• Tel: 858.663.9055
  • SeparatorEmail: info@nsjbio.com
  • Tel: 858.663.9055
  • Email: info@nsjbio.com
Home >> Antibodies >> ZAP70 Antibody / Kinase Activation Regulation Antibody

ZAP70 Antibody / Kinase Activation Regulation Antibody [clone ZAP70/4040R] (V8750)

  Catalog No Formulation Size Price (USD)  
Image V8750-100UG 0.2 mg/ml in 1X PBS with 0.1 mg/ml BSA (US sourced) and 0.05% sodium azide 100 ug 559
Image
V8750-20UG 0.2 mg/ml in 1X PBS with 0.1 mg/ml BSA (US sourced) and 0.05% sodium azide 20 ug 259
Image
V8750SAF-100UG 1 mg/ml in 1X PBS; BSA free, sodium azide free 100 ug 559
Microvalidated Recrabbitmono
Bulk quote request
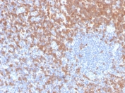
ZAP70 Antibody / Kinase Activation Regulation Antibody. Immunohistochemistry analysis of formalin-fixed, paraffin-embedded human tonsil tissue using ZAP70 Antibody / Kinase Activation Regulation Antibody. Antigen retrieval was performed by boiling sections in pH 9 Tris-EDTA buffer for 20 minutes followed by cooling. Cytoplasmic HRP-DAB brown staining is observed in lymphoid cell populations within tonsillar follicles and interfollicular regions, consistent with Zeta-chain-associated protein kinase 70 (ZAP70) expression and its phosphorylation-dependent regulation of kinase activity. The staining highlights lymphocyte-rich areas where regulated activation of ZAP70 contributes to controlled signaling responses within tissue architecture.
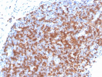
ZAP70 Antibody / Kinase Activation Regulation Antibody. Immunohistochemistry analysis of formalin-fixed, paraffin-embedded human tonsil tissue using ZAP70 Antibody / Kinase Activation Regulation Antibody. Antigen retrieval was performed by boiling sections in pH 9 Tris-EDTA buffer for 20 minutes followed by cooling. Cytoplasmic HRP-DAB brown staining is observed in lymphoid cell populations surrounding lighter germinal center regions, consistent with Zeta-chain-associated protein kinase 70 (ZAP70) expression and its tightly regulated, phosphorylation-dependent kinase activity. The staining pattern highlights compartmentalized lymphocyte populations within tonsillar architecture, supporting the role of ZAP70 in controlled activation and regulation of immune signaling within lymphoid tissue.
Availability 1-3 business days
Species Reactivity Human
Format Purified
Host Rabbit
Clonality Recombinant Rabbit Monoclonal
Isotype Rabbit IgG
Clone Name ZAP70/4040R
Purity Protein A affinity chromatography
UniProt P43403
Localization Cell surface, cytoplasm
Applications ELISA : 2-4ug/ml for coating (order Ab without BSA)
Immunohistochemistry (FFPE) : 1-2ug/ml for 30 minutes at RT
Limitations This ZAP70 antibody is available for research use only.
Review this product on BioCompare and get a $20 Amazon gift card

Related Products

Description

Zeta-chain-associated protein kinase 70 (ZAP70) is a cytoplasmic tyrosine kinase whose activity is tightly controlled through phosphorylation-dependent regulatory mechanisms. ZAP70 Antibody is uniquely positioned for studying kinase activation regulation, where modulation of phosphorylation status directly determines signaling output and cellular response. ZAP70 antibody, also referred to as Zeta-chain-associated protein kinase 70 antibody or ZAP-70 antibody, is widely used to investigate how kinase activity is controlled within immune signaling pathways.

ZAP70 activation occurs following T-cell receptor engagement, where phosphorylation at key tyrosine residues promotes conformational changes that enable kinase activity. This activation process is highly regulated, ensuring that signaling occurs only under appropriate conditions. Dephosphorylation and inhibitory interactions further modulate ZAP70 activity, creating a tightly controlled system that balances activation and suppression of signaling.

This ZAP70 Antibody is uniquely positioned for studying the regulatory mechanisms that control kinase activity, rather than focusing on pathway initiation or downstream signaling outcomes. Its use supports investigation of phosphorylation-dependent regulation, feedback mechanisms, and protein interactions that influence signaling dynamics. This differentiator clearly separates it from pages centered on receptor signaling or broader signal transduction processes.

ZAP70 regulation is critical for maintaining immune homeostasis, as dysregulation can lead to altered signaling responses and impaired immune function. Understanding how ZAP70 activity is controlled provides insight into the mechanisms that fine-tune immune responses and prevent inappropriate activation.

In experimental systems, ZAP70 is often used as a model kinase for studying phosphorylation-driven regulation of signaling proteins. Its well-characterized activation mechanisms make it an ideal target for investigating how kinases are controlled at the molecular level. Detection of ZAP70 enables researchers to examine how regulatory processes influence signaling strength, duration, and downstream effects.

Overall, ZAP70 Antibody provides a focused tool for studying kinase activation regulation, enabling detailed investigation of phosphorylation-dependent control mechanisms, signaling modulation, and the regulatory processes that govern immune cell signaling pathways.

Application Notes

Optimal dilution of the ZAP70 Antibody / Kinase Activation Regulation Antibody should be determined by the researcher.

Immunogen

A portion of amino acids 200-350 from the human protein was used as the immunogen for the ZAP70 Antibody / Kinase Activation Regulation Antibody.

Storage

Store the recombinant ZAP70 antibody at 2-8oC (with azide) or aliquot and store at -20oC or colder (without azide).

Alternate Names

ZAP70 antibody, Zeta-chain-associated protein kinase 70 antibody, ZAP70 kinase activation antibody, ZAP70 phosphorylation regulation antibody, ZAP70 signaling regulation antibody

Cross
Bulk Quote Request Form
Name*:
Organization*:
Email*:
Phone Number*:
Catalog No.*:
Comments and Specifics(amount, formulation, etc.)*:
Validation code: Captchapackage Image


Can't read the image? click here to refresh.
    *required field

Your bulk quote request has been submitted successfully!

Please contact us if you have any questions.