• Tel: 858.663.9055
  • SeparatorEmail: info@nsjbio.com
  • Tel: 858.663.9055
  • Email: info@nsjbio.com
Home >> Antibodies >> Prostein Antibody / Prostate Epithelial Differentiation Marker Antibody

Prostein Antibody / Prostate Epithelial Differentiation Marker Antibody [clone ZR9] (V8600)

  Catalog No Formulation Size Price (USD)  
Image V8600-100UG 0.2 mg/ml in 1X PBS with 0.1 mg/ml BSA (US sourced) and 0.05% sodium azide 100 ug 559
Image
V8600-20UG 0.2 mg/ml in 1X PBS with 0.1 mg/ml BSA (US sourced) and 0.05% sodium azide 20 ug 259
Image
V8600SAF-100UG 1 mg/ml in 1X PBS; BSA free, sodium azide free 100 ug 559
Microvalidated Recrabbitmono
Bulk quote request
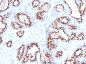
Prostein Antibody for IHC. Immunohistochemistry analysis of Prostein / SLC45A3 antibody staining in FFPE human prostate carcinoma using clone ZR9. Strong cytoplasmic and perinuclear staining is observed in tumor epithelial cells forming glandular structures, consistent with Golgi-associated localization of Prostein, while surrounding stromal components remain largely negative. The staining highlights prostate epithelial differentiation within malignant glands and preserves luminal cell architecture, supporting the role of SLC45A3 as a prostate lineage marker in carcinoma tissue. Heat-induced epitope retrieval was performed in pH 9 Tris-EDTA buffer for 20 minutes followed by cooling prior to antibody incubation.
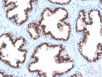
IHC staining of FFPE human prostate with recombinant Prostein antibody (clone ZR9). HIER: boil tissue sections in pH 9 10mM Tris with 1mM EDTA for 20 min and allow to cool before testing.
Prostein Antibody Microarray Specificity Validation. Analysis of HuProt(TM) protein microarray using Prostein / SLC45A3 antibody (clone ZR9). Screening against more than 19,000 full-length human proteins demonstrates strong and selective binding to SLC45A3 as the top-ranked target, with minimal off-target reactivity across the array, supporting high specificity of the ZR9 monoclonal antibody. Signal strength is represented by the Z-score, which reflects standard deviations above the mean signal intensity across all proteins, while the S-score represents the difference in signal between the top-ranked target and the next highest signal, indicating relative binding specificity.
Availability 1-3 business days
Species Reactivity Human
Format Purified
Host Rabbit
Clonality Recombinant Rabbit Monoclonal
Isotype Rabbit IgG
Clone Name ZR9
Purity Protein A affinity chromatography
UniProt Q96JT2
Localization Membrane, Vesicles, Nucleus
Applications Immunohistochemistry (FFPE) : 1-2ug/ml for 30 minutes at RT
Limitations This recombinant Prostein antibody is available for research use only.
Review this product on BioCompare and get a $20 Amazon gift card

Related Products

Description

Solute carrier family 45 member 3 (SLC45A3), commonly known as Prostein, is a prostate-restricted protein encoded by the SLC45A3 gene and localized primarily to the Golgi apparatus in secretory epithelial cells. Prostein Antibody is widely used to detect SLC45A3 as a marker of prostate epithelial differentiation, particularly within luminal cell populations that define glandular structure and function in the prostate.

Prostein antibody, also referred to as SLC45A3 antibody or prostate-specific androgen-regulated protein antibody, shows highly selective expression in prostate epithelial cells with minimal detection in non-prostatic tissues. This restricted expression profile reflects its role in maintaining epithelial identity and makes it a useful marker for distinguishing prostate-derived cells from other epithelial or stromal cell types. Its presence is closely associated with differentiated luminal epithelial cells, which are responsible for secretory activity within the prostate gland.

SLC45A3 is transcriptionally regulated by androgen receptor signaling and contributes to maintaining the differentiated state of prostate epithelial cells. Its expression is linked to androgen-responsive gene programs that support epithelial structure, polarity, and secretory function. As a result, Prostein serves as a reliable indicator of epithelial differentiation status in both normal prostate tissue and disease contexts where cellular identity may be altered.

The SLC45A3 protein localizes to the Golgi apparatus, producing a characteristic perinuclear staining pattern that reflects its role in intracellular trafficking and protein processing. This localization is consistent with the functional demands of differentiated epithelial cells, which require efficient protein sorting and secretion. The distinct subcellular distribution of Prostein provides additional context for interpreting expression patterns in tissue and cell-based studies.

Prostein Antibody clone ZR9 enables the identification of prostate epithelial cell populations and supports studies of epithelial differentiation, tissue organization, and lineage identity. In prostate cancer research, retention of SLC45A3 expression in many tumors further highlights its association with epithelial phenotype. Its combination of tissue specificity, functional relevance, and defined intracellular localization makes it a valuable tool for investigating prostate epithelial biology and differentiation-dependent processes.

Application Notes

Optimal dilution of the Prostein Antibody / Prostate Epithelial Differentiation Marker Antibody should be determined by the researcher.

Immunogen

An N terminus region peptide from the human protein was used as the immunogen for the Prostein Antibody / Prostate Epithelial Differentiation Marker Antibody.

Storage

Store the recombinant Prostein antibody at 2-8oC (with azide) or aliquot and store at -20oC or colder (without azide).

Alternate Names

SLC45A3 antibody, Prostein antibody, Prostate epithelial marker antibody, SLC45A3 differentiation marker antibody, Prostein luminal cell marker antibody

Cross
Bulk Quote Request Form
Name*:
Organization*:
Email*:
Phone Number*:
Catalog No.*:
Comments and Specifics(amount, formulation, etc.)*:
Validation code: Captchapackage Image


Can't read the image? click here to refresh.
    *required field

Your bulk quote request has been submitted successfully!

Please contact us if you have any questions.