• Tel: 858.663.9055
  • SeparatorEmail: info@nsjbio.com
  • Tel: 858.663.9055
  • Email: info@nsjbio.com
Home >> Antibodies >> S100B Antibody / Melanoma Marker

S100B Antibody / Melanoma Marker [clone PS1B1-2R] (V3674)

  Catalog No Formulation Size Price (USD)  
Image V3674-100UG 0.2 mg/ml in 1X PBS with 0.1 mg/ml BSA (US sourced) and 0.05% sodium azide 100 ug 559
Image
V3674-20UG 0.2 mg/ml in 1X PBS with 0.1 mg/ml BSA (US sourced) and 0.05% sodium azide 20 ug 259
Image
V3674SAF-100UG 1 mg/ml in 1X PBS; BSA free, sodium azide free 100 ug 559
Image
V3674IHC-7ML Prediluted in 1X PBS with 0.1 mg/ml BSA (US sourced) and 0.05% sodium azide; *For IHC use only* 7 ml 559
Microvalidated Recrabbitmono
Bulk quote request
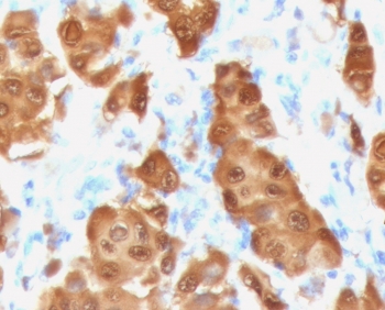
Immunohistochemistry analysis of S100B / Melanoma Marker antibody (clone PS1B1-2R) in human melanoma tissue. FFPE human melanoma demonstrates strong cytoplasmic and nuclear HRP-DAB brown staining in malignant melanocytic cells, consistent with S100B expression. Tumor cells show diffuse and intense staining, while surrounding stromal elements display comparatively weaker signal. Nuclei are counterstained blue. Heat induced epitope retrieval was performed by steaming sections in 10 mM Tris with 1 mM EDTA, pH 9.0, for 10-20 minutes prior to immunostaining.
Availability 1-3 business days
Species Reactivity Human
Format Purified
Host Rabbit
Clonality Recombinant Rabbit Monoclonal
Isotype Rabbit IgG, kappa
Clone Name PS1B1-2R
Purity Protein A affinity chromatography
UniProt P04271
Localization Cytoplasmic, nuclear
Applications Immunohistochemistry (FFPE) : 1-2ug/ml for 30 min at RT
Prediluted IHC Only Format : incubate for 30 min at RT (1)
Limitations This S100B antibody is available for research use only.
Review this product on BioCompare and get a $20 Amazon gift card

Related Products

Description

S100B antibody, also known as Melanoma Marker antibody, recognizes S100 calcium-binding protein B, a dimeric EF-hand calcium-binding protein encoded by the human S100B gene located on chromosome 21q22.3. S100 calcium-binding protein B is a member of the S100 family of small calcium sensor proteins that function as intracellular regulators of signaling and cytoskeletal organization. Although highly enriched in astrocytes of the central nervous system, S100B is also strongly expressed in melanocytes and melanoma cells. S100B antibody targets a protein widely used as a diagnostic and prognostic marker in melanoma research and pathology investigations.

S100 calcium-binding protein B operates as a homodimer and undergoes conformational changes upon calcium binding, enabling interaction with diverse target proteins. These interactions influence cell cycle regulation, cytoskeletal dynamics, and stress response pathways. In melanoma cells, S100B expression has been associated with modulation of p53 activity through direct binding interactions, contributing to altered tumor suppressor signaling and enhanced tumor cell survival. Elevated intracellular and extracellular S100B levels have been reported in melanoma tissue and may correlate with tumor burden, disease progression, and metastatic potential.

Beyond its role in tumor biology, S100B can also function extracellularly through interaction with the receptor for advanced glycation end products, activating downstream signaling pathways that influence inflammation, migration, and survival. This dual intracellular and extracellular functionality underscores the protein’s relevance in both tumor cell regulation and tumor microenvironment signaling. S100B expression is frequently assessed in melanocytic lesions to assist in tumor characterization and to study molecular mechanisms driving melanoma progression.

As a Melanoma Marker antibody, S100B is commonly used to identify melanocytic tumors and to investigate pathways involved in melanoma growth and therapeutic response. The protein’s consistent expression in melanocytic lineage cells and melanoma tissue makes it a valuable tool for studying tumor identity, cell survival mechanisms, and targeted intervention strategies. S100B antibody supports research focused on melanoma pathogenesis, biomarker evaluation, and translational oncology applications.

Application Notes

The optimal dilution of the S100B antibody for each application should be determined by the researcher.

1. The prediluted format is supplied in a dropper bottle and is optimized for use in IHC. After epitope retrieval step (if required), drip mAb solution onto the tissue section and incubate at RT for 30 min.

Immunogen

Full length human recombinant S100B protein was used as the immunogen for this S100B antibody.

Storage

Store the S100B antibody at 2-8oC (with azide) or aliquot and store at -20oC or colder (without azide).

Cross
Bulk Quote Request Form
Name*:
Organization*:
Email*:
Phone Number*:
Catalog No.*:
Comments and Specifics(amount, formulation, etc.)*:
Validation code: Captchapackage Image


Can't read the image? click here to refresh.
    *required field

Your bulk quote request has been submitted successfully!

Please contact us if you have any questions.