• Tel: 858.663.9055
  • SeparatorEmail: info@nsjbio.com
  • Tel: 858.663.9055
  • Email: info@nsjbio.com
Home >> Antibodies >> SMMHC Antibody / Smooth Muscle Myosin Heavy Chain

SMMHC Antibody / Smooth Muscle Myosin Heavy Chain [clone MYH11/2303R] (V3733)

  Catalog No Formulation Size Price (USD)  
Image V3733-100UG 0.2 mg/ml in 1X PBS with 0.1 mg/ml BSA (US sourced) and 0.05% sodium azide 100 ug 559
Image
V3733-20UG 0.2 mg/ml in 1X PBS with 0.1 mg/ml BSA (US sourced) and 0.05% sodium azide 20 ug 259
Image
V3733SAF-100UG 1 mg/ml in 1X PBS; BSA free, sodium azide free 100 ug 559
Image
V3733IHC-7ML Prediluted in 1X PBS with 0.1 mg/ml BSA (US sourced) and 0.05% sodium azide; *For IHC use only* 7 ml 559
Microvalidated Recrabbitmono
Bulk quote request
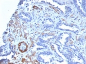
IHC testing of FFPE human breast carcinoma with recombinant SMMHC antibody (clone MYH11/2303R). Required HIER: boil tissue sections in pH 9 10mM Tris with 1mM EDTA for 10-20 min followed by cooling at RT for 20 min.
IHC testing of FFPE human breast carcinoma with recombinant SMMHC antibody (clone MYH11/2303R). Required HIER: boil tissue sections in pH 9 10mM Tris with 1mM EDTA for 10-20 min followed by cooling at RT for 20 min.
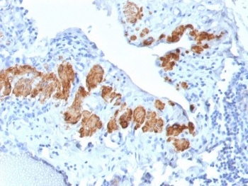
IHC testing of FFPE human prostate carcinoma with recombinant SMMHC antibody (clone MYH11/2303R). Required HIER: boil tissue sections in pH 9 10mM Tris with 1mM EDTA for 10-20 min followed by cooling at RT for 20 min.
SDS-PAGE analysis of purified, BSA-free recombinant SMMHC antibody (clone MYH11/2303R) as confirmation of integrity and purity.
Availability 1-3 business days
Species Reactivity Human
Format Purified
Host Rabbit
Clonality Recombinant Rabbit Monoclonal
Isotype Rabbit IgG, kappa
Clone Name MYH11/2303R
Purity Protein A affinity chromatography
UniProt P35749
Localization Cytoplasmic
Applications Immunohistochemistry (FFPE) : 1-2ug/ml for 30 min at RT
Limitations This recombinant SMMHC antibody is available for research use only.
Review this product on BioCompare and get a $20 Amazon gift card

Related Products

Description

SMMHC antibody targets Smooth Muscle Myosin Heavy Chain, a major contractile protein that serves as a defining marker of differentiated smooth muscle cells. Smooth Muscle Myosin Heavy Chain, encoded by the MYH11 gene, is a cytoskeletal motor protein predominantly localized to the cytoplasm, where it associates with actin filaments to drive smooth muscle contraction. SMMHC is highly expressed in vascular smooth muscle cells, visceral smooth muscle tissues, and myoepithelial cells, reflecting its essential role in regulating contractility and maintaining structural integrity of smooth muscle layers.

Smooth Muscle Myosin Heavy Chain functions as the heavy chain component of the myosin II motor complex, providing ATP dependent force generation required for sustained and phasic smooth muscle contraction. A short functional summary is that SMMHC is a core structural and motor element that enables smooth muscle cells to contract, maintain tone, and respond to physiological stimuli such as calcium signaling and mechanical stress. Because of its restricted expression pattern, SMMHC antibody reagents are widely used as highly specific markers of smooth muscle differentiation and lineage commitment.

At the molecular level, Smooth Muscle Myosin Heavy Chain contains a globular head domain responsible for ATP binding and actin interaction, followed by a long coiled-coil tail domain that mediates filament assembly. Alternative splicing generates distinct isoforms that can influence contractile properties in different smooth muscle beds. SMMHC antibody tools are frequently applied in research studies examining smooth muscle structure, cytoskeletal organization, and contractile machinery dynamics in both normal and pathological tissues.

From a disease relevance standpoint, altered SMMHC expression is closely associated with vascular remodeling, atherosclerosis, and smooth muscle phenotypic switching. Loss or downregulation of Smooth Muscle Myosin Heavy Chain is often observed during the transition of vascular smooth muscle cells from a contractile to a synthetic phenotype, a process implicated in vascular injury and disease progression. In diagnostic pathology, SMMHC antibody staining is commonly used to distinguish smooth muscle tumors and myoepithelial lesions from other mesenchymal or epithelial neoplasms. Clone MYH11/2303R is designed to recognize Smooth Muscle Myosin Heavy Chain and support consistent detection of this marker in research and histological studies.

Developmentally, SMMHC expression increases as smooth muscle cells mature and acquire full contractile function. Its sustained expression is considered a hallmark of fully differentiated smooth muscle. Recombinant rabbit antibody clone MYH11/2303R provides a reliable research tool for detecting Smooth Muscle Myosin Heavy Chain expression in studies of vascular biology, smooth muscle differentiation, and tissue remodeling. SMMHC antibodies from NSJ Bioreagents are supplied as recombinant rabbit antibodies for research use to support investigations in cell biology, pathology, and translational research.

Application Notes

Optimal dilution of the recombinant SMMHC antibody should be determined by the researcher.

1. The prediluted format is supplied in a dropper bottle and is optimized for use in IHC. After epitope retrieval step (if required), drip mAb solution onto the tissue section and incubate at RT for 30 min.

Immunogen

Recombinant human protein was used as the immunogen for the recombinant SMMHC antibody.

Storage

Store the recombinant SMMHC antibody at 2-8oC (with azide) or aliquot and store at -20oC or colder (without azide).

Cross
Bulk Quote Request Form
Name*:
Organization*:
Email*:
Phone Number*:
Catalog No.*:
Comments and Specifics(amount, formulation, etc.)*:
Validation code: Captchapackage Image


Can't read the image? click here to refresh.
    *required field

Your bulk quote request has been submitted successfully!

Please contact us if you have any questions.