• Tel: 858.663.9055
  • SeparatorEmail: info@nsjbio.com
  • Tel: 858.663.9055
  • Email: info@nsjbio.com
Home >> Antibodies >> PTH Antibody N-Terminus / Rabbit Monoclonal

PTH Antibody N-Terminus / Rabbit Monoclonal [clone PTH/2295R] (V3644)

  Catalog No Formulation Size Price (USD)  
Image V3644-100UG 0.2 mg/ml in 1X PBS with 0.1 mg/ml BSA (US sourced) and 0.05% sodium azide 100 ug 559
Image
V3644-20UG 0.2 mg/ml in 1X PBS with 0.1 mg/ml BSA (US sourced) and 0.05% sodium azide 20 ug 259
Image
V3644SAF-100UG 1 mg/ml in 1X PBS; BSA free, sodium azide free 100 ug 559
Image
V3644IHC-7ML Prediluted in 1X PBS with 0.1 mg/ml BSA (US sourced) and 0.05% sodium azide; *For IHC use only* 7 ml 559
Microvalidated Recrabbitmono
Bulk quote request
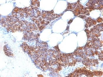
PTH Antibody N-Terminus immunohistochemistry of human parathyroid gland. FFPE human parathyroid gland stained using PTH Antibody N-Terminus clone PTH/2295R, a recombinant rabbit monoclonal antibody targeting the N-terminal region of Parathyroid hormone (PTH). Strong cytoplasmic brown chromogenic staining is observed in parathyroid endocrine chief cells, consistent with the known intracellular localization of Parathyroid hormone in hormone-producing cells. This image represents immunohistochemistry analysis following heat-induced epitope retrieval with steam treatment in pH 9 10mM Tris with 1mM EDTA for 10-20 minutes.
Protein microarray specificity validation of PTH Antibody N-Terminus. Analysis of a HuProt(TM) human protein microarray containing more than 19,000 full-length human proteins using PTH Antibody N-Terminus clone PTH/2295R, a recombinant rabbit monoclonal antibody recognizing the N-terminal region of Parathyroid hormone (PTH). The antibody shows a strong signal for PTH with a high Z-score and S-score relative to other proteins on the array, supporting the specificity of clone PTH/2295R for Parathyroid hormone.
The Z-score represents the strength of the signal generated when the antibody, in combination with a fluorescently tagged anti-IgG secondary antibody, binds to a particular protein on the HuProt(TM) array. Z-scores are expressed as standard deviations above the mean signal of all proteins on the array. Targets are ranked by Z-score, and the S-score represents the difference between the Z-scores of sequential ranked proteins, providing a measure of relative antibody specificity for its intended target.
SDS-PAGE analysis of purified, BSA-free recombinant PTH antibody (clone PTH/2295R) as confirmation of integrity and purity.
Availability 1-3 business days
Species Reactivity Human
Format Purified
Host Rabbit
Clonality Recombinant Rabbit Monoclonal
Isotype Rabbit IgG, kappa
Clone Name PTH/2295R
Purity Protein A affinity chromatography
UniProt P01270
Localization Cytoplasmic and secreted
Applications Immunohistochemistry (FFPE) : 1-2ug/ml for 30 min at RT
Limitations This PTH antibody is available for research use only.
Review this product on BioCompare and get a $20 Amazon gift card

Related Products

Description

Parathyroid hormone (PTH), encoded by the PTH gene, is a peptide hormone produced by endocrine chief cells of the parathyroid glands and serves as a central regulator of calcium and phosphate homeostasis. Through actions on bone, kidney, and vitamin D metabolism, PTH maintains systemic mineral balance and supports normal skeletal physiology. PTH Antibody N-Terminus recognizes the amino-terminal region of Parathyroid hormone and enables detection of the biologically active portion of the hormone in endocrine research and tissue analysis.

The N-terminal region of PTH contains the biologically active peptide segment responsible for receptor activation and downstream signaling through the parathyroid hormone receptor. Antibodies directed toward this portion of the protein are commonly referred to in the literature as PTH N-terminal antibody, PTH N-terminus antibody, or Parathyroid hormone N-terminal antibody, reflecting recognition of the amino-terminal domain of the hormone. Because this region includes the functionally important sequence responsible for receptor binding, antibodies recognizing the N-terminus are valuable tools for studying hormone biosynthesis, processing, and receptor signaling mechanisms.

PTH is synthesized in parathyroid chief cells as preproparathyroid hormone and subsequently processed intracellularly to generate the mature peptide hormone prior to secretion. In tissue sections, antibodies recognizing PTH typically demonstrate cytoplasmic localization within parathyroid endocrine cells where hormone synthesis and storage occur. Visualization of this staining pattern enables identification of hormone-producing cells within parathyroid gland tissue and supports research examining endocrine cell populations and parathyroid gland biology.

PTH antibodies are widely used in endocrine pathology and research involving parathyroid tissue and related tumors. Detection of PTH expression assists in confirming parathyroid origin in endocrine lesions and contributes to characterization of parathyroid adenoma, parathyroid hyperplasia, and parathyroid carcinoma. Because parathyroid tissue may be difficult to distinguish morphologically from surrounding thyroid structures in some specimens, immunodetection using a PTH antibody provides an important molecular marker for identifying hormone-producing parathyroid cells.

The specificity of clone PTH/2295R has been evaluated using a high-density human protein microarray containing thousands of full-length proteins, enabling large-scale assessment of antibody target recognition. Such protein microarray validation provides an orthogonal method to evaluate antibody specificity by confirming preferential binding to Parathyroid hormone relative to other proteins on the array. This approach supports the use of this recombinant rabbit monoclonal antibody for studies investigating Parathyroid hormone biology, endocrine signaling pathways, and epitope-specific detection of the PTH N-terminal region.

Application Notes

Optimal dilution of the PTH Antibody N-Terminus should be determined by the researcher.

1. The prediluted format is supplied in a dropper bottle and is optimized for use in IHC. After epitope retrieval step (if required), drip mAb solution onto the tissue section and incubate at RT for 30 min.

Immunogen

A synthetic peptide from the N-terminal region of human Parathyroid hormone was used as the immunogen for the recombinant PTH antibody.

Storage

Store the recombinant PTH antibody at 2-8oC (with azide) or aliquot and store at -20oC or colder (without azide).

Alternate Names

Parathyroid hormone antibody, PTH antibody, Parathyroid hormone N-terminal antibody, PTH N-terminal antibody

Cross
Bulk Quote Request Form
Name*:
Organization*:
Email*:
Phone Number*:
Catalog No.*:
Comments and Specifics(amount, formulation, etc.)*:
Validation code: Captchapackage Image


Can't read the image? click here to refresh.
    *required field

Your bulk quote request has been submitted successfully!

Please contact us if you have any questions.