• Tel: 858.663.9055
  • SeparatorEmail: info@nsjbio.com
  • Tel: 858.663.9055
  • Email: info@nsjbio.com
Home >> Antibodies >> Synaptophysin Antibody Microarray Specificity Validated Clone SYP/4389R / SYP Microarray Specificity Validated Antibody

Synaptophysin Antibody Microarray Specificity Validated Clone SYP/4389R / SYP Microarray Specificity Validated Antibody [clone SYP/4389R] (V9165)

  Catalog No Formulation Size Price (USD)  
Image V9165-100UG 0.2 mg/ml in 1X PBS with 0.1 mg/ml BSA (US sourced), 0.05% sodium azide 100 ug 559
Image
V9165-20UG 0.2 mg/ml in 1X PBS with 0.1 mg/ml BSA (US sourced), 0.05% sodium azide 20 ug 259
Image
V9165SAF-100UG 1 mg/ml in 1X PBS; BSA free, sodium azide free 100 ug 559
Microvalidated Recrabbitmono
Bulk quote request
Synaptophysin Antibody Microarray Specificity Validated Clone SYP/4389R. Protein microarray specificity validation using the HuProt(TM) human protein microarray platform containing more than 19,000 full-length human proteins demonstrates selective recognition of the Synaptophysin / SYP target by monoclonal antibody clone SYP/4389R. Signal ranking analysis identifies SYP as the top-ranked protein on the array with a strong Z-score signal compared with other proteins tested, indicating preferential binding of the antibody to Synaptophysin. Additional proteins such as CD47 and FBXO2 show substantially lower signal intensity, further supporting the high specificity of this microarray specificity validated antibody. In HuProt(TM) microarray analysis, the Z-score represents the strength of antibody binding signal relative to the overall signal distribution on the array, expressed as standard deviations above the mean signal intensity. Targets are ranked according to their Z-scores, and the S-score represents the difference between consecutive Z-scores in the ranked list. The S-score therefore reflects the relative target specificity of the antibody for its intended antigen. The strong enrichment of the Synaptophysin signal and the clear separation from subsequent ranked proteins demonstrate the specificity of Synaptophysin Antibody Microarray Specificity Validated Clone SYP/4389R for the Synaptophysin protein during large-scale protein microarray screening.
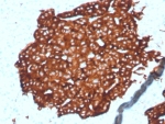
Synaptophysin Antibody Microarray Specificity Validated Clone SYP/4389R. Immunohistochemistry analysis of FFPE human pancreatic tissue using Synaptophysin Antibody Microarray Specificity Validated Clone SYP/4389R. The monoclonal antibody clone SYP/4389R produces strong cytoplasmic staining in pancreatic islet cells consistent with Synaptophysin / SYP expression in neuroendocrine cells. Synaptophysin is a synaptic vesicle membrane glycoprotein widely used as a marker of neuroendocrine differentiation, and the observed granular cytoplasmic staining pattern aligns with the known localization of SYP within synaptic vesicles. Microarray specificity validation of clone SYP/4389R supports selective target recognition, helping confirm specific detection of Synaptophysin protein in immunohistochemistry analysis of formalin-fixed paraffin-embedded pancreatic tissue.
Availability 1-3 business days
Species Reactivity Human
Format Purified
Host Rabbit
Clonality Recombinant Rabbit Monoclonal
Isotype Rabbit IgG
Clone Name SYP/4389R
Purity Protein A/G affinity
UniProt P08247
Localization Cytoplasmic
Applications Immunohistochemistry (FFPE) : 1-2ug/ml
Limitations This Synaptophysin antibody is available for research use only.
Review this product on BioCompare and get a $20 Amazon gift card

Related Products

Description

Synaptophysin (SYP) is an integral membrane glycoprotein of synaptic vesicles widely expressed in neurons and neuroendocrine cells where it participates in synaptic vesicle formation, trafficking, and neurotransmitter release. Synaptophysin Antibody Microarray Specificity Validated Clone SYP/4389R is developed for detection of the Synaptophysin protein and incorporates microarray specificity validation to support highly selective target recognition. Synaptophysin is one of the most widely used molecular markers of neuronal and neuroendocrine differentiation, and detection of SYP protein is commonly used to identify cells containing synaptic vesicles characteristic of neurons and neuroendocrine lineages.

Synaptophysin Antibody Microarray Specificity Validated Clone SYP/4389R recognizes the Synaptophysin protein, also referred to as SYP antibody or synaptic vesicle glycoprotein antibody in the literature. Synaptophysin is localized primarily to the membranes of presynaptic vesicles where it contributes to vesicle organization and synaptic transmission processes associated with neurotransmitter release. Because of its strong expression in neuronal tissues and neuroendocrine cells, Synaptophysin has become an important biomarker used in studies investigating neuronal differentiation and neuroendocrine tumor cell populations.

Microarray specificity validation provides a powerful strategy for evaluating antibody selectivity by screening antibody binding across very large panels of proteins. In protein microarray experiments, antibodies are tested against arrays containing thousands of recombinant human proteins, allowing researchers to assess target recognition and identify potential cross-reactivity events. The microarray specificity validated Synaptophysin antibody clone SYP/4389R therefore benefits from large scale screening designed to confirm selective recognition of the Synaptophysin protein while minimizing unintended interactions with unrelated proteins.

Large scale protein microarray screening has become an increasingly important method for antibody validation because it allows simultaneous assessment of antibody binding across extensive protein panels. This approach complements traditional antibody characterization strategies by providing a broader evaluation of antibody selectivity. Microarray specificity validated antibodies therefore provide an additional level of confidence for researchers seeking reagents capable of selectively detecting proteins such as Synaptophysin in biological samples.

Synaptophysin protein expression is strongly associated with neuronal tissues including brain and peripheral nervous system structures, as well as neuroendocrine cells present in organs such as pancreas, lung, and gastrointestinal tract. Because of this characteristic expression pattern, Synaptophysin antibodies are widely used as markers for neuronal lineage identification and neuroendocrine differentiation. Synaptophysin Antibody Microarray Specificity Validated Clone SYP/4389R therefore provides a monoclonal antibody reagent supported by microarray specificity validation for studies investigating synaptic vesicle proteins, neuronal cell markers, and neuroendocrine protein expression.

Application Notes

Optimal dilution of the Synaptophysin Antibody Microarray Specificity Validated Clone SYP/4389R antibody should be determined by the researcher.

Immunogen

A portion of amino acids 274-313 was used as the immunogen for the recombinant Synaptophysin antibody.

Storage

Aliquot the recombinant Synaptophysin antibody and store frozen at -20oC or colder. Avoid repeated freeze-thaw cycles.

Alternate Names

SYP antibody, Synaptophysin antibody, Synaptic vesicle glycoprotein antibody, Major synaptic vesicle protein p38 antibody

Cross
Bulk Quote Request Form
Name*:
Organization*:
Email*:
Phone Number*:
Catalog No.*:
Comments and Specifics(amount, formulation, etc.)*:
Validation code: Captchapackage Image


Can't read the image? click here to refresh.
    *required field

Your bulk quote request has been submitted successfully!

Please contact us if you have any questions.