• Tel: 858.663.9055
  • SeparatorEmail: info@nsjbio.com
  • Tel: 858.663.9055
  • Email: info@nsjbio.com
Home >> Antibodies >> Recombinant Steroidogenic Factor 1 Antibody

Recombinant Steroidogenic Factor 1 Antibody [clone rNR5A1/4369] (V4016)

  Catalog No Formulation Size Price (USD)  
Image V4016-100UG 0.2 mg/ml in 1X PBS with 0.1 mg/ml BSA (US sourced), 0.05% sodium azide 100 ug 559
Image
V4016-20UG 0.2 mg/ml in 1X PBS with 0.1 mg/ml BSA (US sourced), 0.05% sodium azide 20 ug 259
Image
V4016SAF-100UG 1 mg/ml in 1X PBS; BSA free, sodium azide free 100 ug 559
Microvalidated Recmousemono
Bulk quote request
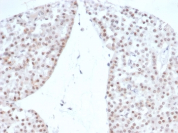
IHC staining of FFPE human renal oncocytoma with Recombinant Steroidogenic Factor 1 antibody (clone rNR5A1/4369). HIER: boil tissue sections in pH 9 10mM Tris with 1mM EDTA for 20 min and allow to cool before testing.
SDS-PAGE analysis of purified, BSA-free Recombinant Steroidogenic Factor 1 antibody (clone rNR5A1/4369) as confirmation of integrity and purity.
Availability 1-3 business days
Species Reactivity Human
Format Purified
Host Mouse
Clonality Recombinant Mouse Monoclonal
Isotype Mouse IgG1, kappa
Clone Name rNR5A1/4369
Purity Protein A/G affinity
UniProt Q13285
Localization Nucleus
Applications Immunohistochemistry (FFPE) : 1-2ug/ml
Limitations This Recombinant Steroidogenic Factor 1 antibody is available for research use only.
Review this product on BioCompare and get a $20 Amazon gift card

Related Products

Description

Recombinant Steroidogenic Factor 1 Antibody (clone rNR5A1/4369) targets Steroidogenic Factor 1, a nuclear receptor transcription factor encoded by the NR5A1 gene that plays a central role in endocrine development and steroid hormone biosynthesis. Steroidogenic Factor 1 is also known as Adrenal 4 binding protein and functions as a master regulator of genes involved in adrenal and gonadal differentiation. As a member of the nuclear receptor superfamily, Steroidogenic Factor 1 acts as a DNA-binding transcriptional regulator that coordinates hormone-related gene expression programs.

Functionally, Steroidogenic Factor 1 binds to specific response elements within promoter regions of target genes involved in steroidogenesis, including enzymes required for cholesterol transport and steroid hormone synthesis. Through this regulatory activity, Steroidogenic Factor 1 controls expression of genes essential for adrenal cortex function, gonadal development, and reproductive physiology. A Recombinant Steroidogenic Factor 1 Antibody enables investigation of transcriptional regulation mechanisms governing endocrine signaling pathways and hormone biosynthesis in research studies.

Steroidogenic Factor 1 expression is developmentally regulated and is most prominent in steroidogenic tissues such as the adrenal glands, testes, ovaries, and certain regions of the hypothalamic-pituitary axis. At the cellular level, Steroidogenic Factor 1 localizes primarily to the nucleus, consistent with its role as a transcription factor. Nuclear localization allows direct interaction with chromatin and transcriptional machinery to modulate gene expression in response to developmental and hormonal cues.

At the molecular level, Steroidogenic Factor 1 contains a conserved DNA-binding domain with zinc finger motifs characteristic of nuclear receptors, along with a ligand-binding domain that supports interactions with cofactors and regulatory proteins. These structural features enable Steroidogenic Factor 1 to function as a transcriptional activator or repressor depending on cellular context. Regulation of Steroidogenic Factor 1 activity involves protein-protein interactions, phosphorylation, and chromatin remodeling events that fine-tune transcriptional output.

From a biological and disease relevance perspective, NR5A1 has been extensively studied in the context of disorders of sexual development, adrenal insufficiency, and reproductive dysfunction. Altered expression or function of Steroidogenic Factor 1 can disrupt steroid hormone production and endocrine organ development. Because of its pivotal role in endocrine biology, Steroidogenic Factor 1 is widely examined in developmental biology, endocrinology, and disease-focused research exploring hormone regulation and tissue differentiation.

Recombinant Steroidogenic Factor 1 Antibody reagents are valuable tools for studying nuclear receptor biology, transcriptional control of steroidogenic pathways, and endocrine system development. These antibodies support research into hormone biosynthesis, adrenal and gonadal function, and disease-associated alterations in transcriptional regulation. NSJ Bioreagents provides Recombinant Steroidogenic Factor 1 Antibody products intended for research use.

Application Notes

Optimal dilution of the Recombinant Steroidogenic Factor 1 antibody should be determined by the researcher.

Immunogen

A portion of amino acids 220-461 from the human protein was used as the immunogen for the Recombinant Steroidogenic Factor 1 antibody.

Storage

Aliquot the Recombinant Steroidogenic Factor 1 antibody and store frozen at -20oC or colder. Avoid repeated freeze-thaw cycles.

Cross
Bulk Quote Request Form
Name*:
Organization*:
Email*:
Phone Number*:
Catalog No.*:
Comments and Specifics(amount, formulation, etc.)*:
Validation code: Captchapackage Image


Can't read the image? click here to refresh.
    *required field

Your bulk quote request has been submitted successfully!

Please contact us if you have any questions.