• Tel: 858.663.9055
  • SeparatorEmail: info@nsjbio.com
  • Tel: 858.663.9055
  • Email: info@nsjbio.com
Home >> Antibodies >> PAX8 Antibody / Mullerian Epithelial Marker Antibody

PAX8 Antibody / Mullerian Epithelial Marker Antibody [clone rPAX8/1492] (V8168)

  Catalog No Formulation Size Price (USD)  
Image V8168-100UG 0.2 mg/ml in 1X PBS with 0.1 mg/ml BSA (US sourced) and 0.05% sodium azide 100 ug 559
Image
V8168-20UG 0.2 mg/ml in 1X PBS with 0.1 mg/ml BSA (US sourced) and 0.05% sodium azide 20 ug 259
Image
V8168SAF-100UG 1 mg/ml in 1X PBS; BSA free, sodium azide free 100 ug 559
Microvalidated Recmousemono
Bulk quote request
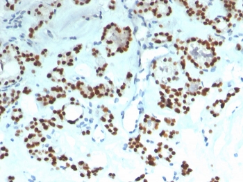
PAX8 Antibody / Mullerian Epithelial Marker Antibody immunohistochemistry in human thyroid tissue showing strong nuclear HRP-DAB brown staining in follicular epithelial cells. Paired box protein Pax-8 (PAX8) expression is localized to nuclei lining thyroid follicles, with clear staining of epithelial cells surrounding colloid-filled lumina and minimal signal in stromal components. While this antibody is positioned as a Mullerian epithelial marker, the observed nuclear positivity in thyroid tissue reflects the broader epithelial lineage expression profile of PAX8. The staining pattern demonstrates crisp nuclear localization with hematoxylin counterstain highlighting negative cells. HIER: boil tissue sections in pH 9 10mM Tris with 1mM EDTA for 20 min and allow to cool before testing.
SDS-PAGE analysis of purified, BSA-free PAX8 Antibody / Mullerian Epithelial Marker Antibody (clone rPAX8/1492) as confirmation of integrity and purity.
Availability 1-3 business days
Species Reactivity Human
Format Purified
Host Mouse
Clonality Recombinant Mouse Monoclonal
Isotype Mouse IgG1, kappa
Clone Name rPAX8/1492
Purity Protein G affinity chromatography
UniProt Q06710
Localization Nuclear
Applications Immunohistochemistry (FFPE) : 1-2ug/ml
Limitations This PAX8 antibody is available for research use only.
Review this product on BioCompare and get a $20 Amazon gift card

Related Products

Description

Paired box protein Pax-8 (PAX8) is a nuclear transcription factor encoded by the PAX8 gene that plays an important role in the development and maintenance of Mullerian-derived epithelial tissues. These tissues include fallopian tube, endometrium, and ovarian surface epithelium, where PAX8 regulates transcriptional programs essential for epithelial differentiation and tissue identity. PAX8 antibody is widely used as a marker of Mullerian lineage due to its consistent nuclear expression in these cell types.

PAX8 antibody, also known as Paired box protein Pax-8 antibody or Pax-8 transcription factor antibody, is strongly expressed in epithelial cells of the female reproductive tract. This PAX8 Antibody is uniquely positioned for studies focused on Mullerian epithelial biology, enabling identification of lineage-specific cells within both normal and neoplastic tissues. Nuclear localization reflects its role as a transcription factor controlling gene expression programs that define epithelial phenotype.

During development, PAX8 contributes to formation of Mullerian ducts and differentiation of reproductive tract epithelia. In adult tissues, it supports maintenance of epithelial structure, hormone responsiveness, and functional specialization. Its activity is essential for preserving the identity and integrity of these tissues over time.

Functionally, PAX8 regulates genes involved in epithelial organization and differentiation, contributing to cellular stability and tissue homeostasis. It interacts with other transcriptional regulators to coordinate gene expression networks that maintain reproductive tract physiology. Disruption of these pathways can contribute to disease, including tumorigenesis.

In cancer biology, PAX8 expression is commonly observed in ovarian epithelial tumors, including serous, endometrioid, and clear cell carcinomas, as well as in endometrial carcinomas. Nuclear staining is used to support classification of tumors of Mullerian origin and to distinguish them from non-gynecologic malignancies. Its presence provides strong evidence of lineage identity in histopathological analysis.

PAX8 Antibody therefore provides a targeted tool for studying Mullerian epithelial differentiation and tumor classification. Its lineage-restricted nuclear expression supports research into reproductive tissue development, epithelial biology, and gynecologic cancers, enabling accurate identification of Mullerian-derived cells within complex tissue environments.

Application Notes

Optimal dilution of the PAX8 Antibody / Mullerian Epithelial Marker Antibody should be determined by the researcher.

Immunogen

A recombinant human partial protein (amino acids 60-261) was used as the immunogen for this PAX8 Antibody / Mullerian Epithelial Marker Antibody.

Storage

Store the recombinant PAX8 antibody at 2-8oC (with azide) or aliquot and store at -20oC or colder (without azide).

Alternate Names

PAX8 Mullerian marker antibody, Paired box protein Pax-8 gynecologic epithelial antibody, PAX8 ovarian epithelial marker antibody, Pax-8 fallopian tube marker antibody, PAX8 endometrial lineage antibody

Cross
Bulk Quote Request Form
Name*:
Organization*:
Email*:
Phone Number*:
Catalog No.*:
Comments and Specifics(amount, formulation, etc.)*:
Validation code: Captchapackage Image


Can't read the image? click here to refresh.
    *required field

Your bulk quote request has been submitted successfully!

Please contact us if you have any questions.