• Tel: 858.663.9055
  • SeparatorEmail: info@nsjbio.com
  • Tel: 858.663.9055
  • Email: info@nsjbio.com
Home >> Antibodies >> StAR Antibody Recombinant Rabbit MAb STAR/3915R / Steroidogenic acute regulatory protein

StAR Antibody Recombinant Rabbit MAb STAR/3915R / Steroidogenic acute regulatory protein [clone STAR/3915R] (V8972)

  Catalog No Formulation Size Price (USD)  
Image V8972-100UG 0.2 mg/ml in 1X PBS with 0.1 mg/ml BSA (US sourced), 0.05% sodium azide 100 ug 559
Image
V8972-20UG 0.2 mg/ml in 1X PBS with 0.1 mg/ml BSA (US sourced), 0.05% sodium azide 20 ug 259
Image
V8972SAF-100UG 1 mg/ml in 1X PBS; BSA free, sodium azide free 100 ug 559
Microvalidated Recrabbitmono
Bulk quote request
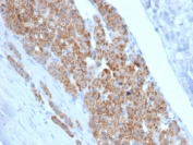
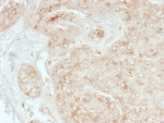
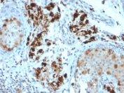
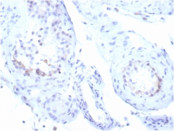
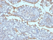
StAR Antibody Recombinant Rabbit MAb STAR/3915R. Immunohistochemistry analysis of Steroidogenic Acute Regulatory Protein (StAR / STARD1) in FFPE human testicular carcinoma tissue using a recombinant rabbit monoclonal antibody. HRP-DAB brown cytoplasmic staining highlights tumor cells with steroidogenic differentiation, consistent with the mitochondrial localization of StAR in steroid hormone-producing cells, while surrounding stromal elements show minimal staining. Heat-induced epitope retrieval was performed by boiling tissue sections in pH 9 Tris-EDTA buffer (10mM Tris with 1mM EDTA) for 20 minutes followed by cooling prior to antibody staining.
SDS-PAGE analysis of purified, BSA-free StAR Antibody Recombinant Rabbit MAb STAR/3915R as confirmation of integrity and purity.
Availability 1-3 business days
Species Reactivity Human
Format Purified
Host Rabbit
Clonality Recombinant Rabbit Monoclonal
Isotype Rabbit IgG, kappa
Clone Name STAR/3915R
Purity Protein A/G affinity
UniProt P49675
Localization Cytoplasm
Applications Immunohistochemistry (FFPE) : 1-2ug/ml
Limitations This recombinant StAR antibody is available for research use only.
Review this product on BioCompare and get a $20 Amazon gift card

Related Products

Description

Steroidogenic Acute Regulatory Protein (StAR), encoded by the STARD1 gene, is a mitochondrial cholesterol transport protein that plays a central role in steroid hormone biosynthesis within endocrine tissues. StAR Antibody Recombinant Rabbit MAb STAR/3915R targets this steroidogenic regulatory protein and supports research examining steroid hormone production and endocrine cell biology. StAR mediates the transfer of cholesterol from the outer to the inner mitochondrial membrane, a process that represents the rate-limiting step in steroidogenesis. Because this function occurs specifically in steroid-producing cells, StAR is widely studied as a marker of steroidogenic activity in endocrine tissues.

StAR expression is highly enriched in organs responsible for steroid hormone synthesis, including the adrenal cortex, testicular Leydig cells, and ovarian theca and luteal cells. In these tissues, cholesterol transport into mitochondria is essential for the initiation of steroid hormone synthesis pathways that generate glucocorticoids, mineralocorticoids, and sex steroids. The presence of StAR protein therefore reflects the steroidogenic capacity of these endocrine cells and is closely linked to hormone production activity within adrenal and gonadal tissues.

Regulation of StAR expression is tightly controlled by endocrine signaling pathways. Hormones such as adrenocorticotropic hormone in the adrenal cortex and luteinizing hormone in gonadal tissues stimulate steroidogenesis by increasing StAR transcription and mitochondrial cholesterol transport activity. Through this mechanism, StAR functions as a key regulatory point that integrates hormonal signals with steroid hormone production. Alterations in StAR expression or activity can disrupt steroid hormone synthesis and are associated with endocrine disorders affecting adrenal or gonadal function.

StAR is also relevant in the study of endocrine tumors and steroidogenic lineage differentiation. Adrenocortical tumors and certain gonadal neoplasms may retain steroidogenic characteristics that involve continued expression of proteins required for steroid biosynthesis. Detection of Steroidogenic Acute Regulatory Protein can therefore provide insight into steroidogenic differentiation and endocrine tissue organization in experimental models examining adrenal and gonadal tumor biology.

Because StAR functions at the first regulated step of mitochondrial cholesterol transport during steroidogenesis, it has become a widely studied protein in endocrine physiology and hormone biosynthesis research. Antibodies targeting StAR enable investigation of steroidogenic cell populations, regulation of cholesterol transport into mitochondria, and signaling pathways controlling steroid hormone production in adrenal and gonadal tissues.

Application Notes

Optimal dilution of the StAR Antibody Recombinant Rabbit MAb STAR/3915R should be determined by the researcher.

Immunogen

A portion of amino acids 39-108 was used as the immunogen for the recombinant StAR antibody.

Storage

Aliquot the recombinant StAR antibody and store frozen at -20oC or colder. Avoid repeated freeze-thaw cycles.

Alternate Names

StAR antibody, Steroidogenic acute regulatory protein antibody, STARD1 antibody, STAR protein antibody, Cholesterol transport protein StAR antibody

Cross
Bulk Quote Request Form
Name*:
Organization*:
Email*:
Phone Number*:
Catalog No.*:
Comments and Specifics(amount, formulation, etc.)*:
Validation code: Captchapackage Image


Can't read the image? click here to refresh.
    *required field

Your bulk quote request has been submitted successfully!

Please contact us if you have any questions.