• Tel: 858.663.9055
  • SeparatorEmail: info@nsjbio.com
  • Tel: 858.663.9055
  • Email: info@nsjbio.com
Home >> Antibodies >> p63 Antibody / Basal Cell Carcinoma Marker Antibody

p63 Antibody / Basal Cell Carcinoma Marker Antibody [clone RM383] (R20340)

  Catalog No Formulation Size Price (USD)  
Image R20340-0.1ML Antibody in PBS with 50% glycerol, 1% BSA and 0.09% sodium azide 100 ul 439
Microvalidated Recrabbitmono
Bulk quote request
p63 Antibody. Western blot analysis of human A431 cell lysate using a p63 antibody as a basal cell carcinoma marker demonstrates detection of Tumor protein 63 (TP63) as a band at the predicted molecular weight of approximately 63-77 kDa. The band corresponds to TP63 isoforms commonly expressed in basal epithelial-derived cells, consistent with the known biology of A431 cells as a squamous carcinoma line. The signal appears as a distinct band with low background, supporting specific detection of TP63 in denatured lysates. This result aligns with the role of TP63 as a basal cell-associated transcription factor and supports the use of this p63 antibody for western blot analysis of basal-like tumor cell populations.
p63 Antibody. Immunohistochemistry analysis of Tumor protein 63 (TP63) in FFPE human tonsil tissue using a p63 antibody as a basal cell carcinoma marker demonstrates strong HRP-DAB brown nuclear staining in basal and parabasal epithelial cells within the stratified squamous epithelium. The staining is confined to nuclei of epithelial cells lining the tonsillar surface, while underlying lymphoid tissue and stromal components remain largely negative. This pattern reflects the basal cell-associated expression of TP63 and highlights epithelial compartmentalization within tonsil tissue. The crisp nuclear localization and clear contrast between epithelial and non-epithelial regions support reliable interpretation of TP63-positive cell populations. Heat-induced epitope retrieval was performed by boiling tissue sections in pH 6 citrate buffer for 10-20 minutes followed by cooling prior to antibody incubation.
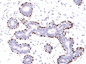
p63 Antibody. Immunohistochemistry analysis of Tumor protein 63 (TP63) in FFPE human breast tissue using a p63 antibody as a basal cell carcinoma marker demonstrates strong HRP-DAB brown nuclear staining in myoepithelial cells surrounding glandular and ductal structures. Luminal epithelial cells within ducts remain largely negative, producing a clear basal-restricted pattern that outlines ductal architecture. This nuclear staining pattern reflects the role of TP63 in basal and myoepithelial cell populations and supports its use in identifying basal lineage cells within breast tissue. The clear contrast between TP63-positive myoepithelial cells and negative luminal cells enables confident interpretation of epithelial organization. Heat-induced epitope retrieval was performed by boiling tissue sections in pH 6 citrate buffer for 10-20 minutes followed by cooling prior to antibody incubation.
IHC testing of FFPE human prostate tissue with recombinant p63 antibody. HIER: boil tissue sections in pH6, 10mM citrate buffer, for 10-20 min and allow to cool before testing.
Availability 1-3 business days
Species Reactivity Human
Format Purified
Host Rabbit
Clonality Recombinant Rabbit Monoclonal
Isotype Rabbit IgG
Clone Name RM383
Purity Protein A purified from animal origin-free supernatant
UniProt Q9H3D4
Gene ID 4288
Localization Nuclear
Applications Immunohistochemistry (FFPE) : 1:50-1:100
Western Blot : 1:500-1:1000
Limitations This recombinant p63 antibody is available for research use only.
Review this product on BioCompare and get a $20 Amazon gift card

Related Products

Description

Tumor protein 63 (TP63) is a nuclear transcription factor of the p53 family that is essential for epidermal development, basal keratinocyte maintenance, and stratified epithelial integrity. p63 Antibody is widely used as a basal cell carcinoma marker antibody for identifying skin-derived tumors and basal epithelial cell populations, where nuclear TP63 expression provides a direct and highly interpretable indicator of basal lineage identity.

p63 antibody, also known as TP63 antibody or Tumor protein 63 antibody in the literature, is strongly expressed in basal layers of the epidermis and other stratified epithelia. As a basal cell carcinoma marker antibody, p63 produces diffuse nuclear staining in tumor cells derived from basal keratinocytes, while surrounding stromal tissue and non-epithelial cells remain negative. This creates a sharp contrast that allows clear identification of tumor cell populations within skin tissue and cutaneous lesions.

The basal cell carcinoma differentiator is particularly strong in IHC-based skin pathology research, where p63 Antibody highlights sheets and nests of tumor cells with uniform nuclear positivity. This staining pattern reflects expansion of TP63-positive basal cells and aligns with the biological origin of basal cell carcinoma. In addition to basal cell carcinoma, strong nuclear staining may also be observed in squamous cell carcinoma, reinforcing the association between TP63 expression and epidermal lineage.

TP63 isoforms, particularly deltaNp63, are enriched in basal keratinocytes and contribute to proliferative capacity and maintenance of undifferentiated epithelial states. Persistent nuclear expression of p63 in skin tumors reflects activation of these pathways, supporting tumor growth and survival while preserving basal-like characteristics.

In tissue-based applications, p63 Antibody enables precise mapping of epidermal architecture, identification of basal cell compartments, and clear visualization of tumor boundaries in skin samples. The nuclear-restricted staining pattern integrates directly with histological morphology, allowing confident interpretation in complex or heterogeneous lesions.

Tumor protein 63 antibody (clone RM383) is a key marker for detecting basal cell carcinoma and other epidermal tumors, providing strong nuclear staining that supports studies of skin cancer biology, epithelial lineage, and TP63-driven tumor development.

Application Notes

The stated application concentrations are suggested starting points. Titration of the p63 Antibody / Basal Cell Carcinoma Marker Antibody may be required due to differences in protocols and secondary/substrate sensitivity.

Immunogen

A peptide corresponding to the C-terminal region of human p63 was used as the immunogen for this p63 Antibody / Basal Cell Carcinoma Marker Antibody.

Storage

Store the recombinant p63 antibody at -20oC.

Alternate Names

p63 basal cell carcinoma antibody, TP63 skin cancer marker antibody, Tumor protein 63 skin tumor antibody, p63 epidermal tumor marker antibody

Cross
Bulk Quote Request Form
Name*:
Organization*:
Email*:
Phone Number*:
Catalog No.*:
Comments and Specifics(amount, formulation, etc.)*:
Validation code: Captchapackage Image


Can't read the image? click here to refresh.
    *required field

Your bulk quote request has been submitted successfully!

Please contact us if you have any questions.