• Tel: 858.663.9055
  • SeparatorEmail: info@nsjbio.com
  • Tel: 858.663.9055
  • Email: info@nsjbio.com
Home >> Antibodies >> PAX8 Antibody / Thyroid Differentiation Marker Antibody

PAX8 Antibody / Thyroid Differentiation Marker Antibody [clone PAX8/2774R] (V7465)

  Catalog No Formulation Size Price (USD)  
Image V7465-100UG 0.2 mg/ml in 1X PBS with 0.1 mg/ml BSA (US sourced) and 0.05% sodium azide 100 ug 559
Image
V7465-20UG 0.2 mg/ml in 1X PBS with 0.1 mg/ml BSA (US sourced) and 0.05% sodium azide 20 ug 259
Image
V7465SAF-100UG 1 mg/ml in 1X PBS; BSA free, sodium azide free 100 ug 559
Image
V7465IHC-7ML Prediluted in 1X PBS with 0.1 mg/ml BSA (US sourced) and 0.05% sodium azide; *For IHC use only* 7 ml 559
Microvalidated Recrabbitmono
Bulk quote request
PAX8 Antibody / Thyroid Differentiation Marker Antibody immunohistochemistry in human thyroid tissue showing strong nuclear HRP-DAB brown staining in follicular epithelial cells. Paired box protein Pax-8 (PAX8) expression is localized to nuclei of thyroid follicular cells lining colloid-filled follicles, with clear sparing of colloid material and surrounding stromal tissue. The staining pattern highlights dense follicular epithelial populations with expected nuclear positivity, while non-epithelial cells remain negative with hematoxylin-only nuclear counterstain. This distinct nuclear localization supports the role of PAX8 as a thyroid lineage transcription factor and reinforces its utility as a differentiation marker in thyroid tissue analysis. Heat-induced epitope retrieval was performed by boiling tissue sections in 10mM Tris buffer with 1mM EDTA, pH 9, for 10-20 minutes followed by cooling prior to antibody incubation.
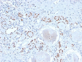
PAX8 Antibody / Thyroid Differentiation Marker Antibody immunohistochemistry in human kidney tissue showing nuclear HRP-DAB brown staining in renal tubular epithelial cells. Paired box protein Pax-8 (PAX8) expression is localized to nuclei of tubular epithelial cells, with clear staining of nephron structures and minimal signal in surrounding stromal components. The presence of nuclear positivity in kidney tissue reflects shared epithelial lineage expression of PAX8 and highlights the importance of tissue context when interpreting thyroid differentiation markers. Background cells remain largely negative with hematoxylin-only nuclear staining. Required HIER: boil tissue sections in 10mM Tris buffer with 1mM EDTA, pH 9, for 10-20 min and allow to cool before testing.
SDS-PAGE analysis of purified, BSA-free recombinant PAX8 antibody as confirmation of integrity and purity.
Availability 1-3 business days
Species Reactivity Human
Format Purified
Host Rabbit
Clonality Recombinant Rabbit Monoclonal
Isotype Rabbit IgG, kappa
Clone Name PAX8/2774R
Purity Protein A affinity chromatography
UniProt Q06710
Localization Nuclear, cytoplasmic
Applications Immunohistochemistry (FFPE) : 1-2ug/ml for 30 min at RT
Limitations This PAX8 antibody is available for research use only.
Review this product on BioCompare and get a $20 Amazon gift card

Related Products

Description

Paired box protein Pax-8 (PAX8) is a nuclear transcription factor encoded by the PAX8 gene that plays a central role in thyroid development, differentiation, and long-term maintenance of follicular epithelial identity. As a member of the paired box (PAX) family, PAX8 regulates gene expression programs essential for thyroid morphogenesis and hormone-producing cell function. PAX8 antibody is widely used to identify thyroid lineage cells due to its strong and consistent nuclear expression in follicular epithelial cells.

PAX8 antibody, also known as Paired box protein Pax-8 antibody or Pax-8 transcription factor antibody, is tightly linked to thyroid-specific transcriptional regulation. This PAX8 Antibody is uniquely positioned for studies focused on thyroid differentiation, where precise identification of follicular epithelial cells is critical. Nuclear localization reflects the active transcriptional role of PAX8 in maintaining gene expression programs required for thyroid function, including regulation of thyroglobulin and thyroid peroxidase, both essential for thyroid hormone biosynthesis.

During development, PAX8 is required for proper formation of the thyroid gland, and its expression persists in adult follicular cells where it helps maintain epithelial structure and function. It works in coordination with other transcription factors such as NKX2.1 and FOXE1 to regulate thyroid-specific gene networks. Disruption of PAX8 expression can lead to impaired differentiation and altered epithelial identity, which is observed in certain thyroid pathologies.

Functionally, PAX8 supports epithelial polarity, cell survival, and maintenance of differentiated thyroid tissue architecture. Its transcriptional activity ensures stability of the follicular epithelium, which is essential for efficient hormone production. In disease contexts, reduced or altered PAX8 expression has been associated with dedifferentiation in aggressive thyroid cancers, while most well-differentiated tumors retain strong nuclear expression.

In diagnostic and research settings, nuclear PAX8 staining serves as a reliable indicator of thyroid origin. It is strongly expressed in papillary and follicular thyroid carcinomas and is frequently used to distinguish primary thyroid tumors from metastatic lesions. The clear nuclear staining pattern enables confident interpretation in tissue sections, particularly when evaluating tumors of unknown origin.

This PAX8 Antibody therefore provides a focused tool for studying thyroid epithelial differentiation and lineage identity. Its consistent nuclear localization, strong association with thyroid-specific transcriptional programs, and relevance in both normal and neoplastic tissues make it highly valuable for investigations of thyroid biology, endocrine tissue development, and tumor classification.

Application Notes

The stated application concentrations are suggested starting points. Titration of the PAX8 Antibody / Thyroid Differentiation Marker Antibody may be required due to differences in protocols and secondary/substrate sensitivity.

1. The prediluted format is supplied in a dropper bottle and is optimized for use in IHC. After epitope retrieval step (if required), drip mAb solution onto the tissue section and incubate at RT for 30 min.

Immunogen

A human recombinant fragment (aa 60-261) was used as the immunogen for the recombinant PAX8 Antibody / Thyroid Differentiation Marker Antibody.

Storage

Store the recombinant PAX8 antibody at 2-8oC (with azide) or aliquot and store at -20oC or colder (without azide).

Alternate Names

PAX8 thyroid marker antibody, Paired box protein Pax-8 thyroid differentiation antibody, PAX8 follicular epithelial marker antibody, Pax-8 thyroid lineage antibody, PAX8 thyroid transcription factor antibody

Cross
Bulk Quote Request Form
Name*:
Organization*:
Email*:
Phone Number*:
Catalog No.*:
Comments and Specifics(amount, formulation, etc.)*:
Validation code: Captchapackage Image


Can't read the image? click here to refresh.
    *required field

Your bulk quote request has been submitted successfully!

Please contact us if you have any questions.