- Tel: 858.663.9055
- 
									 Email: info@nsjbio.com Email: info@nsjbio.com
- Tel: 858.663.9055
- Email: info@nsjbio.com
 Email: info@nsjbio.com
Email: info@nsjbio.com
								Related Products
| 
 | 
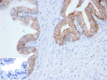
PCK/4933R demonstrates a broad spectrum of cytokeratin reactivity. In normal tissues, PCK/4933R is reactive with most epithelial types, including bile ducts and hepatocytes in liver, bladder epithelium, breast ducts, bronchial epithelium, endometrium, intestinal epithelium of stomach, duodenum, ileum, colon, rectum, pancreas, ovarian epithelium, pancreatic acini, pituitary acini, pneumocytes, prostate, thyroid, skin (positive on the basal layer and negative on the superficial layers of squamous epithelium), and apocrine and sweat glands. In tumors, PCK/4933R is reactive with most carcinomas, including breast, transitional cell (TCC), renal cell (RCC), lung adenocarcinoma, lung small cell, lung squamous cell, endometrial, prostate, ovarian, hepatocellular (HCC), colorectal CA, stomach and thyroid. It is negative in certain normal tissues, including brain, lymphocytes and all cells of hematolymphoid origin, muscle, brain, nerves, endothelium and in certain tumors including most melanomas, sarcomas, lymphomas, primitive neuroectodermal tumors (PNET)/Ewings and gastrointestinal stromal tumors (GIST). Positivity has been seen on some dendritic cells in lymph nodes, some endothelia, and some muscle cells.
Optimal dilution of the recombinant Pan Cytokeratin antibody should be determined by the researcher.
Crude cytokeratin extract prepared from RT-4 and MCF-7 cells was used as the immunogen for the recombinant Pan Cytokeratin antibody.
Aliquot the recombinant Pan Cytokeratin antibody and store frozen at -20oC or colder. Avoid repeated freeze-thaw cycles.
 
Your bulk quote request has been submitted successfully!
Please contact us if you have any questions.