• Tel: 858.663.9055
  • SeparatorEmail: info@nsjbio.com
  • Tel: 858.663.9055
  • Email: info@nsjbio.com
Home >> Antibodies >> Recombinant xCT Antibody / SLC7A11

Recombinant xCT Antibody / SLC7A11 [clone SLC7A11/9136R] (V5627)

  Catalog No Formulation Size Price (USD)  
Image V5627-100UG 0.2 mg/ml in 1X PBS with 0.1 mg/ml BSA (US sourced), 0.05% sodium azide 100 ug 539
Image
V5627-20UG 0.2 mg/ml in 1X PBS with 0.1 mg/ml BSA (US sourced), 0.05% sodium azide 20 ug 249
Image
V5627SAF-100UG 1 mg/ml in 1X PBS; BSA free, sodium azide free 100 ug 539
Microvalidated Recrabbitmono
Bulk quote request
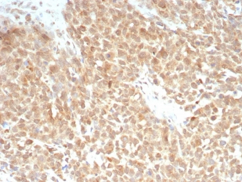
IHC staining of FFPE human triple negative breast cancer tissue with recombinant xCT antibody (clone SLC7A11/9136R). HIER: boil tissue sections in pH 9 10mM Tris with 1mM EDTA for 20 min and allow to cool before testing.
SDS-PAGE analysis of purified, BSA-free recombinant xCT antibody (clone SLC7A11/9136R) as confirmation of integrity and purity.
Availability 1-3 business days
Species Reactivity Human
Format Purified
Clonality Recombinant Rabbit Monoclonal
Isotype Rabbit IgG, kappa
Clone Name SLC7A11/9136R
Purity Protein A/G affinity
UniProt Q9UPY5
Localization Cytoplasm, membrane
Applications Immunohistochemistry (FFPE) : 1-2ug/ml
Limitations This recombinant xCT antibody is available for research use only.
Review this product on BioCompare and get a $20 Amazon gift card

Related Products

  • Applications : WB, IHC-P, ELISA (peptide)
    Reactivity : Human, Rat
    Pred. Reactivity : Dog

Description

xCT, also known as SLC7A11 (solute carrier family 7, (cationic amino acid transporter, y+ system) member 11) or CCBR1, is a 501 amino acid multi-pass membrane protein that belongs to the polyamine-organocation superfamily of amino acid transporters. Existing as a disulfide-linked heterodimer with CD98, xCT functions as a member of a heteromeric Na+-independent anionic amino acid transport system that specifically facilitates the exchange of anionic amino acids for anionic forms of cystine and glutamate, thereby mediating the formation of glutathione within the cell. Due to its involvement in amino acid transport, xCT is associated with the pathogenesis of gliomainduced neurodegeneration and brain edema, as well as pancreatic cancer. The gene encoding xCT maps to human chromosome 4, which encodes nearly 6% of the human genome and has the largest gene deserts (regions of the genome with no protein encoding genes) of all of the human chromosomes.

Application Notes

Optimal dilution of the recombinant xCT antibody should be determined by the researcher.

Immunogen

A recombinant fragment of human SLC7A11 protein was used as the immunogen for the recombinant xCT antibody.

Storage

Aliquot the recombinant xCT antibody and store frozen at -20oC or colder. Avoid repeated freeze-thaw cycles.

Cross
Bulk Quote Request Form
Name*:
Organization*:
Email*:
Phone Number*:
Catalog No.*:
Comments and Specifics(amount, formulation, etc.)*:
Validation code: Captchapackage Image


Can't read the image? click here to refresh.
    *required field

Your bulk quote request has been submitted successfully!

Please contact us if you have any questions.