• Tel: 858.663.9055
  • SeparatorEmail: info@nsjbio.com
  • Tel: 858.663.9055
  • Email: info@nsjbio.com
Home >> Antibodies >> p27 Antibody / Human Tissue WB Antibody

p27 Antibody / Human Tissue WB Antibody [clone KIP1/9168R] (V5554)

  Catalog No Formulation Size Price (USD)  
Image V5554-100UG 0.2 mg/ml in 1X PBS with 0.1 mg/ml BSA (US sourced), 0.05% sodium azide 100 ug 559
Image
V5554-20UG 0.2 mg/ml in 1X PBS with 0.1 mg/ml BSA (US sourced), 0.05% sodium azide 20 ug 259
Image
V5554SAF-100UG 1 mg/ml in 1X PBS; BSA free, sodium azide free 100 ug 559
Microvalidated Recrabbitmono
Bulk quote request
p27 Antibody Human Brain WB. Western blot analysis of p27 / CDKN1B expression across brain lysates from multiple species using p27 antibody clone KIP1/9168R. Lane 1: human brain lysate, Lane 2: mouse brain lysate, Lane 3: rat brain lysate, Lane 4: hamster brain lysate, Lane 5: guinea pig brain lysate, Lane 6: rabbit brain lysate. A band is detected at approximately 27-29 kDa in human brain lysate, consistent with the predicted molecular weight of p27 (CDKN1B), a cyclin-dependent kinase inhibitor that regulates cell cycle progression. Minimal or no detectable signal is observed in the non-human brain lysates under these conditions, supporting a human tissue-focused detection profile for this clone.
p27 Antibody Human Tissue WB. Western blot analysis of p27 / CDKN1B expression in human tissue lysates using p27 antibody clone KIP1/9168R. Lane 1: human brain lysate, Lane 2: human skeletal muscle lysate. A band is detected at approximately 27-29 kDa in both samples, consistent with the predicted molecular weight of p27 (CDKN1B), a key regulator of cell cycle arrest. Detection across distinct human tissue types supports the use of this clone for western blot analysis in human samples.
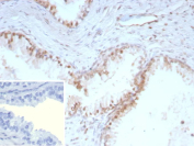
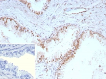
p27 Antibody Human Prostate Tissue IHC. Immunohistochemistry staining of FFPE human prostate tissue. Strong nuclear staining observed using recombinant p27 antibody at 2ug/ml. HIER: boil tissue sections in pH 9 10mM Tris with 1mM EDTA for 20 min and allow to cool before testing.
SDS-PAGE analysis of purified, BSA-free recombinant p27 antibody (clone KIP1/9168R) as confirmation of integrity and purity.
Availability 1-3 business days
Species Reactivity Human
Format Purified
Host Rabbit
Clonality Recombinant Rabbit Monoclonal
Isotype Rabbit IgG, kappa
Clone Name KIP1/9168R
Purity Protein A/G affinity
UniProt P46527
Localization Nucleus
Applications Immunohistochemistry (FFPE) : 1-2ug/ml
Western Blot : 2-4ug/ml
Limitations This p27 Antibody / Human Tissue WB Antibody is available for research use only.
Review this product on BioCompare and get a $20 Amazon gift card

Related Products

Description

Cyclin-dependent kinase inhibitor 1B (CDKN1B), commonly known as p27 or p27Kip1, is a central regulator of cell cycle progression that functions as a potent inhibitor of cyclin-dependent kinase activity. p27 controls the transition from G1 to S phase by binding to and inhibiting cyclin E-CDK2 and cyclin D-CDK4/6 complexes, thereby preventing phosphorylation of the retinoblastoma protein and blocking entry into DNA synthesis. p27 is predominantly localized in the nucleus of quiescent and differentiated cells, where it enforces cell cycle arrest, although cytoplasmic localization can occur depending on phosphorylation status and signaling context. The p27 Antibody / Human Tissue WB Antibody is designed to detect this key regulatory protein with strong and reliable performance in human tissue lysates, supporting western blot analysis in human-focused studies.

p27 antibody, also referred to as CDKN1B antibody and p27Kip1 antibody in the literature, recognizes a widely expressed protein that is tightly regulated through transcriptional control and post-translational mechanisms. Western blot analysis demonstrates a clear and reproducible band at approximately 27–29 kDa in human brain and human skeletal muscle lysates, consistent with the predicted molecular weight of p27. In contrast, minimal or no detectable signal is observed in brain lysates from mouse, rat, hamster, guinea pig, and rabbit under the tested conditions, supporting a human tissue-focused detection profile for this clone and distinguishing it from broadly cross-reactive antibodies.

Structurally, p27 contains an N-terminal domain responsible for binding and inhibiting cyclin-CDK complexes, along with a C-terminal region that regulates protein stability, localization, and degradation. Its activity is tightly controlled through phosphorylation, ubiquitination, and proteasomal turnover, allowing rapid modulation of protein levels in response to mitogenic signaling. These regulatory mechanisms enable p27 to act as a dynamic checkpoint protein that integrates extracellular growth cues with intracellular control of cell division.

Functionally, p27 acts as a tumor suppressor by restraining cell proliferation and maintaining proper cell cycle checkpoints. Reduced expression, increased degradation, or cytoplasmic mislocalization of p27 has been associated with enhanced proliferative capacity and poor clinical outcomes in multiple cancer types. Its central role in regulating cell cycle arrest has made it a widely studied marker in oncology, cell signaling, and differentiation research.

The consistent detection of p27 at the expected molecular weight across multiple human tissue types highlights its conserved biological role and supports the reliability of this antibody for western blot analysis in human samples. The combination of strong signal in human tissues and reduced detection in non-human samples under the tested conditions provides a clear experimental basis for human tissue-focused applications, particularly in studies where species specificity is important.

Immunohistochemical analysis of human prostate tissue further complements these findings, with nuclear staining observed in epithelial cells consistent with the role of p27 in regulating proliferation and differentiation. This combined biochemical and tissue-level validation strengthens confidence in the specificity and applicability of this antibody. Clone KIP1/9168R is a recombinant rabbit monoclonal antibody designed to detect p27 with high specificity, providing a robust tool for investigating cell cycle regulation, tumor biology, and human tissue expression patterns.

This antibody is part of a broader antibody panel offered by NSJ Bioreagents.

Application Notes

Optimal dilution of the p27 Antibody / Human Tissue WB Antibody should be determined by the researcher.

Immunogen

Recombinant full-length human CDKN1B/p27Kip1 protein was used as the immunogen for the recombinant p27 antibody.

Storage

Aliquot the p27 antibody and store frozen at -20oC or colder. Avoid repeated freeze-thaw cycles.

Alternate Names

p27 antibody, CDKN1B antibody, p27Kip1 antibody, Kip1 antibody, p27 WB antibody

Cross
Bulk Quote Request Form
Name*:
Organization*:
Email*:
Phone Number*:
Catalog No.*:
Comments and Specifics(amount, formulation, etc.)*:
Validation code: Captchapackage Image


Can't read the image? click here to refresh.
    *required field

Your bulk quote request has been submitted successfully!

Please contact us if you have any questions.