• Tel: 858.663.9055
  • SeparatorEmail: info@nsjbio.com
  • Tel: 858.663.9055
  • Email: info@nsjbio.com
Home >> Antibodies >> Recombinant TRP1 Antibody / Tyrosinase Related Protein 1 / TYRP1

Recombinant TRP1 Antibody / Tyrosinase Related Protein 1 / TYRP1 [clone TYRP1/2340R] (V3585)

  Catalog No Formulation Size Price (USD)  
Image V3585-100UG 0.2 mg/ml in 1X PBS with 0.1 mg/ml BSA (US sourced) and 0.05% sodium azide 100 ug 559
Image
V3585-20UG 0.2 mg/ml in 1X PBS with 0.1 mg/ml BSA (US sourced) and 0.05% sodium azide 20 ug 259
Image
V3585SAF-100UG 1 mg/ml in 1X PBS; BSA free, sodium azide free 100 ug 559
Image
V3585IHC-7ML Prediluted in 1X PBS with 0.1 mg/ml BSA (US sourced) and 0.05% sodium azide; *For IHC use only* 7 ml 559
Microvalidated Recrabbitmono
Bulk quote request
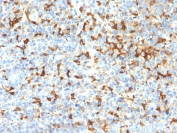
IHC testing of FFPE human basal cell carcinoma with recombinant TRP1 antibody (clone TYPR1/2340R). Required HIER: boil tissue sections in pH 9 10mM Tris with 1mM EDTA for 10-20 min followed by cooling at RT for 20 min.
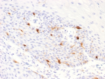
IHC testing of FFPE human melanoma with recombinant TRP1 antibody (clone TYPR1/2340R). Required HIER: boil tissue sections in pH 9 10mM Tris with 1mM EDTA for 10-20 min followed by cooling at RT for 20 min.
IHC testing of FFPE human melanoma with recombinant TRP1 antibody (clone TYPR1/2340R). Required HIER: boil tissue sections in pH 9 10mM Tris with 1mM EDTA for 10-20 min followed by cooling at RT for 20 min.
SDS-PAGE analysis of purified, BSA-free recombinant TRP1 antibody (clone TYRP1/2340R) as confirmation of integrity and purity.
Availability 1-3 business days
Species Reactivity Human
Format Purified
Host Rabbit
Clonality Recombinant Rabbit Monoclonal
Isotype Rabbit IgG, kappa
Clone Name TYRP1/2340R
Purity Protein A affinity chromatography
UniProt P17643
Localization Cytoplasmic
Applications ELISA : 2-4ug/ml (order BSA/azide-free format)
Immunohistochemistry (FFPE) : 1-2ug/ml for 30 min at RT
Limitations This recombinant TRP1 antibody is available for research use only.
Review this product on BioCompare and get a $20 Amazon gift card

Related Products

Description

Tyrosinase-Related Protein-1 / TYRP1 / TRP1 is involved in melanin synthesis. It is present on the melanosomal membranes of melanoma, normal melanocytes and nevi. Recent evidence suggests that TRP1 is involved in maintaining stability of tyrosinase protein and modulating its catalytic activity. It is also involved in maintenance of melanosome ultrastructure and affects melanocyte proliferation and cell death.

Application Notes

The optimal dilution of the recombinant TRP1 antibody for each application should be determined by the researcher.

1. The prediluted format is supplied in a dropper bottle and is optimized for use in IHC. After epitope retrieval step (if required), drip mAb solution onto the tissue section and incubate at RT for 30 min.

Immunogen

A portion of amino acids 257-377 was used as the immunogen for this recombinant TRP1 antibody.

Storage

Store the recombinant TRP1 antibody at 2-8oC (with azide) or aliquot and store at -20oC or colder (without azide).

Cross
Bulk Quote Request Form
Name*:
Organization*:
Email*:
Phone Number*:
Catalog No.*:
Comments and Specifics(amount, formulation, etc.)*:
Validation code: Captchapackage Image


Can't read the image? click here to refresh.
    *required field

Your bulk quote request has been submitted successfully!

Please contact us if you have any questions.