunological Synapse Signaling Antibody (clone ZAP70/6492R). Antigen retrieval was performed by boiling sections in pH 9 Tris-EDTA buffer for 20 minutes followed by cooling. Cytoplasmic HRP-DAB brown staining is observed in densely packed lymphoid cells within tonsillar follicles, with clear contrast against adjacent lighter germinal center regions. The staining highlights clusters of interacting T lymphocytes consistent with Zeta-chain-associated protein kinase 70 (ZAP70) expression at sites of cell-cell contact, supporting its role in immunological synapse signaling and spatially organized T-cell activation within lymphoid tissue architecture.
SDS-PAGE analysis of purified, BSA-free recombinant ZAP70 antibody (clone ZAP70/6492R) as confirmation of integrity and purity.
Availability 1-3 business days
Species Reactivity Human
Format Purified
Host Rabbit
Clonality Recombinant Rabbit Monoclonal
Isotype Rabbit IgG
Clone Name ZAP70/6492R
Purity Protein A/G affinity
UniProt P43403
Localization Cell surface and cytoplasm
Applications ELISA (Use Ab At 2-4ug/ml For Coating) (Order Ab Without BSA) :
Immunohistochemistry (FFPE) : 1-2ug/ml
Limitations This ZAP70 antibody is available for research use only.
Review this product on BioCompare and get a $20 Amazon gift card

Related Products

Description

Zeta-chain-associated protein kinase 70 (ZAP70) is a cytoplasmic tyrosine kinase that plays a critical role in signaling at the immunological synapse, the specialized junction formed between T cells and antigen-presenting cells during immune recognition. ZAP70 Antibody is uniquely positioned for studying immunological synapse signaling, where spatial organization of receptors and signaling molecules governs T-cell activation. ZAP70 antibody, also referred to as Zeta-chain-associated protein kinase 70 antibody or ZAP-70 antibody in the literature, is widely used to investigate signaling events that occur at this highly structured cell-cell interface.

The immunological synapse is characterized by clustering of T-cell receptors and associated signaling proteins into organized domains that facilitate efficient signal transmission. ZAP70 is rapidly recruited to the T-cell receptor complex within this synapse following antigen engagement, where it becomes activated and initiates downstream signaling cascades. This localized activation is essential for coordinating signaling events that drive T-cell activation, proliferation, and effector function. Unlike diffuse cytoplasmic signaling, synapse-associated signaling is spatially restricted and highly regulated.

This ZAP70 Antibody is uniquely positioned for studying signaling within the immunological synapse, emphasizing spatial organization, receptor clustering, and membrane-associated signaling complexes rather than general intracellular signaling pathways. Its use supports investigation of how signaling molecules are recruited to and organized within the synapse, and how these structures influence signaling strength and duration. This differentiator clearly separates it from receptor signaling pages that focus on molecular initiation and from signal transduction pages that emphasize downstream pathway propagation.

ZAP70 activity at the immunological synapse is closely linked to cytoskeletal rearrangements and membrane dynamics that stabilize cell-cell interactions. These processes enable sustained signaling and effective communication between immune cells. Studying ZAP70 in this context provides insight into how immune cells coordinate signaling in space and time to generate appropriate responses to antigenic stimulation.

In experimental systems, immunological synapse formation can be modeled using T cells interacting with antigen-presenting cells or artificial surfaces presenting activating ligands. ZAP70 serves as a key marker for analyzing synapse formation and signaling dynamics in these models. Its recruitment and activation within the synapse provide a direct readout of functional receptor engagement.

Overall, ZAP70 Antibody provides a specialized tool for investigating immunological synapse signaling, enabling detailed study of spatially organized signaling events, receptor clustering, and cell-cell communication processes that define T-cell activation at the interface between immune cells.

Application Notes

Optimal dilution of the ZAP70 Antibody / Immunological Synapse Signaling Antibody should be determined by the researcher.

Immunogen

A portion of amino acids 247-382 was used as the immunogen for the ZAP70 Antibody / Immunological Synapse Signaling Antibody.

Storage

Aliquot the recombinant ZAP70 antibody and store frozen at -20oC or colder. Avoid repeated freeze-thaw cycles.

Alternate Names

ZAP70 antibody, Zeta-chain-associated protein kinase 70 antibody, ZAP70 immune synapse antibody, ZAP70 T-cell synapse signaling antibody, ZAP70 cell-cell interaction antibody

Cross
Bulk Quote Request Form
Name*:
Organization*:
Email*:
Phone Number*:
Catalog No.*:
Comments and Specifics(amount, formulation, etc.)*:
Validation code: Captchapackage Image


Can't read the image? click here to refresh.
    *required field

Your bulk quote request has been submitted successfully!

Please contact us if you have any questions.