• Tel: 858.663.9055
  • SeparatorEmail: info@nsjbio.com
  • Tel: 858.663.9055
  • Email: info@nsjbio.com
Home >> Antibodies >> Recombinant S100A14 Antibody

Recombinant S100A14 Antibody [clone S100A14/9077R] (V4721)

  Catalog No Formulation Size Price (USD)  
Image V4721-100UG 0.2 mg/ml in 1X PBS with 0.1 mg/ml BSA (US sourced), 0.05% sodium azide 100 ug 559
Image
V4721-20UG 0.2 mg/ml in 1X PBS with 0.1 mg/ml BSA (US sourced), 0.05% sodium azide 20 ug 259
Image
V4721SAF-100UG 1 mg/ml in 1X PBS; BSA free, sodium azide free 100 ug 559
Microvalidated Recrabbitmono
Bulk quote request
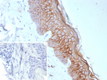
IHC staining of FFPE human skin tissue with recombinant S100A14 antibody (clone S100A14/9077R). Inset: PBS used in place of primary Ab (secondary Ab negative control). HIER: boil tissue sections in pH 9 10mM Tris with 1mM EDTA for 20 min and allow to cool before testing.
Availability 1-3 business days
Species Reactivity Human
Format Purified
Host Rabbit
Clonality Recombinant Rabbit Monoclonal
Isotype Rabbit IgG, kappa
Clone Name S100A14/9077R
Purity Protein A/G affinity
UniProt Q9HCY8
Localization Cytoplasm
Applications ELISA (Order BSA-free Format For Coating) :
Immunohistochemistry (FFPE) : 1-2ug/ml for 30 min at RT
Limitations This recombinant S100A14 antibody is available for research use only.
Review this product on BioCompare and get a $20 Amazon gift card

Related Products

Description

Modulates P53/TP53 protein levels, and thereby plays a role in the regulation of cell survival and apoptosis. Depending on the context, it can promote cell proliferation or apoptosis. Plays a role in the regulation of cell migration by modulating the levels of MMP2, a matrix protease that is under transcriptional control of P53/TP53.

Application Notes

Optimal dilution of the recombinant S100A14 antibody should be determined by the researcher.

Immunogen

Recombinant full-length human S100A14 protein was used as the immunogen for the recombinant S100A14 antibody.

Storage

Aliquot the recombinant S100A14 antibody and store frozen at -20oC or colder. Avoid repeated freeze-thaw cycles.

Cross
Bulk Quote Request Form
Name*:
Organization*:
Email*:
Phone Number*:
Catalog No.*:
Comments and Specifics(amount, formulation, etc.)*:
Validation code: Captchapackage Image


Can't read the image? click here to refresh.
    *required field

Your bulk quote request has been submitted successfully!

Please contact us if you have any questions.