• Tel: 858.663.9055
  • SeparatorEmail: info@nsjbio.com
  • Tel: 858.663.9055
  • Email: info@nsjbio.com
Home >> Antibodies >> TP53 Antibody / Tumor Protein 53

TP53 Antibody / Tumor Protein 53 [clone rTP53/8993] (V4456)

  Catalog No Formulation Size Price (USD)  
Image V4456-100UG 0.2 mg/ml in 1X PBS with 0.1 mg/ml BSA (US sourced), 0.05% sodium azide 100 ug 559
Image
V4456-20UG 0.2 mg/ml in 1X PBS with 0.1 mg/ml BSA (US sourced), 0.05% sodium azide 20 ug 259
Image
V4456SAF-100UG 1 mg/ml in 1X PBS; BSA free, sodium azide free 100 ug 559
Microvalidated Recmousemono
Bulk quote request
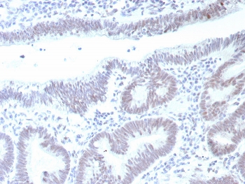
Immunohistochemistry analysis of TP53 / Tumor Protein 53 antibody in human colon carcinoma tissue (clone rTP53/8993). FFPE colon carcinoma sections demonstrate strong HRP-DAB brown nuclear staining in malignant epithelial cells lining glandular structures, consistent with nuclear accumulation of p53 protein in neoplastic cells. The staining pattern is predominantly nuclear with minimal cytoplasmic background and limited stromal signal. Adjacent non-neoplastic elements show weaker or absent staining by comparison. This nuclear localization aligns with the role of Tumor protein 53 as a transcription factor regulating cell cycle control and DNA damage responses. Heat induced epitope retrieval was performed by boiling tissue sections in pH 9 10mM Tris with 1mM EDTA for 20 minutes followed by cooling prior to primary antibody incubation.
SDS-PAGE analysis of purified, BSA-free recombinant TP53 antibody (clone rTP53/8993) as confirmation of integrity and purity.
Availability 1-3 business days
Species Reactivity Human
Format Purified
Host Mouse
Clonality Recombinant Mouse Monoclonal
Isotype Mouse IgG1, kappa
Clone Name rTP53/8993
Purity Protein A/G affinity
UniProt P04637
Localization Nucleus
Applications Immunohistochemistry (FFPE) : 1-2ug/ml for 30 minutes at RT
Limitations This TP53/Tumor Protein 53 antibody is available for research use only.
Review this product on BioCompare and get a $20 Amazon gift card

Related Products

Description

TP53 antibody recognizes Tumor protein 53, a nuclear transcription factor encoded by the TP53 gene and widely known as p53, one of the most important tumor suppressors in human biology. Tumor protein 53 plays a central role in preserving genomic integrity by regulating genes involved in cell cycle arrest, DNA repair, apoptosis, and cellular senescence. Under normal physiological conditions, p53 protein levels are maintained at low abundance through MDM2 mediated ubiquitination and proteasomal degradation, allowing normal cell proliferation and tissue homeostasis.

Upon exposure to cellular stress such as DNA damage, oncogene activation, hypoxia, or oxidative stress, p53 becomes stabilized through post translational modifications including phosphorylation and acetylation. Stabilized p53 accumulates in the nucleus, where it binds to specific DNA response elements and activates transcription of target genes including CDKN1A, BAX, and PUMA. Through these downstream pathways, Tumor protein 53 halts cell cycle progression to permit DNA repair or triggers apoptosis when genomic damage is irreparable. This checkpoint function is critical for preventing the expansion of genetically unstable cells and suppressing tumor formation.

Mutations in TP53 represent one of the most frequent genetic alterations in human cancers. Many tumor associated mutations lead to expression of a stable but dysfunctional p53 protein that accumulates within the nucleus, often resulting in strong nuclear immunoreactivity in malignant tissues. In addition to loss of tumor suppressive activity, certain mutant forms of p53 may acquire gain of function properties that contribute to tumor progression, invasion, and resistance to therapy. Because of its pivotal role in oncogenesis, TP53 antibody is widely used in research and diagnostic studies focused on cancer biology and tumor classification.

Tumor protein 53 is predominantly localized to the nucleus, consistent with its function as a transcription factor, although cytoplasmic staining may be observed depending on mutation status and cellular context. The recombinant mouse monoclonal antibody clone rTP53/8993 is designed to detect p53 protein expression in research applications evaluating DNA damage responses and tumor suppressor pathways. As a recombinant monoclonal antibody, clone rTP53/8993 supports consistent detection of TP53 in normal and neoplastic tissues.

Application Notes

Optimal dilution of the TP53/Tumor Protein 53 antibody should be determined by the researcher.

Immunogen

Recombinant human full-length protein was used as the immunogen for the TP53/Tumor Protein 53 antibody.

Storage

Aliquot the TP53/Tumor Protein 53 antibody and store frozen at -20oC or colder. Avoid repeated freeze-thaw cycles.

Cross
Bulk Quote Request Form
Name*:
Organization*:
Email*:
Phone Number*:
Catalog No.*:
Comments and Specifics(amount, formulation, etc.)*:
Validation code: Captchapackage Image


Can't read the image? click here to refresh.
    *required field

Your bulk quote request has been submitted successfully!

Please contact us if you have any questions.