• Tel: 858.663.9055
  • SeparatorEmail: info@nsjbio.com
  • Tel: 858.663.9055
  • Email: info@nsjbio.com
Home >> Antibodies >> Recombinant Phosphothreonine Antibody

Recombinant Phosphothreonine Antibody [clone RM102] (R20193)

  Catalog No Formulation Size Price (USD)  
Image R20193-100UG 1 mg/ml in PBS with 50% glycerol, 1% BSA and 0.09% sodium azide 100 ug 485
Microvalidated Recrabbitmono
Bulk quote request
ICC of serum-starved human A431 cells non-treated or treated with Calyculin A/Okadaic Acid, using the recombinant Phosphothreonine antibody at 1:500 (PE-secondary, red) and DAPI (blue).
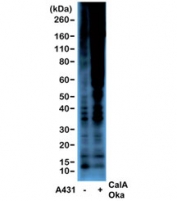
Western blot of serum-starved human A431 cells non-treated or treated with Calyculin A/Okadaic Acid, using the recombinant Phosphothreonine antibody at 1:2000.
IP of Calyculin A/Okadaic Acid treated human A431 cells by the recombinant Phosphothreonine antibody at 1:500, and then blotted with same mAb at 1:2000. (1) Whole lysate control; (2) IP by rabbit IgG control; (3) IP by RM102.
The recombinant Phosphothreonine antibody recognizes phosphorylated threonine in peptides with different sequences. It has minimal cross-reactivity with phosphorylated serine.
Availability 1-3 business days
Species Reactivity All Species
Format Purified
Host Rabbit
Clonality Recombinant Rabbit Monoclonal
Isotype Rabbit IgG
Clone Name RM102
Purity Protein A purified from animal origin-free supernatant
Gene ID N/A
Applications Western Blot : 1:500 -1:2000 dilution
Immunoprecipitation : 1:100-1:500 dilution
Chromatin IP (ChIP) : 1:100-1:500 dilution
Immunocytochemistry : 1:100-1:500 dilution
Immunohistochemistry : 1:100-1:500 dilution (1)
Limitations This recombinant Phosphothreonine antibody is available for research use only.
Review this product on BioCompare and get a $20 Amazon gift card

Description

The Recombinant Phosphothreonine antibody is a recombinant reagent engineered to specifically recognize phosphorylated threonine residues within proteins. Protein phosphorylation is one of the most important post-translational modifications, serving as a reversible regulatory mechanism in nearly all cellular processes. Threonine phosphorylation, along with serine and tyrosine phosphorylation, plays a central role in controlling cell cycle progression, apoptosis, signal transduction, and metabolic regulation. The Recombinant Phosphothreonine antibody provides researchers with a highly specific tool for detecting phosphorylated threonine residues, enabling accurate study of phosphorylation-dependent pathways.

Phosphorylation on threonine residues is catalyzed by a broad class of serine/threonine kinases, which are critical regulators of intracellular signaling. Examples include cyclin-dependent kinases, MAP kinases, and protein kinase C family members. Dysregulation of threonine phosphorylation is frequently associated with cancer, neurodegenerative diseases, and metabolic disorders. The Recombinant Phosphothreonine antibody detects these modifications independent of the surrounding protein sequence, making it a versatile reagent for global phosphoprotein profiling as well as specific pathway analysis.

In laboratory applications, the Recombinant Phosphothreonine antibody is used in western blotting to identify phosphorylated proteins across diverse signaling cascades. In immunoprecipitation, it enriches phosphothreonine-containing proteins for downstream analysis by mass spectrometry. In immunohistochemistry and immunofluorescence, the antibody visualizes spatial and temporal patterns of threonine phosphorylation within tissues or cells. The recombinant production platform ensures batch-to-batch consistency, eliminating the variability that may occur with polyclonal phospho-specific antibodies and providing researchers with reproducible results across experiments.

This reagent is particularly valuable for studying dynamic signaling events. Because phosphorylation is reversible and often occurs transiently, detection requires antibodies with both high specificity and sensitivity. The Recombinant Phosphothreonine antibody meets these requirements, making it suitable for time-course studies, kinase pathway analysis, and validation of pharmacological inhibitors that target signaling enzymes. Synonym terms such as recombinant anti-phosphothreonine antibody and recombinant pThr antibody broaden product visibility for scientists using alternate nomenclature.

By offering validated and reproducible detection, the Recombinant Phosphothreonine antibody strengthens the reliability of phospho-proteomic studies and supports discoveries in signaling biology. NSJ Bioreagents provides this antibody under rigorous quality control standards, ensuring consistent performance in western blotting, immunoprecipitation, and imaging applications. With the Recombinant Phosphothreonine antibody, researchers gain a powerful tool for unraveling the complexity of threonine phosphorylation and its impact on health and disease.

This recombinant Phosphothreonine antibody reacts with threonine-phosphorylated proteins. No cross reactivity with nonphosphorylated threonine, phosphoserine, and phosphotyrosine. It shows slight cross-reactivity with a few phospho-serine-containing peptides.

Application Notes

The stated application concentrations are suggested starting points. Titration of the recombinant Phosphothreonine antibody may be required due to differences in protocols and secondary/substrate sensitivity.

1. A pH6 Citrate buffer or pH9 Tris/EDTA buffer HIER step is recommended for testing of FFPE tissue sections.

Immunogen

Mixture of phosphothreonine-BSA conjugate and a phosphothreonine containing peptide was used as the immunogen for this recombinant Phosphothreonine antibody.

Storage

Store the recombinant Phosphothreonine antibody at -20oC (with glycerol) or aliquot and store at -20oC (without glycerol).

Cross
Bulk Quote Request Form
Name*:
Organization*:
Email*:
Phone Number*:
Catalog No.*:
Comments and Specifics(amount, formulation, etc.)*:
Validation code: Captchapackage Image


Can't read the image? click here to refresh.
    *required field

Your bulk quote request has been submitted successfully!

Please contact us if you have any questions.