• Tel: 858.663.9055
  • SeparatorEmail: info@nsjbio.com
  • Tel: 858.663.9055
  • Email: info@nsjbio.com
Home >> Antibodies >> Recombinant OX40 Antibody / CD134 / C-Terminal

Recombinant OX40 Antibody / CD134 / C-Terminal [clone RM313] (R20332)

  Catalog No Formulation Size Price (USD)  
Image R20332-0.1ML Antibody in PBS with 50% glycerol, 1% BSA and 0.09% sodium azide 100 ul 439
Microvalidated Recrabbitmono
Bulk quote request
Western blot testing of human spleen lysate with recombinant OX40 antibody at 1:1000 dilution. Expected molecular weight: 29-50 kDa depending on glcyosylation level.
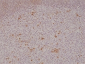
IHC testing of formalin fixed and paraffin embedded human tonsil tissue with recombinant OX40 antibody at 1:500 dilution. HIER: steam section in pH6 citrate buffer for 20 min and allow to cool prior to staining.
Availability 1-3 business days
Species Reactivity Human
Format Purified
Host Rabbit
Clonality Recombinant Rabbit Monoclonal
Isotype Rabbit IgG
Clone Name RM313
Purity Protein A purified from animal origin-free supernatant
UniProt P43489
Localization Cytoplasmic, membranous
Applications Immunohistochemistry (FFPE) : 1:200-1:500
Western Blot : 1:1000-1:2000
Limitations This recombinant OX40 antibody is available for research use only.
Review this product on BioCompare and get a $20 Amazon gift card

Related Products

Description

Tumor necrosis factor receptor superfamily member 4 (TNFRSF4), also called OX40 and CD134 is the receptor for TNFSF4/OX40L/GP34. Is a costimulatory molecule implicated in long-term T-cell immunity. Acts as a receptor for human herpesvirus 6B/HHV-6B. [UniProt]

Application Notes

The stated application concentrations are suggested starting points. Titration of the recombinant OX40 antibody may be required due to differences in protocols and secondary/substrate sensitivity.

Immunogen

A peptide corresponding to the C-terminus of human OX40/CD134 was used as the immunogen for the recombinant OX40 antibody.

Storage

Store the recombinant OX40 antibody at -20oC.

Cross
Bulk Quote Request Form
Name*:
Organization*:
Email*:
Phone Number*:
Catalog No.*:
Comments and Specifics(amount, formulation, etc.)*:
Validation code: Captchapackage Image


Can't read the image? click here to refresh.
    *required field

Your bulk quote request has been submitted successfully!

Please contact us if you have any questions.