• Tel: 858.663.9055
  • SeparatorEmail: info@nsjbio.com
  • Tel: 858.663.9055
  • Email: info@nsjbio.com
Home >> Antibodies >> Recombinant STMN1 Antibody / Stathmin 1

Recombinant STMN1 Antibody / Stathmin 1 [clone rSTMN1/9255] (V5504)

  Catalog No Formulation Size Price (USD)  
Image V5504-100UG 0.2 mg/ml in 1X PBS with 0.1 mg/ml BSA (US sourced), 0.05% sodium azide 100 ug 559
Image
V5504-20UG 0.2 mg/ml in 1X PBS with 0.1 mg/ml BSA (US sourced), 0.05% sodium azide 20 ug 259
Image
V5504SAF-100UG 1 mg/ml in 1X PBS; BSA free, sodium azide free 100 ug 559
Microvalidated Recmousemono
Bulk quote request
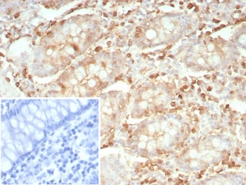
IHC staining of FFPE human colon carcinoma tissue with recombinant STMN1 antibody (clone rSTMN1/9255). Inset: PBS used in place of primary Ab (secondary Ab negative control). HIER: boil tissue sections in pH 9 10mM Tris with 1mM EDTA for 20 min and allow to cool before testing.
SDS-PAGE analysis of purified, BSA-free recombinant STMN1 antibody (clone rSTMN1/9255) as confirmation of integrity and purity.
Availability 1-3 business days
Species Reactivity Human
Format Purified
Host Mouse
Clonality Recombinant Mouse Monoclonal
Isotype Mouse IgG2b, kappa
Clone Name rSTMN1/9255
Purity Protein A/G affinity
UniProt P16949
Localization Cytoplasm, Cytoskeleton
Applications Immunohistochemistry (FFPE) : 1-2ug/ml
Limitations This recombinant STMN1 antibody is available for research use only.
Review this product on BioCompare and get a $20 Amazon gift card

Related Products

Description

Stathmin 1 (Oncoprotein 18, STM1, prosolin or metablastin) is a conserved, Tubulin-associated, intracellular phosphoprotein. Many different phosphorylated forms of the protein are observed, and it is expressed as two different isoforms. Stathmin 1 is considered a critical regulator of microtubulin dynamics and is downregulated by p53. It serves as a transducing protein, via phophorylation, for a variety of cell signaling pathways and is involved in both mitosis and differentiation. It is present in many cancers, including breast carcinomas, and is highly expressed in acute leukemias of different subtypes.

Application Notes

Optimal dilution of the recombinant STMN1 antibody should be determined by the researcher.

Immunogen

A recombinant fragment (within amino acids 1-148) of human STMN1 protein was used as the immunogen for the recombinant STMN1 antibody.

Storage

Aliquot the recombinant STMN1 antibody and store frozen at -20oC or colder. Avoid repeated freeze-thaw cycles.

Cross
Bulk Quote Request Form
Name*:
Organization*:
Email*:
Phone Number*:
Catalog No.*:
Comments and Specifics(amount, formulation, etc.)*:
Validation code: Captchapackage Image


Can't read the image? click here to refresh.
    *required field

Your bulk quote request has been submitted successfully!

Please contact us if you have any questions.