• Tel: 858.663.9055
  • SeparatorEmail: info@nsjbio.com
  • Tel: 858.663.9055
  • Email: info@nsjbio.com
Home >> Antibodies >> PSMA Antibody / Prostate Membrane Marker

PSMA Antibody / Prostate Membrane Marker [clone RM327] (R20352)

  Catalog No Formulation Size Price (USD)  
Image R20352-0.1ML Antibody in PBS with 50% glycerol, 1% BSA and 0.09% sodium azide 100 ul 439
Microvalidated Recrabbitmono
Bulk quote request
PSMA Antibody LNCaP WB. Western blot analysis of human LNCaP cell lysate using PSMA Antibody / Prostate Membrane Marker at 1:1000. A strong band is detected at approximately 100-110 kDa, consistent with the expected molecular weight of Prostate-specific membrane antigen / PSMA, also known as Folate hydrolase 1 / FOLH1. The observed signal is consistent with established PSMA expression in prostate-derived tumor cell models and supports its role as a membrane-associated metallopeptidase involved in prostate cancer-associated signaling and folate metabolism pathways.
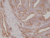
PSMA Antibody Prostate Cancer IHC. Immunohistochemistry analysis of FFPE human prostate carcinoma tissue stained with PSMA Antibody / Prostate Membrane Marker at 1:1000. Tumor epithelial cells demonstrate membranous and apical cytoplasmic HRP-DAB brown staining consistent with expression of Prostate-specific membrane antigen / PSMA, also known as Folate hydrolase 1 / FOLH1, a membrane-associated metallopeptidase widely studied in prostate tumor biology and epithelial differentiation pathways.
Availability 1-3 business days
Species Reactivity Human
Format Purified
Host Rabbit
Clonality Recombinant Rabbit Monoclonal
Isotype Rabbit IgG
Clone Name RM327
Purity Protein A purified from animal origin-free supernatant
UniProt Q04609
Localization Cytoplasmic, cell surface
Applications Immunohistochemistry (FFPE) : 1:500-1:1000
Western Blot : 1:1000-1:2000
Limitations This PSMA Antibody / Prostate Membrane Marker is available for research use only.
Review this product on BioCompare and get a $20 Amazon gift card

Related Products

Description

Prostate-specific membrane antigen (PSMA), also known as Folate hydrolase 1 (FOLH1), Glutamate carboxypeptidase II (GCPII), and NAALADase, is a membrane-associated metallopeptidase involved in folate metabolism and glutamatergic signaling pathways. PSMA Antibody / Prostate Membrane Marker is useful for studying prostate epithelial differentiation, prostate tumor biology, and membrane-associated signaling pathways involved in prostate cancer progression. PSMA antibody, also referred to as FOLH1 antibody and Glutamate carboxypeptidase II antibody in the literature, recognizes a type II transmembrane glycoprotein highly expressed in prostate epithelium and prostate carcinoma cells.

PSMA is predominantly localized to the plasma membrane and apical epithelial surfaces where it functions as a folate hydrolase and neuropeptidase involved in nutrient metabolism and glutamate signaling. In normal tissues, expression is observed in prostate epithelium, kidney proximal tubules, small intestine, salivary gland, and selected neural tissues. Within prostate carcinoma, PSMA expression is frequently increased and associated with tumor progression, androgen-independent disease, and metastatic behavior, supporting its widespread use as a prostate cancer-associated membrane marker.

Because PSMA demonstrates strong membrane-associated expression in prostate carcinoma, this target has become highly important in studies focused on prostate tumor detection, epithelial differentiation, targeted imaging, and therapeutic development. FOLH1-associated pathways have also been investigated in tumor-associated neovasculature, glutamate metabolism, and cancer cell signaling mechanisms linked to tumor progression and invasive behavior. The membrane localization pattern of PSMA makes this target especially useful for studies examining cell-surface protein expression and prostate-associated tumor phenotypes.

In addition to prostate biology, FOLH1 contributes to glutamatergic signaling regulation within neural tissue and participates in folate metabolism pathways associated with cellular growth and nutrient processing. Expression has also been studied in kidney epithelium, gastrointestinal tissues, and inflammatory microenvironments. Immunohistochemistry studies commonly demonstrate strong membranous and apical staining patterns in prostate carcinoma tissues consistent with membrane-associated localization of PSMA.

A recombinant rabbit monoclonal clone RM327 antibody can be used for studies examining PSMA-associated signaling and prostate epithelial differentiation pathways. Because Prostate-specific membrane antigen functions as a clinically important membrane marker in prostate cancer biology, this target remains highly relevant for studies focused on prostate tumor progression, membrane-associated enzymatic signaling, and epithelial differentiation research.

Researchers studying prostate cancer biology, PSMA-associated signaling, and folate metabolism pathways may also be interested in our FOLH1 Antibody / Prostate Cancer and PSMA Marker page featuring validated immunohistochemistry, western blot, and protein microarray specificity data for prostate cancer research.

Application Notes

The stated application concentrations are suggested starting points. Titration of the PSMA Antibody / Prostate Membrane Marker may be required due to differences in protocols and secondary/substrate sensitivity.

Immunogen

A peptide corresponding to the C-terminus of human Prostate-specific membrane antigen was used as the immunogen for the recombinant PSMA antibody.

Storage

Store the PSMA antibody at -20oC.

Alternate Names

FOLH1 antibody, Prostate-specific membrane antigen antibody, GCPII antibody, Glutamate carboxypeptidase II antibody, Prostate epithelial marker antibody

Cross
Bulk Quote Request Form
Name*:
Organization*:
Email*:
Phone Number*:
Catalog No.*:
Comments and Specifics(amount, formulation, etc.)*:
Validation code: Captchapackage Image


Can't read the image? click here to refresh.
    *required field

Your bulk quote request has been submitted successfully!

Please contact us if you have any questions.