• Tel: 858.663.9055
  • SeparatorEmail: info@nsjbio.com
  • Tel: 858.663.9055
  • Email: info@nsjbio.com
Home >> Antibodies >> PD-L1 Antibody Recombinant Mouse MAb rPDL1/4772

PD-L1 Antibody Recombinant Mouse MAb rPDL1/4772 [clone rPDL1/4772] (V8598)

  Catalog No Formulation Size Price (USD)  
Image V8598-100UG 0.2 mg/ml in 1X PBS with 0.1 mg/ml BSA (US sourced) and 0.05% sodium azide 100 ug 559
Image
V8598-20UG 0.2 mg/ml in 1X PBS with 0.1 mg/ml BSA (US sourced) and 0.05% sodium azide 20 ug 259
Image
V8598SAF-100UG 1 mg/ml in 1X PBS; BSA free, sodium azide free 100 ug 559
Microvalidated Recmousemono
Bulk quote request
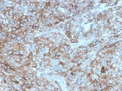
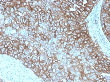
Immunohistochemistry analysis of PD-L1 antibody in human breast carcinoma. PD-L1 Antibody Recombinant Mouse MAb rPDL1/4772 was used for immunohistochemistry on FFPE human breast carcinoma tissue. Prominent HRP-DAB brown membranous staining is observed in malignant epithelial cells, consistent with the cell surface localization of Programmed death-ligand 1 (PD-L1 / CD274), an immune checkpoint ligand involved in regulation of T cell responses within the tumor microenvironment. The staining outlines clusters of carcinoma cells with strong circumferential membranous signal, while surrounding stromal elements show minimal staining. Heat-induced epitope retrieval was performed by boiling tissue sections in pH 9 10mM Tris with 1mM EDTA for 20 min followed by cooling prior to immunostaining.
IHC staining of FFPE human breast carcinoma with recombinant mouse PD-L1 antibody (clone rPDL1/4772). HIER: boil tissue sections in pH 9 10mM Tris with 1mM EDTA for 20 min and allow to cool before testing.
SDS-PAGE analysis of purified, BSA-free recombinant PD-L1 antibody (clone rPDL1/4772) as confirmation of integrity and purity.
Availability 1-3 business days
Species Reactivity Human
Format Purified
Host Mouse
Clonality Recombinant Mouse Monoclonal
Isotype Mouse IgG2a, kappa
Clone Name rPDL1/4772
Purity Protein G affinity chromatography
UniProt Q9NZQ7
Localization Cell surface, cytoplasmic
Applications Immunohistochemistry (FFPE) : 1-2ug/ml for 30 minutes at RT
Limitations This PD-L1 antibody is available for research use only.
Review this product on BioCompare and get a $20 Amazon gift card

Related Products

Description

Programmed death-ligand 1 (PD-L1), encoded by the CD274 gene, is a key immune checkpoint ligand that regulates T cell activation and immune tolerance. PD-L1 Antibody Recombinant Mouse MAb rPDL1/4772 targets this transmembrane immunoregulatory protein that is widely known in the literature as PD-L1, CD274, or B7-H1. PD-L1 belongs to the B7 family of immune regulatory molecules and functions primarily through interaction with the inhibitory receptor PD-1 on activated T lymphocytes. Because of this biology, PD-L1 antibody detection is widely used in research examining immune checkpoint signaling, tumor immune escape mechanisms, and immune regulation within epithelial and immune cell populations.

The PD-1/PD-L1 signaling pathway plays a central role in maintaining immune homeostasis. Binding of PD-L1 to PD-1 transmits inhibitory signals that reduce T cell proliferation, cytokine production, and cytotoxic activity, thereby limiting immune responses and preventing excessive immune activation. While this checkpoint pathway is essential for immune tolerance, many tumors exploit the mechanism by increasing PD-L1 expression on tumor epithelial cells and tumor-associated immune cells. Elevated PD-L1 levels suppress anti-tumor immune responses and allow malignant cells to evade immune surveillance. For this reason, CD274 antibody reagents are widely used in studies investigating tumor immunology, immune checkpoint regulation, and inflammatory signaling pathways.

The CD274 gene is located on chromosome 9p24.1 and encodes a type I transmembrane glycoprotein containing extracellular immunoglobulin-like domains typical of B7 family proteins. PD-L1 expression can normally be detected on antigen-presenting cells such as dendritic cells and macrophages, as well as on certain epithelial and endothelial cells. Expression is strongly induced by inflammatory cytokines, particularly interferon-gamma, which activates transcriptional pathways that increase PD-L1 expression during immune responses. In pathological conditions such as cancer, PD-L1 expression is frequently elevated in tumor epithelial cells and infiltrating immune cells, linking CD274 expression to regulation of immune responses within the tumor microenvironment.

Several strong literature synonyms are commonly used for this immune checkpoint ligand, including PD-L1, Programmed death-ligand 1, B7-H1, and PDCD1 ligand 1. These established names help ensure consistent recognition of the CD274 immune checkpoint protein across immunology, oncology, and pathology research. In tissue-based studies, PD-L1 antibody staining is typically observed as membranous signal in epithelial cells and immune cell populations where the protein functions as a cell surface ligand regulating T cell responses. Clone rPDL1/4772 is a recombinant mouse monoclonal antibody designed to recognize PD-L1 protein expression in relevant experimental systems. This PD-L1 antibody is available from NSJ Bioreagents for investigators studying immune checkpoint signaling, tumor immunology, and immune regulation.

This PD-L1 antibody is part of a broader PD-L1 antibody panel offered by NSJ Bioreagents.

Application Notes

Optimal dilution of the PD-L1 Antibody recombinant mouse mAb rPDL1/4772 should be determined by the researcher.

Immunogen

A linear peptide specific to human PD-L1 was used as the immunogen for the recombinant PD-L1 antibody.

Storage

Store the PD-L1 antibody at 2-8oC (with azide) or aliquot and store at -20oC or colder (without azide).

Cross
Bulk Quote Request Form
Name*:
Organization*:
Email*:
Phone Number*:
Catalog No.*:
Comments and Specifics(amount, formulation, etc.)*:
Validation code: Captchapackage Image


Can't read the image? click here to refresh.
    *required field

Your bulk quote request has been submitted successfully!

Please contact us if you have any questions.