• Tel: 858.663.9055
  • SeparatorEmail: info@nsjbio.com
  • Tel: 858.663.9055
  • Email: info@nsjbio.com
Home >> Antibodies >> PSAP Antibody Recombinant Mouse MAb rACPP/1338

PSAP Antibody Recombinant Mouse MAb rACPP/1338 [clone rACPP/1338] (V3536)

  Catalog No Formulation Size Price (USD)  
Image V3536-100UG 0.2 mg/ml in 1X PBS with 0.1 mg/ml BSA (US sourced) and 0.05% sodium azide 100 ug 559
Image
V3536-20UG 0.2 mg/ml in 1X PBS with 0.1 mg/ml BSA (US sourced) and 0.05% sodium azide 20 ug 259
Image
V3536SAF-100UG 1 mg/ml in 1X PBS; BSA free, sodium azide free 100 ug 559
Image
V3536IHC-7ML Prediluted in 1X PBS with 0.1 mg/ml BSA (US sourced) and 0.05% sodium azide; *For IHC use only* 7 ml 559
Microvalidated Recmousemono
Bulk quote request
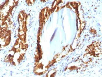
PSAP Antibody Recombinant Mouse MAb rACPP/1338 immunohistochemistry analysis of Prostatic acid phosphatase / ACP3 in human prostate carcinoma tissue. FFPE human prostate carcinoma tissue was stained with PSAP Antibody Recombinant Mouse MAb rACPP/1338 following heat induced epitope retrieval by boiling tissue sections in 10mM citrate buffer (pH 6) for 10-20 minutes and cooling at room temperature prior to staining. HRP-DAB brown chromogenic signal highlights strong cytoplasmic and membranous staining of prostate tumor epithelial cells forming glandular carcinoma structures, consistent with the known localization of Prostatic acid phosphatase (ACP3 / PAP) in prostate-derived epithelial cells. Detection of PSAP expression by immunohistochemistry is widely used in prostate cancer research to identify prostate epithelial lineage and evaluate PAP expression in prostate carcinoma tissues.
SDS-PAGE analysis of purified, BSA-free PSAP Antibody Recombinant Mouse MAb rACPP/1338 as confirmation of integrity and purity.
Species Reactivity Human
Format Purified
Host Mouse
Clonality Recombinant Mouse Monoclonal
Isotype Mouse IgG1, kappa
Clone Name rACPP/1338
Purity Protein G affinity chromatography
Buffer 1X PBS, pH 7.4
UniProt P15309
Gene ID 55
Localization Cytoplasmic
Applications Immunohistochemistry (FFPE) : 0.5-1ug/ml for 30 min at RT
Limitations This PSAP antibody is available for research use only.
Review this product on BioCompare and get a $20 Amazon gift card

Related Products

Description

Prostatic acid phosphatase (ACPP), also known as Acid phosphatase 3 (ACP3) or PAP, is a secreted glycoprotein enzyme produced predominantly by prostate epithelial cells. The protein belongs to the histidine acid phosphatase family and catalyzes the hydrolysis of phosphomonoesters under acidic conditions. PAP is highly enriched in prostate glandular epithelium and is secreted into seminal fluid, where it contributes to enzymatic activity within the prostate microenvironment. PSAP Antibody Recombinant Mouse MAb rACPP/1338 recognizes this prostate-associated enzyme and enables the detection of Prostatic acid phosphatase expression in prostate-derived tissues and prostate cancer models.

PSAP Antibody is widely used in research investigating prostate epithelial differentiation and prostate cancer biology. In tissue studies, Prostatic acid phosphatase expression is typically localized to prostate glandular epithelial cells and prostate tumor cells. Detection of PAP expression helps identify prostate epithelial lineage and supports the evaluation of prostate tumor differentiation in prostate cancer research. Because ACP3 expression is largely restricted to prostate epithelial cells, antibodies targeting this protein are commonly used to examine prostate tissue architecture and to study molecular features of prostate tumors.

Historically, Prostatic acid phosphatase served as one of the earliest biomarkers used in prostate cancer studies before prostate-specific antigen testing became widely adopted. PAP remains an important marker of prostate epithelial identity and is frequently examined in studies investigating prostate gland biology, prostate tumor development, and prostate cancer differentiation. Analysis of PAP expression allows investigators to characterize prostate-derived cells and evaluate prostate tumor phenotypes in experimental systems.

PSAP Antibody Recombinant Mouse MAb rACPP/1338 is a recombinant monoclonal antibody developed to recognize Prostatic acid phosphatase in prostate epithelial tissues and prostate cancer models. Antibodies targeting ACP3 are commonly used in studies of prostate epithelial differentiation, prostate tumor biology, and prostate tissue characterization.

Detection of Prostatic acid phosphatase using PSAP Antibody provides a useful approach for examining prostate epithelial lineage markers and studying prostate cancer biology. PAP expression analysis helps identify prostate-derived tumor cells and supports investigations of prostate tissue differentiation in laboratory research.

Application Notes

Titering of the PSAP Antibody Recombinant Mouse MAb rACPP/1338 may be required for optimal performance.

1. The prediluted format is supplied in a dropper bottle and is optimized for use in IHC. After epitope retrieval step (if required), drip mAb solution onto the tissue section and incubate at RT for 30 min.

Immunogen

Human recombinant full length protein was used as the immunogen for this recombinant PSAP antibody.

Storage

The PSAP antibody (with azide) can be stored at 2-8oC. The azide-free format should be aliquoted and stored at -20oC or colder.

Alternate Names

Prostatic acid phosphatase antibody, PAP antibody, ACP3 antibody, ACPP antibody, Prostate acid phosphatase antibody

Cross
Bulk Quote Request Form
Name*:
Organization*:
Email*:
Phone Number*:
Catalog No.*:
Comments and Specifics(amount, formulation, etc.)*:
Validation code: Captchapackage Image


Can't read the image? click here to refresh.
    *required field

Your bulk quote request has been submitted successfully!

Please contact us if you have any questions.