• Tel: 858.663.9055
  • SeparatorEmail: info@nsjbio.com
  • Tel: 858.663.9055
  • Email: info@nsjbio.com
Home >> Antibodies >> Recombinant Periostin Antibody / POSTN

Recombinant Periostin Antibody / POSTN [clone POSTN/8523R] (V4324)

  Catalog No Formulation Size Price (USD)  
Image V4324-100UG 0.2 mg/ml in 1X PBS with 0.1 mg/ml BSA (US sourced), 0.05% sodium azide 100 ug 559
Image
V4324-20UG 0.2 mg/ml in 1X PBS with 0.1 mg/ml BSA (US sourced), 0.05% sodium azide 20 ug 259
Image
V4324SAF-100UG 1 mg/ml in 1X PBS; BSA free, sodium azide free 100 ug 559
Microvalidated Recrabbitmono
Bulk quote request
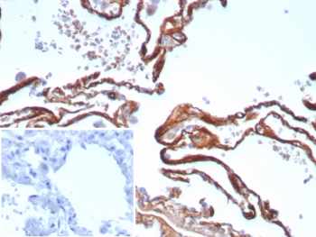
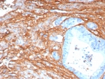
Immunohistochemistry of Periostin antibody in human lung tissue. Formalin-fixed, paraffin-embedded human lung was stained with recombinant monoclonal Periostin antibody (clone POSTN/8523R) following heat-induced epitope retrieval by boiling in pH 9 10 mM Tris with 1 mM EDTA for 20 minutes and cooling prior to testing. HRP-DAB brown chromogenic signal highlights extracellular matrix and stromal regions along alveolar septa and peribronchial connective tissue, consistent with the secreted and matrix-associated localization of Periostin. The inset image shows PBS in place of the primary antibody as a secondary-only negative control, demonstrating minimal non-specific background staining.
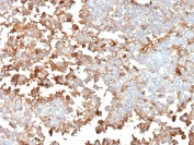
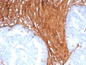
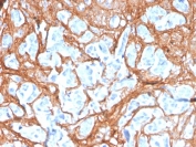
IHC staining of FFPE human colon tissue with recombinant Periostin antibody (clone POSTN/8523R). HIER: boil tissue sections in pH 9 10mM Tris with 1mM EDTA for 20 min and allow to cool before testing.
SDS-PAGE analysis of purified, BSA-free recombinant Periostin antibody (clone POSTN/8523R) as confirmation of integrity and purity.
Availability 1-3 business days
Species Reactivity Human
Format Purified
Host Rabbit
Clonality Recombinant Rabbit Monoclonal
Isotype Rabbit IgG, kappa
Clone Name POSTN/8523R
Purity Protein A/G affinity
UniProt Q15063
Localization Secreted, Cytoplasm
Applications Immunohistochemistry (FFPE) : 1-2ug/ml for 30 minutes at RT
Limitations This recombinant Periostin antibody is available for research use only.
Review this product on BioCompare and get a $20 Amazon gift card

Related Products

Description

Periostin antibody recognizes Periostin, a secreted extracellular matrix protein encoded by the POSTN gene and also known as osteoblast specific factor 2. Recombinant Periostin Antibody (clone POSTN/8523R) is developed for research applications focused on detection of this matricellular protein in tissue sections and cell lysates. Periostin is synthesized with a signal peptide and secreted into the extracellular space, where it integrates into the interstitial matrix and basement membrane to regulate tissue structure and cell-matrix signaling.

Periostin antibody, also referred to as POSTN antibody and OSF-2 antibody, targets a member of the fasciclin family characterized by an N-terminal EMI domain and four tandem fasciclin-like domains. These domains enable interaction with integrins such as alpha v beta 3 and alpha v beta 5, as well as extracellular matrix components including collagen type I and fibronectin. Through these interactions, Periostin supports fibroblast activation, cytoskeletal organization, and collagen fibrillogenesis, particularly in mechanically stressed tissues.

POSTN expression is enriched in periosteum, periodontal ligament, heart valves, and fibrous connective tissues. During development and wound repair, Periostin is upregulated to promote matrix remodeling and tissue stabilization. In cardiovascular biology, it contributes to valvular morphogenesis and adaptive remodeling. Elevated expression has also been documented in fibrotic conditions, where it is associated with excessive extracellular matrix deposition and progressive tissue stiffening.

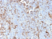
In oncology research, Periostin is frequently detected within tumor-associated stroma rather than malignant epithelial cells. Increased POSTN expression has been reported in breast, lung, colorectal, pancreatic, and ovarian cancers, often localized to cancer-associated fibroblasts and peritumoral connective tissue. This stromal pattern makes Periostin antibody valuable for investigation of tumor microenvironment dynamics, epithelial-mesenchymal transition, and metastatic progression.

The recombinant monoclonal clone POSTN/8523R provides specific recognition of Periostin for research use, supporting studies of extracellular matrix biology, fibrosis, development, and cancer-associated stromal remodeling at NSJ Bioreagents.

Application Notes

Optimal dilution of the recombinant Periostin antibody should be determined by the researcher.

Immunogen

A recombinant partial protein sequence (within amino acids 193-326) from the human protein was used as the immunogen for the Periostin antibody.

Storage

Aliquot the recombinant Periostin antibody and store frozen at -20oC or colder. Avoid repeated freeze-thaw cycles.

Cross
Bulk Quote Request Form
Name*:
Organization*:
Email*:
Phone Number*:
Catalog No.*:
Comments and Specifics(amount, formulation, etc.)*:
Validation code: Captchapackage Image


Can't read the image? click here to refresh.
    *required field

Your bulk quote request has been submitted successfully!

Please contact us if you have any questions.