• Tel: 858.663.9055
  • SeparatorEmail: info@nsjbio.com
  • Tel: 858.663.9055
  • Email: info@nsjbio.com
Home >> Antibodies >> TP53 Antibody / Cell Cycle Checkpoint Protein Antibody

TP53 Antibody / Cell Cycle Checkpoint Protein Antibody [clone rTP53/8063] (V4455)

  Catalog No Formulation Size Price (USD)  
Image V4455-100UG 0.2 mg/ml in 1X PBS with 0.1 mg/ml BSA (US sourced), 0.05% sodium azide 100 ug 559
Image
V4455-20UG 0.2 mg/ml in 1X PBS with 0.1 mg/ml BSA (US sourced), 0.05% sodium azide 20 ug 259
Image
V4455SAF-100UG 1 mg/ml in 1X PBS; BSA free, sodium azide free 100 ug 559
Microvalidated Recmousemono
Bulk quote request
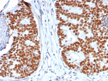
TP53 Antibody / Cell Cycle Checkpoint Protein Antibody immunohistochemistry of human colon carcinoma. Formalin-fixed, paraffin-embedded human colon carcinoma tissue was stained using recombinant mouse monoclonal antibody clone rTP53/8063. Strong HRP-DAB brown nuclear staining is observed in tumor epithelial cells, consistent with nuclear localization of the TP53 cell cycle checkpoint protein p53. Hematoxylin counterstain provides nuclear contrast. Antigen retrieval was performed by boiling tissue sections in pH 9 10mM Tris with 1mM EDTA for 20 min followed by cooling prior to staining.
Availability 1-3 business days
Species Reactivity Human
Format Purified
Host Mouse
Clonality Recombinant Mouse Monoclonal
Isotype Mouse IgG1, kappa
Clone Name rTP53/8063
Purity Protein A/G affinity
UniProt P04637
Localization Nucleus
Applications Immunohistochemistry (FFPE) : 1-2ug/ml for 30 minutes at RT
Limitations This TP53 antibody is available for research use only.
Review this product on BioCompare and get a $20 Amazon gift card

Related Products

Description

Tumor protein p53 (TP53) is a nuclear transcription factor that functions as a central cell cycle checkpoint protein in mammalian cells. Acting as a genomic surveillance factor, p53 monitors DNA integrity and activates transcriptional programs that halt cell cycle progression when genomic damage is detected. The TP53 Antibody / Cell Cycle Checkpoint Protein Antibody detects this key cell cycle checkpoint protein, widely known as p53, which enforces checkpoint control at critical stages of the cell cycle to prevent replication of damaged DNA.

TP53 antibody, also referred to as p53 antibody or Tumor protein p53 antibody in the literature, targets a protein that serves as one of the most important cell cycle checkpoint proteins in the DNA damage response network. Under normal physiological conditions the cell cycle checkpoint protein p53 is maintained at low levels through continuous ubiquitin-mediated degradation primarily driven by the E3 ubiquitin ligase MDM2. When cells encounter genotoxic stress such as DNA damage, oncogene activation, replication errors, or oxidative stress, stabilization of the cell cycle checkpoint protein allows rapid nuclear accumulation where it initiates checkpoint signaling pathways.

Once activated, the cell cycle checkpoint protein p53 functions as a sequence-specific transcription factor that regulates genes responsible for checkpoint enforcement. One of the most important transcriptional targets of the cell cycle checkpoint protein is CDKN1A (p21), a cyclin-dependent kinase inhibitor that blocks cyclin-CDK complexes and prevents progression through the G1/S and G2/M cell cycle transitions. Through induction of p21 and related regulators, the cell cycle checkpoint protein p53 establishes protective arrest points that allow cells time to repair damaged DNA before replication or mitosis proceeds.

These checkpoint mechanisms play a critical role in maintaining genomic stability by preventing replication of damaged DNA and limiting propagation of mutations. If genomic damage persists despite checkpoint activation, the cell cycle checkpoint protein p53 can redirect cellular signaling toward apoptosis through induction of pro-apoptotic genes such as BAX, PUMA, and NOXA. In this way p53 integrates checkpoint control with apoptosis pathways to eliminate genetically compromised cells.

Loss of TP53 cell cycle checkpoint protein function is one of the most frequent molecular events in human cancer. Mutations affecting the TP53 gene disrupt checkpoint signaling pathways and allow cells to bypass cell cycle arrest despite genomic damage. In many tumors mutant forms of the checkpoint protein accumulate within the nucleus due to impaired degradation mechanisms, producing elevated p53 protein levels that are frequently detected in cancer tissues.

A recombinant mouse monoclonal TP53 antibody such as clone rTP53/8063 is suitable for detecting the p53 cell cycle checkpoint protein in studies examining checkpoint signaling networks, cell cycle regulation mechanisms, and molecular pathways that maintain genomic integrity.

Application Notes

Optimal dilution of the TP53 Antibody / Cell Cycle Checkpoint Protein Antibody should be determined by the researcher.

Immunogen

Recombinant full-length human protein was used as the immunogen for the TP53 Antibody / Cell Cycle Checkpoint Protein Antibody.

Storage

Aliquot the recombinant TP53 antibody and store frozen at -20oC or colder. Avoid repeated freeze-thaw cycles.

Alternate Names

p53 antibody, Tumor protein p53 antibody, Cellular tumor antigen p53 antibody, Phosphoprotein p53 antibody, Transformation related protein 53 antibody

Cross
Bulk Quote Request Form
Name*:
Organization*:
Email*:
Phone Number*:
Catalog No.*:
Comments and Specifics(amount, formulation, etc.)*:
Validation code: Captchapackage Image


Can't read the image? click here to refresh.
    *required field

Your bulk quote request has been submitted successfully!

Please contact us if you have any questions.