• Tel: 858.663.9055
  • SeparatorEmail: info@nsjbio.com
  • Tel: 858.663.9055
  • Email: info@nsjbio.com
Home >> Antibodies >> Topoisomerase II alpha Antibody / Mitotic Chromosome Enzyme Antibody

Topoisomerase II alpha Antibody / Mitotic Chromosome Enzyme Antibody [clone TOP2A/6570R] (V9310)

  Catalog No Formulation Size Price (USD)  
Image V9310-100UG 0.2 mg/ml in 1X PBS with 0.1 mg/ml BSA (US sourced), 0.05% sodium azide 100 ug 559
Image
V9310-20UG 0.2 mg/ml in 1X PBS with 0.1 mg/ml BSA (US sourced), 0.05% sodium azide 20 ug 259
Image
V9310SAF-100UG 1 mg/ml in 1X PBS; BSA free, sodium azide free 100 ug 559
Microvalidated Recrabbitmono
Bulk quote request
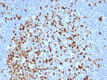
Topoisomerase II alpha Antibody / Mitotic Chromosome Enzyme Antibody (clone TOP2A/6570R). Immunohistochemistry analysis of FFPE human lymph node tissue demonstrates strong nuclear staining of DNA Topoisomerase II alpha in proliferating lymphoid cells. Nuclear immunoreactivity is enriched within germinal center lymphocytes, reflecting the high mitotic activity of these cells where mitotic chromosome condensation and structural organization are actively occurring. As a Mitotic Chromosome Enzyme Antibody, clone TOP2A/6570R highlights cells undergoing mitosis in which DNA Topoisomerase II alpha supports chromosome condensation and mitotic chromosome architecture required for accurate cell division. HIER: boil tissue sections in pH 9 Tris-EDTA buffer for 20 min followed by cooling at RT prior to immunohistochemistry staining.
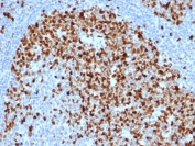
Topoisomerase II alpha Antibody / Mitotic Chromosome Enzyme Antibody (clone TOP2A/6570R). Immunohistochemistry analysis of FFPE human tonsil tissue demonstrates strong nuclear staining of DNA Topoisomerase II alpha in proliferating lymphoid cells. Nuclear immunoreactivity is most prominent within germinal center lymphocytes, reflecting the elevated mitotic activity of these cells where mitotic chromosome condensation and organization are actively occurring. As a Mitotic Chromosome Enzyme Antibody, clone TOP2A/6570R highlights cells undergoing mitosis in which DNA Topoisomerase II alpha supports mitotic chromosome architecture and chromosome condensation required for accurate cell division. HIER: boil tissue sections in pH 9 Tris-EDTA buffer for 20 min followed by cooling at RT prior to immunohistochemistry staining.
Negative control: IHC staining of FFPE human brain tissue using recombinant Topoisomerase II alpha antibody (clone TOP2A/6570R) at 2ug/ml in PBS for 30min RT. HIER: boil tissue sections in pH 9 10mM Tris with 1mM EDTA for 20 min and allow to cool before testing.
Topoisomerase II alpha Antibody / Mitotic Chromosome Enzyme Antibody (clone TOP2A/6570R). Western blot analysis of human cell lysates demonstrates detection of DNA Topoisomerase II alpha following SDS-PAGE separation and membrane transfer. Lane 1: HeLa cell lysate. Lane 2: Jurkat cell lysate. A band is detected at approximately 170-180 kDa, consistent with the predicted molecular weight of DNA Topoisomerase II alpha / TOP2A (~174 kDa). The detected protein corresponds to the mitotic chromosome enzyme responsible for regulating DNA topology during chromosome condensation and mitotic chromosome organization. Detection of the denatured TOP2A protein band supports the use of this Mitotic Chromosome Enzyme Antibody for western blot analysis of this mitotic chromosome regulatory enzyme in human cell lysates.
SDS-PAGE analysis of purified, BSA-free recombinant Topoisomerase II alpha antibody (clone TOP2A/6570R) as confirmation of integrity and purity.
Availability 1-3 business days
Species Reactivity Human
Format Purified
Host Rabbit
Clonality Recombinant Rabbit Monoclonal
Isotype Rabbit IgG
Clone Name TOP2A/6570R
Purity Protein A/G affinity
UniProt P11388
Localization Nuclear
Applications Western Blot : 2-4ug/ml
Immunohistochemistry (FFPE) : 1-2ug/ml
Limitations This recombinant Topoisomerase II alpha antibody is available for research use only.
Review this product on BioCompare and get a $20 Amazon gift card

Related Products

Description

DNA Topoisomerase II alpha (TOP2A) is a nuclear enzyme that regulates DNA topology during chromosome condensation and mitotic chromosome organization. The protein belongs to the type II topoisomerase family and functions by introducing transient double strand DNA breaks that allow one DNA helix to pass through another, relieving torsional stress generated during chromatin compaction. This activity is especially important during mitosis when chromosomes undergo dramatic structural changes as they condense and prepare for segregation.

Topoisomerase II alpha Antibody / Mitotic Chromosome Enzyme Antibody (clone 7153-RBM5) recognizes the TOP2A protein, a nuclear enzyme widely known for its critical function in mitotic chromosome organization. TOP2A antibody, also referred to as DNA Topoisomerase II alpha antibody or TOP2A antibody, detects an enzyme whose expression rises sharply as cells approach mitosis. During the G2/M transition, DNA Topoisomerase II alpha becomes highly active as chromosomes condense into the compact mitotic structures required for proper chromosome alignment and spindle attachment.

As a Mitotic Chromosome Enzyme Antibody, clone 7153-RBM5 supports research focused specifically on mitotic chromosome architecture. During mitosis, chromosomes must be highly condensed and structurally organized to allow accurate alignment along the metaphase plate and subsequent separation during anaphase. DNA Topoisomerase II alpha contributes to this process by resolving DNA entanglements that accumulate as chromosomes compact into mitotic chromosomes.

The designation Mitotic Chromosome Enzyme Antibody differentiates this antibody page from other Topoisomerase II alpha antibody pages that emphasize different biological roles of the protein. While some TOP2A antibodies highlight the enzyme as a DNA replication enzyme, chromosome segregation enzyme, or cell cycle regulator, this page specifically emphasizes the enzyme's role in mitotic chromosome condensation and mitotic chromosome structure. Structuring antibody pages around distinct biological functions such as mitotic chromosome regulation is a powerful differentiation strategy used by antibody vendors to ensure multiple antibodies targeting the same protein are interpreted by search engines as separate research reagents rather than duplicate content.

During mitosis, chromosomes transition from relatively extended chromatin fibers into highly compact mitotic chromosomes that can be accurately distributed to daughter cells. DNA Topoisomerase II alpha is essential for this transformation because it resolves DNA supercoiling and structural constraints generated during chromosome condensation. Antibodies recognizing this mitotic chromosome enzyme therefore support studies investigating mitotic chromosome structure, chromosome condensation mechanisms, and molecular processes controlling mitotic chromosome dynamics during cell division.

Application Notes

Optimal dilution of the Topoisomerase II alpha Antibody / Mitotic Chromosome Enzyme Antibody should be determined by the researcher.

Immunogen

A portion of amino acids 1352-1493 was used as the immunogen for the Topoisomerase II alpha Antibody / Mitotic Chromosome Enzyme Antibody.

Storage

Aliquot the recombinant Topoisomerase II alpha antibody and store frozen at -20oC or colder. Avoid repeated freeze-thaw cycles.

Alternate Names

TOP2A antibody, DNA Topoisomerase II alpha antibody, Topoisomerase IIa antibody, Topo II alpha antibody, Mitotic chromosome decatenation enzyme antibody

Cross
Bulk Quote Request Form
Name*:
Organization*:
Email*:
Phone Number*:
Catalog No.*:
Comments and Specifics(amount, formulation, etc.)*:
Validation code: Captchapackage Image


Can't read the image? click here to refresh.
    *required field

Your bulk quote request has been submitted successfully!

Please contact us if you have any questions.