• Tel: 858.663.9055
  • SeparatorEmail: info@nsjbio.com
  • Tel: 858.663.9055
  • Email: info@nsjbio.com
Home >> Antibodies >> Recombinant PEG Antibody (Methoxy group) Biotin Conjugate

Recombinant PEG Antibody (Methoxy group) Biotin Conjugate [clone RM105] (R20194BTN)

  Catalog No Formulation Size Price (USD)  
Image R20194BTN-50UG 1 mg/ml in PBS with 50% glycerol, 1% BSA and 0.09% sodium azide 50 ug 530
Microvalidated Recrabbitmono
Bulk quote request
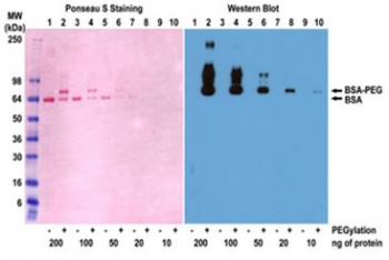
Western blot of BSA and PEGylated BSA (mPEG 5 kDa) using the recombinant PEG antibody 0.1 ug/ml.
IHC testing of mouse liver and kidney using 0.5 ug/ml of recombinant PEG antibody. The mouse was injected with PEG-BSA or BSA for 3 hours before sampling. A pH6 Citrate buffer or pH9 Tris/EDTA buffer HIER step is recommended for testing of FFPE tissue sections.
ELISA of three different PEGylated BSAs using the recombinant PEG antibody.
Availability 1-3 business days
Species Reactivity All Species
Format Biotin Conjugate
Host Rabbit
Clonality Recombinant Rabbit Monoclonal
Isotype Rabbit IgG
Clone Name RM105
Purity Protein A purified from animal origin-free supernatant
Gene ID N/A
Applications ELISA : 0.02ug/ml-0.5ug/ml
Immunohistochemistry : 0.5-2ug/ml
Western Blot : 0.1-1ug/ml
Limitations This recombinant PEG antibody is available for research use only.
Review this product on BioCompare and get a $20 Amazon gift card

Related Products

Description

This recombinant PEG antibody reacts to the methoxy group of Polyethylene glycol (PEG). It is specific for methoxypoly(ethylene glycol).

Application Notes

The stated application concentrations are suggested starting points. Titration of the recombinant PEG antibody may be required due to differences in protocols and secondary/substrate sensitivity.

Immunogen

KLH-PEG with terminal methoxy group was used as the immunogen for this recombinant PEG antibody.

Storage

Store the recombinant PEG antibody at -20oC.

Cross
Bulk Quote Request Form
Name*:
Organization*:
Email*:
Phone Number*:
Catalog No.*:
Comments and Specifics(amount, formulation, etc.)*:
Validation code: Captchapackage Image


Can't read the image? click here to refresh.
    *required field

Your bulk quote request has been submitted successfully!

Please contact us if you have any questions.