• Tel: 858.663.9055
  • SeparatorEmail: info@nsjbio.com
  • Tel: 858.663.9055
  • Email: info@nsjbio.com
Home >> Antibodies >> Villin Antibody / Actin-Binding Cytoskeletal Protein Antibody

Villin Antibody / Actin-Binding Cytoskeletal Protein Antibody [clone VIL1/4107R] (V8401)

  Catalog No Formulation Size Price (USD)  
Image V8401-100UG 0.2 mg/ml in 1X PBS with 0.1 mg/ml BSA (US sourced) and 0.05% sodium azide 100 ug 559
Image
V8401-20UG 0.2 mg/ml in 1X PBS with 0.1 mg/ml BSA (US sourced) and 0.05% sodium azide 20 ug 259
Image
V8401SAF-100UG 1 mg/ml in 1X PBS; BSA free, sodium azide free 100 ug 559
Microvalidated Recrabbitmono
Bulk quote request
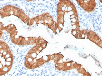
Villin Antibody. Immunohistochemistry analysis of Villin-1 (VIL1) in FFPE human colon using Villin Antibody / Actin-Binding Cytoskeletal Protein Antibody with recombinant rabbit monoclonal clone VIL1/4107R. Strong HRP-DAB brown staining is observed in the apical cytoplasm and membrane of colonic epithelial cells, highlighting regions of active actin filament organization along the luminal surface. The staining pattern is consistent with Villin localization to actin-rich structures and supports its role as an actin-binding cytoskeletal protein involved in filament remodeling within epithelial cells.
Villin Antibody. Immunohistochemistry analysis of Villin-1 (VIL1) in FFPE human colon using Villin Antibody / Actin-Binding Cytoskeletal Protein Antibody with recombinant rabbit monoclonal clone VIL1/4107R. Strong HRP-DAB brown staining is observed in the apical cytoplasm and membrane of colonic epithelial cells, outlining glandular structures with prominent luminal accentuation. The staining highlights actin-rich regions at the apical surface, consistent with Villin function as an actin-binding cytoskeletal protein involved in filament organization and remodeling within epithelial cells.
Availability 1-3 business days
Species Reactivity Human
Format Purified
Host Rabbit
Clonality Recombinant Rabbit Monoclonal
Isotype Rabbit IgG
Clone Name VIL1/4107R
Purity Protein A affinity chromatography
UniProt P09327
Localization Cytoplasmic & Cell surface
Applications Immunohistochemistry (FFPE) : 1-2ug/ml for 30 minutes at RT
Limitations This recombinant Villin antibody is available for research use only.
Review this product on BioCompare and get a $20 Amazon gift card

Related Products

Description

Villin-1 (VIL1) is a calcium-dependent actin-binding protein and a core member of the gelsolin superfamily that functions as a dynamic regulator of actin filament remodeling. Villin Antibody / Actin-Binding Cytoskeletal Protein Antibody (clone VIL1/4107R) is designed to detect this mechanistically active protein, and Villin antibody, also known as Villin-1 antibody or VIL1 antibody, is widely used in studies focused on actin dynamics, filament turnover, and cytoskeletal regulation. As an actin-binding cytoskeletal protein, Villin operates at the level of filament assembly and disassembly rather than serving only as a structural marker, making it particularly relevant for mechanistic cell biology research.

Within the gelsolin family, Villin exhibits multiple actin-regulatory activities including filament severing, capping, nucleation, and bundling, all of which are tightly controlled by intracellular calcium levels. These functions allow Villin to rapidly remodel actin networks in response to signaling events, mechanical stress, or changes in cellular environment. Researchers using a Villin Antibody / Actin-Binding Cytoskeletal Protein Antibody are typically investigating how actin filament architecture is dynamically regulated, how cytoskeletal networks respond to calcium signaling, and how cells reorganize their structure during processes such as migration, differentiation, or stress response.

Structurally, Villin contains six gelsolin-like domains and a C-terminal headpiece domain that provides high-affinity actin binding, enabling precise control over filament organization. This domain architecture allows Villin to switch between actin-severing and actin-stabilizing functions depending on calcium concentration, positioning it as a key molecular regulator of cytoskeletal plasticity. Disruption of Villin activity can alter filament stability, cellular morphology, and mechanical properties, making it a useful target in studies of cytoskeletal remodeling, cell shape regulation, and actin-dependent processes.

This recombinant rabbit monoclonal antibody (clone VIL1/4107R) provides specific recognition of Villin as an actin-binding cytoskeletal protein, supporting consistent detection in studies centered on gelsolin family function and actin remodeling mechanisms. It is well suited for researchers investigating cytoskeletal dynamics, calcium-regulated actin behavior, and the molecular control of filament organization, where Villin serves as a key effector of actin network remodeling.

Application Notes

Optimal dilution of the Villin Antibody / Actin-Binding Cytoskeletal Protein Antibody should be determined by the researcher.

Immunogen

A portion of amino acids 600-700 from the human protein was used as the immunogen for the Villin Antibody / Actin-Binding Cytoskeletal Protein Antibody.

Storage

Store the recombinant Villin antibody at 2-8oC (with azide) or aliquot and store at -20oC or colder (without azide).

Alternate Names

Villin-1 antibody, VIL1 antibody, Villin 1 antibody, Villin antibody

Cross
Bulk Quote Request Form
Name*:
Organization*:
Email*:
Phone Number*:
Catalog No.*:
Comments and Specifics(amount, formulation, etc.)*:
Validation code: Captchapackage Image


Can't read the image? click here to refresh.
    *required field

Your bulk quote request has been submitted successfully!

Please contact us if you have any questions.