• Tel: 858.663.9055
  • SeparatorEmail: info@nsjbio.com
  • Tel: 858.663.9055
  • Email: info@nsjbio.com
Home >> Antibodies >> PAX8 Antibody / Differential Diagnosis Panel Marker Antibody

PAX8 Antibody / Differential Diagnosis Panel Marker Antibody [clone rPAX8/3687] (V8626)

  Catalog No Formulation Size Price (USD)  
Image V8626-100UG 0.2 mg/ml in 1X PBS with 0.1 mg/ml BSA (US sourced) and 0.05% sodium azide 100 ug 559
Image
V8626-20UG 0.2 mg/ml in 1X PBS with 0.1 mg/ml BSA (US sourced) and 0.05% sodium azide 20 ug 259
Image
V8626SAF-100UG 1 mg/ml in 1X PBS; BSA free, sodium azide free 100 ug 559
Microvalidated Recmousemono
Bulk quote request
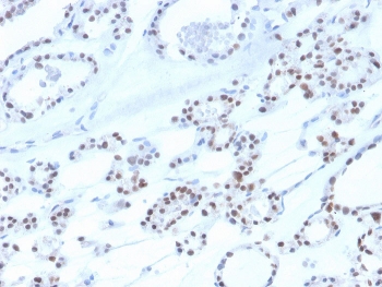
PAX8 Antibody / Differential Diagnosis Panel Marker Antibody immunohistochemistry in human thyroid tissue showing strong nuclear HRP-DAB brown staining in follicular epithelial cells. Paired box protein Pax-8 (PAX8) expression is localized to nuclei lining thyroid follicles, with clear staining of epithelial cells surrounding colloid-filled lumina and minimal signal in stromal components. The distinct nuclear staining pattern supports its role within differential diagnosis panels, where PAX8 positivity can be interpreted alongside other lineage markers to distinguish thyroid-derived tumors from morphologically similar malignancies. Negative cells retain hematoxylin-only nuclear staining, providing clear contrast for panel-based interpretation. HIER: boil tissue sections in pH 9 10mM Tris with 1mM EDTA for 20 min and allow to cool before testing.
SDS-PAGE analysis of purified, BSA-free PAX8 Antibody / Differential Diagnosis Panel Marker Antibody as confirmation of integrity and purity.
Availability 1-3 business days
Species Reactivity Human
Format Purified
Host Mouse
Clonality Recombinant Mouse Monoclonal
Isotype Mouse IgG1, kappa
Clone Name rPAX8/3687
Purity Protein G affinity chromatography
UniProt Q06710
Localization Nuclear
Applications Immunohistochemistry (FFPE) : 1-2ug/ml for 30 minutes at RT
Limitations This PAX8 antibody is available for research use only.
Review this product on BioCompare and get a $20 Amazon gift card

Related Products

Description

Paired box protein Pax-8 (PAX8) is a nuclear transcription factor encoded by the PAX8 gene that functions in epithelial lineage specification across thyroid, renal, and Mullerian-derived tissues. Its selective expression pattern makes it an essential component of multi-marker strategies used to resolve diagnostic ambiguity in tissue-based studies. PAX8 Antibody is widely incorporated into differential diagnosis panels where interpretation depends on comparison with other lineage-defining markers.

PAX8 antibody, also referred to as Paired box protein Pax-8 antibody or Pax-8 transcription factor antibody, is uniquely positioned for panel-based analysis because its expression complements and contrasts with other commonly used markers. This PAX8 Antibody is uniquely positioned for studies that require coordinated interpretation of multiple transcription factors, particularly in cases where tumors exhibit overlapping morphological features. Nuclear PAX8 staining provides a definitive signal that can be directly compared with markers such as TTF1, GATA3, WT1, and others within the same specimen.

Functionally, PAX8 defines a subset of epithelial lineages that partially overlap with other transcription factor networks. For example, thyroid tumors may share features with lung-derived tumors, while Mullerian tumors may resemble other epithelial malignancies. In these contexts, PAX8 serves as a discriminating marker that helps refine classification when used alongside complementary or mutually exclusive markers.

The strength of PAX8 in differential diagnosis lies in its ability to provide both positive and negative interpretive value. Positive nuclear staining supports specific lineage assignments, while absence of staining can exclude certain origins when considered in combination with other markers. This dual role enhances its utility in panel-based approaches where multiple markers contribute to a final diagnosis.

At the tissue level, PAX8 demonstrates clear nuclear localization with minimal background, facilitating straightforward comparison across markers that may localize to different cellular compartments. This consistency improves interpretive confidence in multiplex or sequential staining approaches and supports accurate analysis of complex tissue samples.

PAX8 Antibody therefore serves as a critical component of differential diagnosis panels, enabling refined classification of epithelial tumors through combined marker analysis. Its lineage-specific expression, clear nuclear staining pattern, and compatibility with other markers make it indispensable for studies focused on tumor classification, comparative pathology, and diagnostic interpretation.

Application Notes

Optimal dilution of the PAX8 Antibody / Differential Diagnosis Panel Marker Antibody should be determined by the researcher.

Immunogen

A synthetic peptide corresponding to the C-terminus of the human protein was used as the immunogen for the PAX8 Antibody / Differential Diagnosis Panel Marker Antibody.

Storage

Store the recombinant PAX8 antibody at 2-8oC (with azide) or aliquot and store at -20oC or colder (without azide).

Alternate Names

PAX8 differential diagnosis antibody, Paired box protein Pax-8 panel marker antibody, PAX8 vs TTF1 marker antibody, Pax-8 diagnostic panel antibody, PAX8 lineage comparison antibody

Cross
Bulk Quote Request Form
Name*:
Organization*:
Email*:
Phone Number*:
Catalog No.*:
Comments and Specifics(amount, formulation, etc.)*:
Validation code: Captchapackage Image


Can't read the image? click here to refresh.
    *required field

Your bulk quote request has been submitted successfully!

Please contact us if you have any questions.