• Tel: 858.663.9055
  • SeparatorEmail: info@nsjbio.com
  • Tel: 858.663.9055
  • Email: info@nsjbio.com
Home >> Antibodies >> Uroplakin 1B Antibody / Urothelial Apical Surface Protein Antibody

Uroplakin 1B Antibody / Urothelial Apical Surface Protein Antibody [clone UPK1B/9258R] (V5386)

  Catalog No Formulation Size Price (USD)  
Image V5386-100UG 0.2 mg/ml in 1X PBS with 0.1 mg/ml BSA (US sourced), 0.05% sodium azide 100 ug 559
Image
V5386-20UG 0.2 mg/ml in 1X PBS with 0.1 mg/ml BSA (US sourced), 0.05% sodium azide 20 ug 259
Image
V5386SAF-100UG 1 mg/ml in 1X PBS; BSA free, sodium azide free 100 ug 559
Microvalidated Recrabbitmono
Bulk quote request
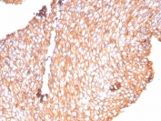
Uroplakin 1B Antibody immunohistochemistry analysis of Uroplakin 1B / UPK1B antibody in human bladder carcinoma tissue using clone UPK1B/9258R. FFPE sections show strong HRP-DAB brown membranous staining in tumor epithelial cells with prominent luminal surface accentuation, outlining apical cell borders consistent with polarized urothelial architecture. This Urothelial Apical Surface Protein Antibody highlights the luminal-facing membrane localization of UPK1B in urothelial tumor cells. Inset: PBS used in place of primary antibody shows no staining (negative control). HIER: boil tissue sections in pH 9 10mM Tris with 1mM EDTA for 20 minutes followed by cooling prior to staining.
Uroplakin 1B Antibody immunohistochemistry analysis of Uroplakin 1B / UPK1B antibody in human bladder carcinoma tissue using clone UPK1B/9258R. FFPE sections demonstrate strong HRP-DAB brown membranous staining in tumor epithelial cells with clear luminal surface accentuation and polarized cell border definition, consistent with apical membrane localization in urothelial cells. This Urothelial Apical Surface Protein Antibody highlights the characteristic luminal-facing distribution of UPK1B within urothelial tumor epithelium. HIER: boil tissue sections in pH 9 10mM Tris with 1mM EDTA for 20 minutes followed by cooling prior to staining.
Availability 1-3 business days
Species Reactivity Human
Format Purified
Host Rabbit
Clonality Recombinant Rabbit Monoclonal
Isotype Rabbit IgG, kappa
Clone Name UPK1B/9258R
Purity Protein A/G affinity
UniProt O75841
Localization Membrane
Applications Immunohistochemistry (FFPE) : 1-2ug/ml
Limitations This recombinant Uroplakin 1B antibody is available for research use only.
Review this product on BioCompare and get a $20 Amazon gift card

Related Products

Description

Uroplakin 1B (UPK1B) is a transmembrane protein encoded by the UPK1B gene that is specifically concentrated at the luminal-facing apical surface of urothelial umbrella cells, defining the interface between urine and epithelial tissue. Uroplakin 1B Antibody / Urothelial Apical Surface Protein Antibody (clone UPK1B/9258R) recognizes this protein in the context of apical membrane polarity, where it is commonly referred to as Uroplakin 1B antibody or UP1B antibody in the literature. This Urothelial Apical Surface Protein Antibody highlights UPK1B as a luminal surface-restricted protein enriched at the topmost layer of urothelial cells. As a Urothelial Apical Surface Protein Antibody, it emphasizes directional membrane polarity and luminal surface identity rather than broader roles in differentiation, plaque structure, or barrier function.

UPK1B is highly polarized within urothelial epithelial cells, with strong enrichment at the apical plasma membrane of umbrella cells and minimal presence at basolateral surfaces. This distinct distribution defines a specialized luminal domain that is essential for maintaining proper epithelial organization and surface compartmentalization. This Urothelial Apical Surface Protein Antibody is particularly suited for studies focused on epithelial polarity, luminal membrane mapping, and apical surface protein localization. By emphasizing polarized surface distribution, this page is clearly differentiated from UPK1B antibody formats centered on structural plaque assembly or membrane organization.

The luminal localization of UPK1B reflects its integration into specialized apical membrane regions that interface directly with the urinary environment. This positioning supports surface-level interactions and contributes to the characteristic morphology of urothelial umbrella cells. This Urothelial Apical Surface Protein Antibody reinforces the concept of UPK1B as a spatial marker of apical membrane identity, distinguishing it from antibody formats focused on intracellular organization or epithelial barrier regulation.

UPK1B expression is largely restricted to urothelial tissues including bladder, ureter, and renal pelvis, with localization concentrated at the apical surface of superficial epithelial cells. Staining is typically observed as strong membranous labeling along luminal cell borders, consistent with its polarized distribution pattern. Clone UPK1B/9258R antibody provides consistent recognition of UPK1B, and the recombinant monoclonal antibody format supports reproducible detection of this urothelial apical surface protein in studies focused on epithelial polarity and luminal membrane architecture.

Application Notes

Optimal dilution of the Uroplakin 1B Antibody / Urothelial Apical Surface Protein Antibodyy should be determined by the researcher.

Immunogen

A recombinant fragment (within amino acids 109-229) of human Uroplakin 1B/UPK1B protein was used as the immunogen for the Uroplakin 1B Antibody / Urothelial Apical Surface Protein Antibody.

Storage

Aliquot the recombinant Uroplakin 1B antibody and store frozen at -20oC or colder. Avoid repeated freeze-thaw cycles.

Alternate Names

Uroplakin 1B antibody, UP1B antibody, Tspan20 antibody, Urothelial apical surface protein antibody

Cross
Bulk Quote Request Form
Name*:
Organization*:
Email*:
Phone Number*:
Catalog No.*:
Comments and Specifics(amount, formulation, etc.)*:
Validation code: Captchapackage Image


Can't read the image? click here to refresh.
    *required field

Your bulk quote request has been submitted successfully!

Please contact us if you have any questions.