• Tel: 858.663.9055
  • SeparatorEmail: info@nsjbio.com
  • Tel: 858.663.9055
  • Email: info@nsjbio.com
Home >> Antibodies >> VIM Antibody / Cellular Stress Response Marker Antibody

VIM Antibody / Cellular Stress Response Marker Antibody [clone rVIM/6914] (V9616)

  Catalog No Formulation Size Price (USD)  
Image V9616-100UG 0.2 mg/ml in 1X PBS with 0.1 mg/ml BSA (US sourced), 0.05% sodium azide 100 ug 559
Image
V9616-20UG 0.2 mg/ml in 1X PBS with 0.1 mg/ml BSA (US sourced), 0.05% sodium azide 20 ug 259
Image
V9616SAF-100UG 1 mg/ml in 1X PBS; BSA free, sodium azide free 100 ug 559
Microvalidated Recmousemono
Bulk quote request
VIM Antibody / Cellular Stress Response Marker Antibody for WB. Western blot analysis of human U-87 MG cell lysate using Vimentin antibody detects a band at approximately 55 kDa, consistent with the predicted molecular weight of Vimentin (VIM). The recombinant rabbit monoclonal clone rVIM/6914 shows a distinct band, supporting detection of intermediate filament components associated with stress-responsive cellular states. The presence of Vimentin in U-87 MG cells aligns with cytoskeletal organization linked to cellular stress adaptation and structural responses to environmental conditions.
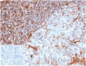
VIM Antibody / Cellular Stress Response Marker Antibody. Immunohistochemistry analysis of FFPE human tonsil tissue using Vimentin antibody shows strong HRP-DAB brown cytoplasmic staining in stromal and mesenchymal cell populations, with minimal staining in most lymphoid cells. The recombinant rabbit monoclonal clone rVIM/6914 highlights filamentous cytoplasmic structures with variable intensity across the stromal compartment, consistent with heterogeneous cellular states. This variation in staining intensity is consistent with cytoskeletal responses associated with cellular stress and activation. The negative control inset, using PBS in place of primary antibody, shows no significant staining, confirming specificity of the observed signal.
SDS-PAGE analysis of purified, BSA-free recombinant VIM antibody (clone rVIM/6914) as confirmation of integrity and purity.
Western blot testing of human U-87 MG cell lysate using recombinant VIM antibody (clone rVIM/6914). Predicted molecular weight ~53 kDa.
Availability 1-3 business days
Species Reactivity Human
Format Purified
Host Mouse
Clonality Recombinant Mouse Monoclonal
Isotype Mouse IgG1, kappa
Clone Name rVIM/6914
Purity Protein A/G affinity
UniProt P08670
Localization Cytoplasm
Applications Immunohistochemistry (FFPE) : 1-2ug/ml
Western Blot : 1-2ug/ml
Limitations This recombinant VIM antibody is available for research use only.
Review this product on BioCompare and get a $20 Amazon gift card

Related Products

  • Applications : WB, IHC
    Reactivity : Human
    Recrabbitmono
  • Applications : FACS, WB, IHC-P
    Reactivity : Human
    Microvalidated
  • Applications : FACS
    Reactivity : Human
    Microvalidated
  • Applications : WB, IHC-P, IF
    Reactivity : Human, Rabbit, Pig, Rat
  • Applications : IHC-P
    Reactivity : Human, Mouse, Rat
    Citation  Citations(11)
  • Applications : WB, IHC-P
    Reactivity : Human
    Citation  Citations(1)
  • Applications : WB, IHC-P
    Reactivity : Human
  • Applications : WB, IHC-P
    Reactivity : Human
  • Applications : WB, ICC/IF, IP
    Reactivity : Human
  • Applications : IHC-P, WB, IF
    Reactivity : Human
    Rab Mono Image
  • Applications : WB, IHC-P
    Reactivity : Human
  • Applications : WB, IHC-P, IF
    Reactivity : Human, Mouse, Rat
  • Applications : IF, WB, IHC, ELISA
    Reactivity : Human, Mouse
    Pred. Reactivity : Rat, Bovine, Primate, Hamster
  • Applications : IF, WB, IHC, FACS, ELISA
    Reactivity : Human
    Pred. Reactivity : Mouse, Rat, Bovine, Pig, Primate, Chicken, Hamster, Xenopus
  • Applications : WB, IHC, FACS, ELISA
    Reactivity : Human
    Pred. Reactivity : Mouse, Rat, Bovine, Pig, Hamster
  • Applications : IF, WB, IHC, FACS, ELISA
    Reactivity : Human
  • Applications : WB, ELISA (peptide)
    Reactivity : Human, Mouse, Rat
    Pred. Reactivity : Dog, Pig, Cow

Description

Vimentin (VIM) is a type III intermediate filament protein that plays an important role in cellular stress response and cytoskeletal adaptation to environmental challenges. VIM Antibody / Cellular Stress Response Marker Antibody is specifically positioned for studying stress-induced cytoskeletal changes, including responses to mechanical, oxidative, and metabolic stress. This VIM Antibody is uniquely positioned for analyzing cytoskeletal adaptation under stress conditions and identifying cells undergoing stress-responsive structural changes, making it highly relevant for studies focused on cellular resilience and adaptation. Vimentin is also referred to as Vimentin antibody, VIM antibody, and intermediate filament protein antibody in the literature.

During cellular stress, Vimentin undergoes reorganization and modification that alter filament structure and function. These changes allow cells to adapt to environmental challenges while maintaining viability. The VIM Antibody / Cellular Stress Response Marker Antibody enables investigation of these stress-induced cytoskeletal alterations across different biological contexts.

Vimentin expression is associated with cells exposed to stress conditions, including inflammation, hypoxia, and mechanical strain. Its presence supports cellular adaptation by maintaining structural integrity while allowing flexibility in response to changing conditions. Stress-responsive Vimentin networks are essential for cell survival under adverse conditions.

Functionally, Vimentin participates in signaling pathways that regulate stress response and cytoskeletal adaptation. The VIM Antibody / Cellular Stress Response Marker Antibody differentiator is central to this antibody, positioning it specifically for studies focused on stress biology rather than adhesion, migration, or developmental processes. A VIM Antibody provides a valuable tool for analyzing cytoskeletal responses to stress and cellular adaptation mechanisms.

Application Notes

Optimal dilution of the VIM Antibody / Cellular Stress Response Marker Antibody should be determined by the researcher.

Immunogen

A portion of amino acids 366-466 was used as the immunogen for the VIM Antibody / Cellular Stress Response Marker Antibody.

Storage

Aliquot the recombinant VIM antibody and store frozen at -20oC or colder. Avoid repeated freeze-thaw cycles.

Alternate Names

Vimentin antibody, VIM antibody, stress response marker antibody, cytoskeletal stress marker antibody, cellular stress adaptation antibody, intermediate filament stress response antibody

Cross
Bulk Quote Request Form
Name*:
Organization*:
Email*:
Phone Number*:
Catalog No.*:
Comments and Specifics(amount, formulation, etc.)*:
Validation code: Captchapackage Image


Can't read the image? click here to refresh.
    *required field

Your bulk quote request has been submitted successfully!

Please contact us if you have any questions.