• Tel: 858.663.9055
  • SeparatorEmail: info@nsjbio.com
  • Tel: 858.663.9055
  • Email: info@nsjbio.com
Home >> Antibodies >> Villin Antibody / Epithelial Polarity Marker Antibody

Villin Antibody / Epithelial Polarity Marker Antibody [clone VIL1/2310R] (V7497)

  Catalog No Formulation Size Price (USD)  
Image V7497-100UG 0.2 mg/ml in 1X PBS with 0.1 mg/ml BSA (US sourced) and 0.05% sodium azide 100 ug 559
Image
V7497-20UG 0.2 mg/ml in 1X PBS with 0.1 mg/ml BSA (US sourced) and 0.05% sodium azide 20 ug 259
Image
V7497SAF-100UG 1 mg/ml in 1X PBS; BSA free, sodium azide free 100 ug 559
Image
V7497IHC-7ML Prediluted in 1X PBS with 0.1 mg/ml BSA (US sourced) and 0.05% sodium azide; *For IHC use only* 7 ml 559
Microvalidated Recrabbitmono
Bulk quote request
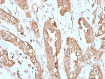
Villin Antibody. Immunohistochemistry analysis of Villin-1 (VIL1) in FFPE human small intestine using Villin Antibody / Epithelial Polarity Marker Antibody with recombinant rabbit monoclonal clone VIL1/2310R. Strong HRP-DAB brown staining is observed along the apical membrane of intestinal epithelial cells, clearly outlining lumen-facing surfaces and emphasizing apical-basal polarity within glandular structures. The predominantly apical membranous pattern highlights organized epithelial polarity and intact lumen formation, consistent with Villin localization as a polarity-defining cytoskeletal protein in absorptive epithelium.
SDS-PAGE analysis of purified, BSA-free Villin Antibody / Epithelial Polarity Marker Antibody (clone VIL1/2310R) as confirmation of integrity and purity.
Species Reactivity Human
Format Purified
Host Rabbit
Clonality Recombinant Rabbit Monoclonal
Isotype Rabbit IgG, kappa
Clone Name VIL1/2310R
Purity Protein A affinity chromatography
UniProt P09327
Localization Cytoplasmic and cell surface
Applications Immunohistochemistry (FFPE) : 0.5-1ug/ml for 30 min at RT
Limitations This recombinant Villin antibody is available for research use only.
Review this product on BioCompare and get a $20 Amazon gift card

Related Products

Description

Villin-1 (VIL1) is a calcium-regulated actin-binding protein that localizes specifically to the apical domain of epithelial cells, where it serves as a key regulator of apical-basal polarity and lumen formation. Villin Antibody / Epithelial Polarity Marker Antibody (clone VIL1/2310R) is designed to detect this polarity-defining protein, and Villin antibody, also known as Villin-1 antibody or VIL1 antibody, is widely used to study epithelial organization and directional cell architecture. As an epithelial polarity marker, Villin is tightly restricted to the lumen-facing membrane, making it a reliable indicator of polarized epithelial structure in tissues such as the intestine and glandular epithelium.

Epithelial polarity requires the establishment of distinct apical and basolateral compartments, and Villin plays a direct structural role in defining the apical domain through regulation of actin filament organization. By controlling actin bundling, severing, and capping at the apical surface, Villin supports the formation of a stable luminal interface and contributes to the development of organized epithelial layers. Researchers using a Villin Antibody / Epithelial Polarity Marker Antibody are typically focused on understanding how cells establish polarity, form lumens, and maintain directional organization within tissues. This polarity-driven positioning clearly differentiates this antibody from other Villin pages centered on brush border structure or general cytoskeletal function.

In polarized epithelial systems, Villin produces a distinct apical staining pattern that directly corresponds to lumen formation and maintenance. Proper localization of Villin is associated with intact epithelial architecture, while mislocalization or loss of apical restriction can indicate polarity defects, disrupted lumen formation, or tumor-associated dedifferentiation. These features make Villin a valuable marker in studies of epithelial morphogenesis, cancer progression, and tissue remodeling, where polarity is a key biological readout. Villin Antibody / Epithelial Polarity Marker Antibody is therefore particularly useful in identifying polarized versus non-polarized cell populations and assessing structural organization at the cellular level.

This recombinant rabbit monoclonal antibody (clone VIL1/2310R) provides targeted recognition of Villin as an epithelial polarity marker, supporting consistent detection of apical cytoskeletal organization and lumen-associated structures. It is well suited for research focused on apical-basal polarity, lumen formation, and epithelial architecture, where precise identification of polarity-regulating proteins is essential.

Application Notes

The stated application concentrations are suggested starting points. Titration of the Villin Antibody / Epithelial Polarity Marker Antibody may be required due to differences in protocols and secondary/substrate sensitivity.

1. The prediluted format is supplied in a dropper bottle and is optimized for use in IHC. After epitope retrieval step (if required), drip mAb solution onto the tissue section and incubate at RT for 30 min.

Immunogen

Amino acids 179-311 from the human protein were used as the immunogen for this Villin Antibody / Epithelial Polarity Marker Antibody.

Storage

Store the recombinant Villin antibody at 2-8oC (with azide) or aliquot and store at -20oC or colder (without azide).

Alternate Names

Villin-1 antibody, VIL1 antibody, Villin 1 antibody, Villin antibody

Cross
Bulk Quote Request Form
Name*:
Organization*:
Email*:
Phone Number*:
Catalog No.*:
Comments and Specifics(amount, formulation, etc.)*:
Validation code: Captchapackage Image


Can't read the image? click here to refresh.
    *required field

Your bulk quote request has been submitted successfully!

Please contact us if you have any questions.