• Tel: 858.663.9055
  • SeparatorEmail: info@nsjbio.com
  • Tel: 858.663.9055
  • Email: info@nsjbio.com
Home >> Antibodies >> p40 Antibody Biotin Conjugate / deltaNp63 Mouse Monoclonal Biotin Antibody

p40 Antibody Biotin Conjugate / deltaNp63 Mouse Monoclonal Biotin Antibody [clone rTP40/3690] (V8627BTN)

  Catalog No Formulation Size Price (USD)  
Image V8627BTN 0.1 mg/ml with 0.1 mg/ml BSA (US sourced), 0.05% sodium azide 500 ul 559
Microvalidated Recmousemono
Bulk quote request
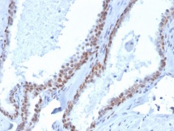
p40 Antibody Biotin Conjugate. Immunohistochemistry analysis of Tumor protein p40 (deltaNp63) in FFPE human prostate tissue using a p40 Antibody Biotin Conjugate (clone rTP40/3690) demonstrates strong HRP-DAB brown nuclear staining in basal epithelial cells lining glandular structures, while luminal secretory cells remain negative. The staining forms a continuous basal layer pattern outlining prostate glands, consistent with the known localization of deltaNp63 in basal cell compartments. The biotin-streptavidin detection system enhances signal intensity, resulting in crisp nuclear staining with clear contrast against surrounding stromal tissue. This pattern supports accurate identification of basal cell populations and epithelial organization within prostate tissue. Heat-induced epitope retrieval was performed by boiling tissue sections in pH 9 10mM Tris with 1mM EDTA for 20 minutes followed by cooling prior to antibody incubation.
Flow cytometry testing of PFA-fixed human HeLa cells with unlabeled recombinant p40 antibody (clone rTP40/3690); Red=isotype control, Blue= recombinant p40 antibody.
Availability 1-3 business days
Species Reactivity Human
Format Biotin Conjugate
Host Mouse
Clonality Recombinant Mouse Monoclonal
Isotype Mouse IgG1, kappa
Clone Name rTP40/3690
Purity Protein G affinity chromatography
UniProt Q9H3D4
Localization Nuclear
Applications Flow Cytometry : 2-4ug/million cells
Immunofluorescence : 2-4ug/ml
Immunohistochemistry (FFPE) : 2-4ug/ml for 30 minutes at RT
Limitations This p40 antibody is available for research use only.
Review this product on BioCompare and get a $20 Amazon gift card

Related Products

Description

Tumor protein p40, corresponding to the deltaNp63 isoform of TP63, is a nuclear transcription factor that plays a central role in squamous epithelial differentiation, basal cell maintenance, and lineage specification. p40 Antibody Biotin Conjugate is designed to combine isoform-specific detection with biotin-mediated signal amplification, enabling sensitive and highly interpretable detection of deltaNp63 in tissue-based and cell-based assays. The recombinant mouse monoclonal format of clone rTP40/3690 provides consistent epitope recognition and reproducible performance, making it well suited for studies requiring reliable nuclear staining across multiple experiments.

p40 antibody, also known as deltaNp63 antibody in the literature, is highly specific for the deltaNp63 isoform and does not detect TAp63 variants. This isoform specificity represents a key advantage over broader p63 antibodies, allowing precise identification of squamous epithelial and basal cell populations without cross-detection of alternative TP63 isoforms. As a biotin conjugated antibody, this reagent integrates directly into streptavidin-based detection systems, enabling amplified signal development while preserving nuclear localization and tissue morphology.

The mouse monoclonal differentiator is particularly valuable for experimental consistency and defined binding behavior. Clone rTP40/3690 provides uniform performance and predictable staining characteristics, which is critical when signal amplification is used. The combination of monoclonal specificity and recombinant production ensures that increased signal intensity from biotin-streptavidin interaction does not come at the expense of specificity or increased background.

The biotin conjugate differentiator is especially impactful in immunohistochemistry, where detection sensitivity directly affects interpretability. Biotin-streptavidin amplification enables multi-layer signal enhancement, resulting in stronger nuclear staining that improves visualization of deltaNp63-positive cells, even in samples with lower expression or suboptimal fixation. This is particularly advantageous for transcription factors, where nuclear signal must remain crisp and well-defined to support accurate interpretation.

In IHC applications, p40 Antibody Biotin Conjugate produces strong, clean nuclear staining in basal epithelial cells and squamous cell populations, with minimal staining in surrounding stromal or non-epithelial compartments. The amplified signal enhances contrast between positive and negative cells, allowing clear identification of epithelial structures and lineage-specific cell populations within complex tissue architecture.

The biotinylated format also supports flexible workflow integration, including compatibility with enzyme-based chromogenic detection or fluorescent streptavidin systems. This allows researchers to tailor detection strategies without relying on species-specific secondary antibodies, making the reagent suitable for multiplex staining and customized assay design.

p40 Antibody Biotin Conjugate using clone rTP40/3690 provides a combination of deltaNp63 isoform specificity, recombinant mouse monoclonal consistency, and controlled signal amplification. This makes it a reliable and versatile tool for detecting squamous epithelial cells, analyzing tumor differentiation, and studying epithelial lineage biology with enhanced sensitivity and nuclear clarity.

Application Notes

Optimal dilution of the p40 Antibody Biotin Conjugate / deltaNp63 Mouse Monoclonal Biotin Antibody should be determined by the researcher.

Immunogen

A synthetic peptide from the N-terminal of human p40 protein was used as the immunogen for the p40 Antibody Biotin Conjugate / deltaNp63 Mouse Monoclonal Biotin Antibody.

Storage

Store the recombinant p40 antibody at 2-8oC (up to one month) or aliquot and store at -20oC (longer term).

Alternate Names

p40 mouse monoclonal biotin antibody, deltaNp63 mouse biotinylated antibody, TP40 mouse monoclonal antibody, p40 streptavidin detection antibody

Cross
Bulk Quote Request Form
Name*:
Organization*:
Email*:
Phone Number*:
Catalog No.*:
Comments and Specifics(amount, formulation, etc.)*:
Validation code: Captchapackage Image


Can't read the image? click here to refresh.
    *required field

Your bulk quote request has been submitted successfully!

Please contact us if you have any questions.