• Tel: 858.663.9055
  • SeparatorEmail: info@nsjbio.com
  • Tel: 858.663.9055
  • Email: info@nsjbio.com
Home >> Antibodies >> Secretory Component Glycoprotein Antibody / ECM1

Secretory Component Glycoprotein Antibody / ECM1 [clone rECM1/792] (V2484)

  Catalog No Formulation Size Price (USD)  
Image V2484-100UG 0.2 mg/ml in 1X PBS with 0.1 mg/ml BSA (US sourced) and 0.05% sodium azide 100 ug 559
Image
V2484-20UG 0.2 mg/ml in 1X PBS with 0.1 mg/ml BSA (US sourced) and 0.05% sodium azide 20 ug 259
Image
V2484SAF-100UG 1 mg/ml in 1X PBS; BSA free, sodium azide free 100 ug 559
Image
V2484IHC-7ML Prediluted in 1X PBS with 0.1 mg/ml BSA (US sourced) and 0.05% sodium azide; *For IHC use only* 7 ml 559
Microvalidated Recmousemono
Bulk quote request
Secretory Component Glycoprotein Antibody K-562 WB. Western blot analysis of human K-562 cell lysate using Secretory Component Glycoprotein antibody detecting ECM1, clone rECM1/792. A band is observed at approximately 50-60 kDa, consistent with the commonly detected form of ECM1. ECM1 is also reported as Secretory component p85, and higher molecular weight species around ~80-85 kDa may be observed depending on glycosylation and processing. The detected banding pattern aligns with ECM1 as a secreted glycoprotein involved in extracellular matrix organization and cell signaling.
SDS-PAGE Analysis of Purified, BSA-Free recombinant Secretory Component Glycoprotein Antibody (clone rECM1/792). Confirmation of Integrity and Purity of the Antibody.
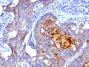
Secretory Component Glycoprotein Antibody IHC. Immunohistochemistry using formalin-fixed, paraffin-embedded human colon carcinoma stained with recombinant Secretory Component Glycoprotein antibody (rECM1/792).
Availability 1-3 business days
Species Reactivity Human
Format Purified
Host Mouse
Clonality Recombinant Mouse Monoclonal
Isotype Mouse IgG1, kappa
Clone Name rECM1/792
Purity Protein G affinity chromatography
UniProt Q16610
Localization Cell surface and cytoplasmic
Applications Immunohistochemistry (FFPE) : 1-2ug/ml for 30 min at RT (1)
Prediluted IHC Only Format : incubate for 30 min at RT (2)
Western Blot : 2-4ug/ml
Limitations This Secretory Component Glycoprotein antibody is available for research use only.
Review this product on BioCompare and get a $20 Amazon gift card

Related Products

Description

This mAb reacts with a reduction-resistant epitope present in both free and SIgA bound Secretory Component. It does not react with the cell lines lacking secretory component. The antibody is useful for studying the distribution and level of both free and bound secretory component. Secretory component is differentially expressed in epithelium, and the antibody is a popular marker for identifying subpopulations of epithelial cells and epithelial differentiation. The Secretory component antibody is a useful research tool for studying mucosal immunity, inflammation, remodeling, differentiation and tumorigenesis, all processes associated with differential secretory component expression.

Explore our ECM1 Antibody - Extracellular Matrix Organization and Secreted Glycoprotein Marker (ECM1/2889R) page for a broader view of ECM1 expression in tissue architecture and microenvironment signaling.

Application Notes

Optimal dilution of the Secretory Component Glycoprotein antibody should be determined by the researcher.>1. Staining of formalin-fixed tissues requires boiling tissue sections in pH 9 10mM Tris with 1mM EDTA for 10-20 min followed by cooling at RT for 20 min

2. The prediluted format is supplied in a dropper bottle and is optimized for use in IHC. After epitope retrieval step (if required), drip mAb solution onto the tissue section and incubate at RT for 30 min.

3. This mAb reacts with a reduction-resistant epitope present in both free and SIgA bound Secretory Component. It does not react with the cell lines lacking secretory component.

Immunogen

Recombinant human protein was used as the immunogen for the recombinant Secretory Component Glycoprotein antibody.

Storage

Store the Secretory Component Glycoprotein antibody at 2-8oC (with azide) or aliquot and store at -20oC or colder (without azide).

Cross
Bulk Quote Request Form
Name*:
Organization*:
Email*:
Phone Number*:
Catalog No.*:
Comments and Specifics(amount, formulation, etc.)*:
Validation code: Captchapackage Image


Can't read the image? click here to refresh.
    *required field

Your bulk quote request has been submitted successfully!

Please contact us if you have any questions.