• Tel: 858.663.9055
  • SeparatorEmail: info@nsjbio.com
  • Tel: 858.663.9055
  • Email: info@nsjbio.com
Home >> Antibodies >> Recombinant PD-L1 Antibody PDL1/4451R / B7-H1 / CD274

Recombinant PD-L1 Antibody PDL1/4451R / B7-H1 / CD274 [clone PDL1/4451R] (V8067)

  Catalog No Formulation Size Price (USD)  
Image V8067-100UG 0.2 mg/ml in 1X PBS with 0.1 mg/ml BSA (US sourced) and 0.05% sodium azide 100 ug 559
Image
V8067-20UG 0.2 mg/ml in 1X PBS with 0.1 mg/ml BSA (US sourced) and 0.05% sodium azide 20 ug 259
Image
V8067SAF-100UG 1 mg/ml in 1X PBS; BSA free, sodium azide free 100 ug 559
Microvalidated Recrabbitmono
Bulk quote request
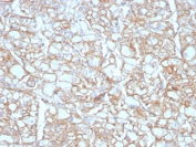
Immunohistochemistry analysis of PD-L1 antibody in human lung squamous cell carcinoma. Recombinant PD-L1 Antibody PDL1/4451R was used for immunohistochemistry on FFPE human lung squamous cell carcinoma tissue. HRP-DAB brown membranous staining is observed in malignant squamous epithelial cells, consistent with the cell surface localization of Programmed death-ligand 1 (PD-L1 / CD274), an immune checkpoint ligand involved in regulation of T cell responses within the tumor microenvironment. The staining highlights clusters of tumor epithelial cells showing membranous PD-L1 expression, while surrounding stromal regions show minimal signal. Heat-induced epitope retrieval was performed by boiling tissue sections in pH 9 10mM Tris with 1mM EDTA for 10-20 min followed by cooling at room temperature for 20 min prior to staining.
IHC testing of FFPE lung SCC with recombinant PD-L1 antibody (clone PDL1/4451R). HIER: boil tissue sections in pH 9 10mM Tris with 1mM EDTA for 10-20 min followed by cooling at RT for 20 min.
Availability 1-3 business days
Species Reactivity Human
Format Purified
Host Mouse
Clonality Recombinant Rabbit Monoclonal
Isotype Rabbit IgG, kappa
Clone Name PDL1/4451R
Purity Protein A affinity chromatography
UniProt Q9NZQ7
Localization Cell surface, cytoplasm
Applications Immunohistochemistry (FFPE) : 1-2ug/ml for 30 min at RT
Limitations This recombinant PD-L1 antibody is available for research use only.
Review this product on BioCompare and get a $20 Amazon gift card

Related Products

Description

Programmed death-ligand 1 (PD-L1), encoded by the CD274 gene, is an immune checkpoint ligand that plays a central role in regulating T cell activity and maintaining immune tolerance. Recombinant PD-L1 Antibody PDL1/4451R targets this transmembrane immunoregulatory protein, which is widely described in the literature as PD-L1, B7-H1, or CD274. PD-L1 belongs to the B7 family of immune regulatory molecules and functions primarily through interaction with the inhibitory receptor PD-1 expressed on activated T lymphocytes. Because of this biology, PD-L1 antibody detection is widely used in research examining immune checkpoint signaling, tumor immune evasion, and immune regulation within epithelial and immune cell populations.

The PD-1/PD-L1 immune checkpoint pathway is an essential mechanism for maintaining peripheral immune tolerance. Binding of PD-L1 to PD-1 suppresses T cell proliferation, cytokine secretion, and cytotoxic activity, helping to prevent excessive immune activation and autoimmune damage. However, many cancers exploit this pathway by increasing PD-L1 expression on tumor epithelial cells and tumor-associated immune cells. Elevated PD-L1 levels inhibit anti-tumor immune responses and enable tumor cells to evade immune surveillance. For this reason, CD274 antibody reagents are frequently used in studies investigating tumor immunology, immune checkpoint biology, and inflammatory signaling pathways.

The CD274 gene is located on chromosome 9p24.1 and encodes a type I transmembrane glycoprotein containing extracellular immunoglobulin-like domains characteristic of B7 family members. PD-L1 expression is normally detected on antigen-presenting cells including dendritic cells and macrophages, as well as on certain epithelial and endothelial cell populations. Expression is strongly induced by inflammatory cytokines, particularly interferon-gamma, which activates transcriptional pathways that increase PD-L1 production during immune responses. In pathological contexts such as cancer, PD-L1 expression is frequently elevated in tumor epithelial cells and infiltrating immune cells, linking CD274 expression to regulation of immune responses within the tumor microenvironment.

Several strong literature synonyms are commonly used for this protein, including PD-L1, Programmed death-ligand 1, B7-H1, and PDCD1 ligand 1. These established names help ensure consistent recognition of the CD274 immune checkpoint ligand across immunology, oncology, and pathology research. In tissue-based studies, PD-L1 antibody staining is typically observed as membranous signal in epithelial cells and immune cell populations where the protein functions as a cell surface ligand regulating T cell responses. Clone PDL1/4451R is a recombinant antibody designed to recognize PD-L1 protein expression in research applications involving immune checkpoint signaling and tumor immunology. This PD-L1 antibody is available from NSJ Bioreagents for investigators studying immune regulation, tumor immune interactions, and inflammatory signaling pathways.

This PD-L1 antibody is part of a broader PD-L1 antibody panel offered by NSJ Bioreagents.

Application Notes

Optimal dilution of the recombinant PD-L1 antibody PDL1/4451R should be determined by the researcher.

Immunogen

A portion of amino acids 39-191 from the human protein was used as the immunogen for this recombinant PD-L1 antibody.

Storage

Store the recombinant PD-L1 antibody at 2-8oC (with azide) or aliquot and store at -20oC or colder (without azide).

Cross
Bulk Quote Request Form
Name*:
Organization*:
Email*:
Phone Number*:
Catalog No.*:
Comments and Specifics(amount, formulation, etc.)*:
Validation code: Captchapackage Image


Can't read the image? click here to refresh.
    *required field

Your bulk quote request has been submitted successfully!

Please contact us if you have any questions.