• Tel: 858.663.9055
  • SeparatorEmail: info@nsjbio.com
  • Tel: 858.663.9055
  • Email: info@nsjbio.com
Home >> Antibodies >> Recombinant SMMHC Antibody / Smooth Muscle Myosin Heavy Chain

Recombinant SMMHC Antibody / Smooth Muscle Myosin Heavy Chain [clone MYH11/7087R] (V9683)

  Catalog No Formulation Size Price (USD)  
Image V9683-100UG 0.2 mg/ml in 1X PBS with 0.1 mg/ml BSA (US sourced), 0.05% sodium azide 100 ug 559
Image
V9683-20UG 0.2 mg/ml in 1X PBS with 0.1 mg/ml BSA (US sourced), 0.05% sodium azide 20 ug 259
Image
V9683SAF-100UG 1 mg/ml in 1X PBS; BSA free, sodium azide free 100 ug 559
Microvalidated Recrabbitmono
Bulk quote request
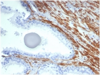
IHC staining of FFPE human prostate tissue with recombinant SMMHC antibody MYH11/7087R). HIER: boil tissue sections in pH 9 10mM Tris with 1mM EDTA for 20 min and allow to cool before testing.
IHC staining of FFPE human smooth muscle tissue with recombinant SMMHC antibody (clone MYH11/7087R). HIER: boil tissue sections in pH 9 10mM Tris with 1mM EDTA for 20 min and allow to cool before testing.
SDS-PAGE analysis of purified, BSA-free recombinant SMMHC antibody (clone MYH11/7087R) as confirmation of integrity and purity.
Availability 1-3 business days
Species Reactivity Human
Format Purified
Host Rabbit
Clonality Recombinant Rabbit Monoclonal
Isotype Rabbit IgG, kappa
Clone Name MYH11/7087R
Purity Protein A/G affinity
UniProt P35749
Localization Cytoplasm
Applications Immunohistochemistry (FFPE) : 1-2ug/ml
Limitations This recombinant SMMHC antibody is available for research use only.
Review this product on BioCompare and get a $20 Amazon gift card

Related Products

Description

Smooth Muscle Myosin, heavy chain (SMM-HC) is a cytoplasmic structural protein that is a major component of the contractile apparatus of the smooth muscle cells. Expression of smooth muscle myosin is developmentally regulated, appearing early and is specific for smooth muscle development. SM-MHC stains the intact myoepithelial cell (MEC) layers present in benign and in situ malignant breast and bronchioloalveolar lesions and is therefore very helpful in distinguishing between benign and malignant tumors. The antibody reacts with smooth muscle cells and myoepithelial cells, but not with myofibroblasts. It is very helpful in distinguishing between benign sclerosing breast lesions and infiltrating carcinomas in difficult cases since it strongly stains the myoepithelial layer in the benign lesions while it is negative in the infiltrating carcinomas.

Application Notes

Optimal dilution of the recombinant SMMHC antibody should be determined by the researcher.

Immunogen

A portion of amino acids 1-100 of Myosin protein was used as the immunogen for the recombinant SMMHC antibody.

Storage

Aliquot the recombinant SMMHC antibody and store frozen at -20oC or colder. Avoid repeated freeze-thaw cycles.

Cross
Bulk Quote Request Form
Name*:
Organization*:
Email*:
Phone Number*:
Catalog No.*:
Comments and Specifics(amount, formulation, etc.)*:
Validation code: Captchapackage Image


Can't read the image? click here to refresh.
    *required field

Your bulk quote request has been submitted successfully!

Please contact us if you have any questions.