• Tel: 858.663.9055
  • SeparatorEmail: info@nsjbio.com
  • Tel: 858.663.9055
  • Email: info@nsjbio.com
Home >> Antibodies >> Recombinant Podoplanin Antibody

Recombinant Podoplanin Antibody [clone PDPN/4009R] (V8695)

  Catalog No Formulation Size Price (USD)  
Image V8695-100UG 0.2 mg/ml in 1X PBS with 0.1 mg/ml BSA (US sourced) and 0.05% sodium azide 100 ug 559
Image
V8695-20UG 0.2 mg/ml in 1X PBS with 0.1 mg/ml BSA (US sourced) and 0.05% sodium azide 20 ug 259
Image
V8695SAF-100UG 1 mg/ml in 1X PBS; BSA free, sodium azide free 100 ug 559
Microvalidated Recrabbitmono
Bulk quote request
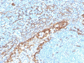
IHC staining of FFPE human tonsil with recombinant Podoplanin antibody (clone PDPN/4009R). HIER: boil tissue sections in pH 9 10mM Tris with 1mM EDTA for 20 min and allow to cool before testing.
IHC staining of FFPE human tonsil with recombinant Podoplanin antibody (clone PDPN/4009R). HIER: boil tissue sections in pH 9 10mM Tris with 1mM EDTA for 20 min and allow to cool before testing.
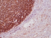
IHC staining of FFPE human seminoma tissue with recombinant Podoplanin antibody (clone PDPN/4009R). HIER: boil tissue sections in pH 9 10mM Tris with 1mM EDTA for 20 min and allow to cool before testing.
Western blot testing of human lung tissue lysate with recombinant Podoplanin antibody. Predicted molecular weight ~25 kDa but may be observed at higher molecular weights due to glycosylation.
Availability 1-3 business days
Species Reactivity Human
Format Purified
Host Rabbit
Clonality Recombinant Rabbit Monoclonal
Isotype Rabbit IgG
Clone Name PDPN/4009R
Purity Protein A affinity chromatography
UniProt Q86YL7
Localization Cell surface, cytoplasmic
Applications ELISA (order Ab Without BSA For Coating) :
Western Blot : 2-4ug/ml
Immunohistochemistry (FFPE) : 1-2ug/ml for 30 minutes at RT
Limitations This recombinant Podoplanin antibody is available for research use only.
Review this product on BioCompare and get a $20 Amazon gift card

Related Products

Description

It recognizes a muco-protein of 38-43kDa, which is identified as Podoplanin (PDPN). It localizes in stromal cells of peripheral lymphoid tissue and thymic epithelial cells. As a regulator of the lymphatic endothelium, podoplanin probably plays a role in maintaining the unique shape of podocytes. It is selectively expressed in lymphatic endothelium as well as lymphoangiomas, Kaposi sarcomas, and in a subset of angiosarcomas with probable lymphatic differentiation. Recent studies have also shown podoplanin to be a highly sensitive and relatively specific marker for epithelioid mesothelioma. Therefore, it can be used in a panel to distinguish mesotheliomas or mesothelial cells from pulmonary carcinomas.

Application Notes

Optimal dilution of the recombinant Podoplanin antibody should be determined by the researcher.

Immunogen

A portion of amino acids 1-100 from the human protein was used as the immunogen for the recombinant Podoplanin antibody.

Storage

Store the recombinant Podoplanin antibody at 2-8oC (with azide) or aliquot and store at -20oC or colder (without azide).

Cross
Bulk Quote Request Form
Name*:
Organization*:
Email*:
Phone Number*:
Catalog No.*:
Comments and Specifics(amount, formulation, etc.)*:
Validation code: Captchapackage Image


Can't read the image? click here to refresh.
    *required field

Your bulk quote request has been submitted successfully!

Please contact us if you have any questions.